انثقاب المريء هو وجود ثقب أو تمزق في المريء، وهو الأنبوب الذي يمر من الفم إلى المعدة. عندما يحدث هذا الثقب يمكن أن يتسرّب محتوى المريء إلى محيطه في الصدر أي المنصف، مما يؤدي غالباً إلى التهاب خطير يُسمى التهاب المنصف (Mediastinitis).
تنشأ معظم حالاث انثقاب المريء نتيجة لإصابات طبية أثناء الإجراءات، وخاصةً أثناء التنظير، ورغم أنّ استخدام أدوات مرنة خفّض من هذا الخطر، إلا أنه لا يزال السبب الأكثر شيوعاً. وتشمل الأسباب الأخرى: ارتفاع الضغط داخل المريء نتيجة التقيّؤ العنيف (متلازمة بورهاف)، ابتلاع أجسام غريبة أو مواد كاوية، الأورام، والرضوض.
ما هو المريء؟
المريء هو أنبوب عضلي مجوف يصل بين البلعوم والمعدة، ويبلغ طوله نحو 25 سنتيمترًا عند البالغين. يتمثل دوره الرئيسي في نقل الطعام والشراب بشكل منسق من الفم إلى المعدة بفضل حركة عضلية تُعرف بالتمعج (Peristalsis)، والتي تدفع المحتويات إلى الأسفل. يمر المريء عبر الرقبة والصدر وصولاً إلى البطن، ويحيط به عدد من الأعضاء الحيوية مثل القصبة الهوائية والرئتين والقلب، مما يجعل أي إصابة فيه بالغة الخطورة.
يتكون جدار المريء من عدة طبقات: طبقة مخاطية داخلية، طبقة تحت مخاطية، طبقة عضلية مسؤولة عن الانقباضات، ثم طبقة خارجية رقيقة. وعلى الرغم من أن المريء لا يقوم بعملية هضم الطعام كالمعدة والأمعاء، إلا أن سلامته ضرورية لضمان مرور الطعام بشكل طبيعي دون تسرب أو ارتجاع. إن أي خلل في بنيته أو حدوث ثقب فيه قد يؤدي إلى مضاعفات خطيرة، نظراً لقربه من الأوعية الدموية الرئيسية وأعضاء التنفس.
ما هو انثقاب المريء؟
انثقاب المريء هو حدوث تمزق أو ثقب في جدار المريء وهو الأنبوب الذي ينقل الطعام والسوائل من الفم إلى المعدة. يؤدي هذا الثقب إلى تسرب محتويات المريء متضمنة في ذلك الطعام واللعاب والعصارات المعدية إلى المنطقة المحيطة بالصدر (المنصف)، مما يسبب تلوثاً شديداً والتهاباً في الأنسجة المحيطة يعرف بالتهاب المنصف. تُعد هذه الحالة نادرة ولكنها خطيرة جداً، لأنها غالباً ما تؤدي إلى عدوى مهددة للحياة إذا لم يتم التدخل بسرعة. يُصنّف انثقاب المريء من بين الطوارئ الطبية الجراحية التي تتطلب تشخيصاً دقيقاً وعلاجاً فورياً.
تعد غالبية حالات انثقاب المريء نتيجة إصابات طبية المنشأ أثناء الإجراءات التشخيصية أو العلاجية، خاصةً أثناء التنظير الداخلي باستخدام أدوات صلبة وفي بعض الأحيان حتى مع الأدوات المرنة. كما أنّه هناك أسباب أخرى أقل شيوعاً مثل الانثقاب التلقائي المرتبط بزيادة الضغط المفاجئ داخل المريء أثناء التقيؤ الشديد (متلازمة بورهاف)، ابتلاع الأجسام الغريبة أو المواد الكاوية، وجود أورام في المريء، إصابات مباشرة أو رضوض في منطقة الصدر، والتقرحات الناتجة عن الارتجاع المعدي المريئي. وبسبب خطورة هذه الحالة، فإن أي تأخير في التشخيص أو العلاج يزيد من احتمالية المضاعفات، مثل العدوى المنتشرة أو تكوّن الخراجات أو الفشل التنفسي والدوراني.
أسباب انثقاب المريء
إنّ انثقاب المريء يحدث نتيجة عدة عوامل، أغلبها مرتبط بالإجراءات الطبية، ولكن توجد أسباب أخرى يمكن أن تؤدي إلى تمزق جدار المريء في ظروف محددة. وفيما يلي أهم الأسباب التي تسبب حالة انثقاب المريء:
- الإصابات الطبية (iatrogenic perforation): السبب الأكثر شيوعاً لانثقاب المريء، وينتج عن إجراءات تشخيصية أو علاجية مثل التنظير الداخلي، التوسيع بالبالون، أو الجراحة القريبة من المريء.
- الانثقاب التلقائي (متلازمة بورهاف – boerhaave syndrome): والذي يحدث عند ارتفاع الضغط المفاجئ داخل المريء بسبب التقيؤ الشديد أو المجهود الزائد، وهو من أكثر أشكال الانثقاب خطورة.
