Tuberculosis diagnosis is a critical step in managing the infection and curbing its transmission, as its symptoms often resemble those of other respiratory illnesses like pneumonia, making a precise diagnosis essential to detect infected individuals and initiate timely, appropriate treatment. Early identification reduces the risk of complications and enhances the likelihood of complete recovery.
Recent years have witnessed a remarkable development in the means of tuberculosis diagnosis, moving from traditional tests to modern, more accurate and faster techniques based on molecular analysis. This development has helped doctors to identify the infection more accurately and follow up cases in a systematic way that ensures the best treatment results.
What is tuberculosis?
Tuberculosis (TB) is a chronic infectious disease caused by a bacterium known as Mycobacterium tuberculosis, usually spread by droplets from an infected person when they cough or sneeze. TB mostly affects the lungs, but it can spread to other organs such as lymph nodes, bones, or meninges, and its severity varies from a latent, non-infectious infection to an active disease with clear symptoms. Early detection and full treatment of TB is one of the most important steps to limit its spread and protect public health.
Tuberculosis Diagnosis Goals
Tuberculosis diagnosis aims to confirm the presence of the bacterial infection and determine its status, whether active or latent, to help doctors choose the appropriate treatment for each patient. It also aims to assess the extent to which the disease has spread within the lungs or to other parts of the body, especially in cases of extrapulmonary tuberculosis. The diagnosis also helps determine whether the bacteria are resistant to certain medications, guiding the doctor to use an effective treatment regimen from the outset, so an accurate diagnosis is an essential step in ensuring the patient’s recovery and preventing transmission to others.
The steps of tuberculosis diagnosis
Tuberculosis diagnosis begins with a clinical evaluation of the patient and then conducting appropriate tests to confirm or exclude the presence of infection. The doctor initially relies on symptoms and clinical signs to guide the suspicion, and then uses laboratory and imaging tests to determine the type, severity, and location of the disease. Thanks to medical advances, it is possible to detect the infection quickly and accurately through modern techniques that distinguish between active and latent TB, which contributes to controlling the spread of the disease and developing an effective treatment plan.
Clinical examination and history
A clinical examination is the first step in diagnosing tuberculosis. The doctor listens to the patient’s breathing with a stethoscope, checks the lymph nodes for swellings, and asks about symptoms and factors that may indicate infection, such as chronic cough, weight loss, night sweats, or contact with infected people. This step helps determine whether the symptoms suggest a pulmonary or extrapulmonary infection and guides the doctor to choose the appropriate tests later on.
Basic laboratory tests to diagnose tuberculosis
After gathering clinical information and assessing symptoms, the doctor moves on to laboratory tests, which are the basis for diagnosing TB, as they help to accurately detect the infection and determine whether it is latent or active, guiding the appropriate treatment plan.
Tuberculin skin test (tuberculin test)
This test is used to check the immune system’s response to the presence of TB bacteria. A small amount of a substance called tuberculin is injected under the skin, and the injection site is examined 48 to 72 hours later to measure the size of the swelling. A positive reaction indicates the possibility of latent or active TB, while the absence of a reaction is negative but does not definitively rule out infection. This test is easy and inexpensive, but it may give inaccurate results in people who have received the BCG vaccine or are immunocompromised.
Blood test for tuberculosis
A blood sample is sent to the laboratory to measure the response of immune cells to TB proteins. This test is characterized by its high accuracy and is not affected by the BCG vaccine. It is used to detect infection, whether latent or active, but its accuracy is higher in detecting latent TB compared to active TB. A positive result indicates the presence of tuberculosis, while a negative result is considered a likely indication of the absence of infection.
Microbiological tests to diagnose tuberculosis
After the initial clinical and laboratory tests, microbiological tests confirm the diagnosis of tuberculosis with high accuracy, as they are the crucial step in proving the presence of the bacteria that cause the disease. These tests allow the doctor to directly detect TB bacilli under a microscope or through laboratory culture, and enable him to determine the sensitivity of the bacterium to antimicrobial drugs, which is essential for choosing effective treatment and avoiding drug resistance in the later stages.
Direct Sputum Examination
Used to detect active pulmonary tuberculosis, sputum is examined under a microscope to look for acid-resistant bacilli; often, three consecutive samples are taken to increase the accuracy of results. A positive test helps to quickly confirm the diagnosis, while additional tests are recommended when infection is suspected, with negative results.

Bacterial transplantation
It is considered the most accurate test for confirming tuberculosis, as the sputum or sample is cultured in a special medium to monitor the growth of the bacteria over a period of two to eight weeks. This test is also used to determine the sensitivity of the bacterium to drugs, which helps in choosing the most appropriate treatment, and is an essential reference in specialized centers.