- ابتلاع الأجسام الغريبة أو المواد الكاوية: مثل العظام الحادة، البطاريات القرصية، أو المواد الكيميائية المسببة للتآكل (كالمنظفات)، والتي قد تسبب تمزقاً أو ضعفاً في جدار المريء.
- الإصابات الخارجية أو الرضوض المباشرة: مثل الطعنات وحوادث المرور والإصابات النافذة للصدر والرقبة.
- الأمراض المريئية المزمنة: كالأورام، التقرحات المرتبطة بالارتجاع المعدي المريئي (GERD)، التهاب المريء المعدي أو الإيوزينوفيلي والتي قد تضعف الجدار وتزيد من احتمالية الانثقاب.
- أسباب أخرى نادرة: مثل انثقاب المريء الناتج عن التوسيع البالوني للضيقات، أو كمضاعفة لالتهاب المريء الناتج عن الأدوية.
أعراض انثقاب المريء
تختلف الأعراض حسب مكان الانثقاب في المريء، لكنها تشترك جميعها في كونها علامات حادة تتطور بشكل سريع وتُعد إنذاراً لحالة طبية طارئة. فيما يلي أبرز الأعراض المرتبطة بحالة الانثقاب:
- ألم مفاجئ وشديد: يظهر عادة في الصدر أو الجزء العلوي من البطن، وقد ينتشر نحو الكتف أو الظهر.
- صعوبة وألم أثناء البلع (Dysphagia & Odynophagia): من العلامات المبكرة التي ترافق تمزق المريء وتزيد تدريجياً.
- ضيق التنفس وأعراض تنفسية: مثل التنفّس السريع أو ضيق الصدر وقد تُسمع علامة هامان (Hamman’s sign) المتمثلة بصوت فرقعة متزامن مع ضربات القلب عند وجود هواء في المنصف.
- أعراض جهازية معمّمة: تتضمن هذه الأعراض الحمى وتسارع ضربات القلب وانخفاض ضغط الدم والرعشة نتيجة تسرب محتويات المريء وحدوث التهاب أو إنتان مبكر.
- علامات موضعية حسب مكان الانثقاب:
- في الرقبة: ألم، تيبس، بحة في الصوت، وهواء تحت الجلد (subcutaneous emphysema).
- في الصدر: ألم خلف القص، انصباب جنبي، خشونة أو فرقعة تحت الجلد.
- في البطن: ألم شرسوفي، غثيان وقيء، أو علامات التهاب بريتواني.
تشخيص انثقاب المريء
تأكيد وجود انثقاب المريء يعتمد بشكل رئيسي على الفحوص التصويرية التي تُظهِر علامات غير مباشرة للتسرب أو الهواء خارج المريء، بينما تساعد الصور المعززة على تحديد مكان التمزق بدقة وعناصره التخطيطية. فيما يلي أهم طرق التشخيص المعتمدة:
الفحص السريري الأولي
تهتم التقييمات السريرية بالبحث عن علامات تنفسية ودورانية مثل ضيق النفس، الحمى، تسارع نبضات القلب، انخفاض ضغط الدم، بالإضافة إلى وجود ألم أو تيبس في الرقبة أو صدر، وربما فقاعات هواء تحت الجلد (subcutaneous emphysema) عند التمزق العنقي.
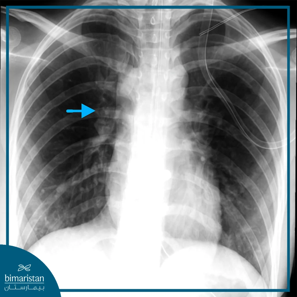
الأشعة السينية العادية (Chest X-ray)
تُعتبر الخطوة التصويرية الأولى وقد تُظهر وجود هواء في المنصف، انصباب جنبي، توسّع ظل المنصف، أو هواء تحت الجلد، أو هواء حر تحت الحجاب الحاجز في حالات الانثقاب البطني.

التصوير المائل بالصبغة (Contrast Esophagography)
يُعتبر الفحص المفضل لتأكيد التشخيص، حيث يُظهر تسرب المادة الظليلة خارج المريء، وهو أساسي لتحديد موقع التمزق ومداه. يُفضل استخدام صبغة مائية لتفادي التهاب المنصف، ويمكن اللجوء لاحقاً إلى الباريوم لتحسين الحساسية إذا كانت النتيجة سلبية رغم وجود اشتباه واضح.
التصوير الطبقي المحوسب (CT scan)
يُستخدم لتقييم الحالة حين يكون التشخيص غير واضح أو يُشتبه بوجود مضاعفات، إذ يكشف لنا تجمعات سوائل أو هواء حول المريء، انصباب جنبي، أو خرّاجات، كما يسهل تحديد موقع الانثقاب بدقة.
التنظير الداخلي (Endoscopy)
إذا لم تستطع الفحوص الشعاعية تحديد السبب والعرض السريري قوي، يمكننا اللجوء للتنظير للمساعدة في التشخيص، لكن استخدامه يجب أن يكون بحذر شديد، لأن الهواء الذي يُستخدم خلال الفحص قد يزيد الانثقاب سوءاً.