GeneXpert/PCR testing
It is one of the latest technologies for tuberculosis diagnosis, as it is based on the molecular detection of bacterial DNA through the polymerase chain reaction (PCR). It is characterized by rapid results within hours and its accuracy in determining bacterial resistance to rifampicin. The World Health Organization (WHO) recommends its use as an initial test in suspected or drug-resistant cases.
Radiologic and imaging tests to diagnose tuberculosis
Radiological examinations play a pivotal role in tuberculosis diagnosis, as they help assess the extent to which the lungs or other organs are affected and determine the stage of infection, and although the laboratory test is the final confirmation of the diagnosis, imaging is an important tool to guide the doctor and follow the progression of the condition. The most important tests include
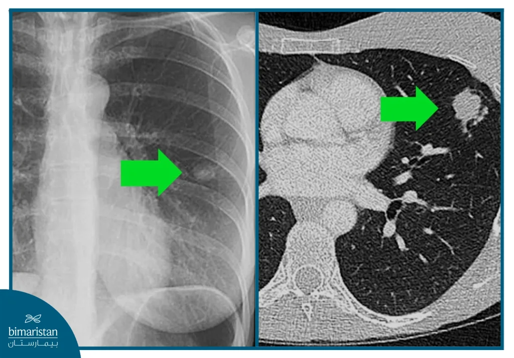
- Chest X-ray: Used as an initial test to evaluate the lungs, it may show cavities, fibrosis, or calcifications characteristic of tuberculosis infection, but it is not enough alone to confirm the diagnosis.
- CT scan: Shows more detail than an X-ray and helps detect small lesions or deep cavities, and is useful in assessing the extent of infection within the chest.
- Magnetic Resonance Imaging (MRI): It is especially used when an injury to the brain, spine, or joints is suspected, and is best for diagnosing meningeal or osteoarticular tuberculosis.
- Ultrasound: Useful for detecting extrapulmonary TB, such as the liver or abdominal lymph nodes, and used to guide a biopsy when a sample of infected tissue needs to be taken.

Diagnosis of extrapulmonary tuberculosis
If an extra-respiratory infection is suspected, the diagnosis depends on special tests such as biopsy of the affected tissue or analysis of body fluids (such as the spinal cord in cases of meningococcal tuberculosis). These tests help to confirm the infection and determine the exact location of the infection.
When are diagnostic tests for tuberculosis recommended?
Tuberculosis tests are recommended in cases where there is an increased risk of infection or transmission, most notably:
- Coughing for more than three weeks
- Weight loss or night sweats
- Contact with a person with active tuberculosis
- Immune dysfunction or use of immunosuppressant medications
These signs are warning signs to see a doctor for proper testing. Preventive screening is also recommended for high-risk individuals such as diabetics, immunocompromised patients, the elderly, and health workers, as early detection helps detect latent infections before they turn into active tuberculosis, which contributes to controlling the disease and preventing its transmission to others.
Confirming tuberculosis diagnosis and assessing the severity of the disease
The diagnosis is confirmed by combining the results of clinical, laboratory, and imaging tests to determine the type of infection (active or latent) and its severity. Drug susceptibility tests are also performed when bacterial resistance is suspected, to ensure proper treatment is initiated without delay.
Tuberculosis diagnosis in Turkey
Turkey has witnessed a major development in tuberculosis diagnosis and control programs, with the Ministry of Health adopting a unified electronic system to follow up on cases and accurately document test results. Most government and university hospitals have GeneXpert and PCR machines that can diagnose the disease within a few hours and determine the bacteria’s resistance to essential drugs.
Tuberculosis tests are provided free of charge as part of the National Tuberculosis Control Program, which also includes tracking patients and ensuring adherence to treatment. Specialized laboratories conduct culture and drug sensitivity tests in accordance with international standards, ensuring accurate diagnosis and rapid initiation of appropriate treatment.
At Bimarestan Medical Center, we help patients coming from abroad to access accredited hospitals and laboratories for accurate tests in the shortest possible time, under the supervision of doctors specialized in chest diseases and infections, to ensure a reliable diagnosis and an effective treatment plan.
In conclusion, tuberculosis diagnosis plays a crucial role in controlling the disease and reducing its transmission, as early identification enables prompt treatment and lowers the risk of complications. Thanks to advancements in modern technology, the diagnostic process is now more precise and efficient than ever. A comprehensive approach combining clinical evaluation, laboratory analysis, and imaging techniques offers a clear understanding of the patient’s condition, allowing healthcare providers to identify the infection type and tailor an effective treatment plan that supports full recovery and limits community spread.
Sources:
- Centers for Disease Control and Prevention. (n.d.). Clinical and laboratory diagnosis for tuberculosis.
- National Health Service. (n.d.). Tuberculosis (TB).