طرق علاج انثقاب المريء
يعتمد اختيار طريقة علاج الانثقاب اعتماداً على حجم هذا الانثقاب وموقعه ووقت التشخيص والحالة السريرية للمريض. يتم تفضيل التدخل الجراحي التقليدي في حال وجود انثقاب واسع أو تأخر التشخيص مع علامات التهاب أو تسمم دموي. أمّا بالنسبة العلاج بالتنظير فيتم تطبيقه غالباً عند التمزقات الصغيرة زالمتوسطة التي يمكن احتواؤها بالدعامات أو المشابك. بينما يُعتبر العلاج التحفظي خياراً في الحالات المستقرة ذات الانثقاب المحدود، بشرط عدم وجود تلوث واسع أو صدمة جهازية.
العلاج الجراحي التقليدي
أهم الخطوات الرئيسية في العلاجي الجراحي:
- التحضير والتقييم قبل الجراحة: يبدأ بتثبيت الدورة الدموية وإعطاء مضادات حيوية واسعة الطيف، مع وضع أنبوب أنفي معدي لتفريغ المعدة
- الوصول الجراحي المناسب: يتم تحديده بناءً على موقع الانثقاب (عنق أو صدر أو بطن).
- تحديد مكان الانثقاب: عبر فتح المنصف أو تجويف الصدر بدقة لتقييم مدى الضرر.
- الإصلاح الأولي: خياطة التمزق بخيوط منفصلة وتغطية الخياطة بنسيج داعم مثل غشاء الجنب أو عضلة بين ضلعية.
- الغسل والتصريف: غسل شامل للمنصف أو الصدر مع وضع أنابيب تصريف متعددة.
- الاستئصال: يُجرى إذا تعذر الإصلاح أو في حال وجود ورم أو تليف شديد.
- إعادة البناء: سحب المعدة أو القولون كبديل للمريء عند الحاجة.
- الرعاية بعد الجراحة: مراقبة دقيقة في العناية المركزة مع دعم غذائي ومتابعة بالتصوير.

العلاج بالتنظير
- التقييم الأولي بالمنظار: تحديد موقع وحجم الانثقاب بدقة.
- الإغلاق بالمشابك (Clips): فعال من أجل التمزقات الصغيرة والمتوسطة.
- وضع الدعامة (Stent): تستخدم للانثقابات الأكبر لتغطية مكان التمزق والسماح بالشفاء.
- العلاج بالتفريغ الداخلي (EVT): إدخال إسفنجة متصلة بجهاز تفريغ لإزالة السوائل وتعزيز الالتئام.
- إزالة الأجهزة والمتابعة: بعد فترة الشفاء تتم إزالة الدعامة أو الإسفنجة مع إعادة تقييم جدار المريء.
العلاج التحفظي (غير الجراحي)
في الحالات التي يكون فيها الانثقاب صغيراً ومحدداً، والمريض بحالة مستقرة دون وجود علامات عدوى جهازية أو التهاب واسع، نلجأ إلى العلاج التحفظي، والذي يشمل الامتناع الكامل عن الطعام والشراب عبر الفم (NPO)، والاعتماد على التغذية الوريدية الكاملة. يتم إعطاء المريض مضادات حيوية وريدية واسعة الطيف ويُستخدم أنبوب أنفي معدي لتفريغ المعدة وتقليل الضغط داخل المريء. في حال وجود تجمعات يمكن إدخال أنابيب تصريف. تتم متابعة المريض بالتصوير الدوري والمراقبة الدقيقة في المستشفى، مع استعداد للتدخل الجراحي إذا ظهرت دلائل على فشل العلاج أو ازدياد الحالة سوءاً.
مضاعفات جراحة انثقاب المريء
على رغم من أنّ الجراحة تعد الحل المنقذ في معظم حالات انثقاب المريء، إلا أنّ هذا التدخل يحمل احتمالية حدوث مضاعفات قد تؤثر على مسار الشفاء. تختلف هذه المضاعفات باختلاف توقيت التشخيص، خبرة الفريق الجراحي، والحالة العامة للمريض.
- التسرب بعد الإصلاح: فشل خياطة مكان الانثقاب أو ضعف التحام الأنسجة قد يؤدي إلى تسرب متكرر لمحتويات المريء داخل الصدر أو المنصف.
- العدوى والتهاب المنصف: من أخطر المضاعفات حيث قد يتطور الالتهاب إلى خراج صدري أو تجرثم الدم.
- تضيّق المريء: تندب الأنسجة بعد الإصلاح أو الاستئصال قد يؤدي إلى ضيق مزمن وصعوبة في البلع.
- المضاعفات الرئوية: تشمل الانصباب الجنبي وذات الرئة أو تشكل ناسور مريئي-قصبي نتيجة انتشار الالتهاب.
- النزيف: قد يحدث النزيف خلال العملية أو بعدها وذلك بسبب هشاشة الأنسجة أو بسب وجود إصابة أوعية دموية مجاورة.
- فشل الأعضاء المتعدد: في الحالات الشديدة أو المتأخرة يمكن أن يؤدي الالتهاب الواسع إلى قصور كلوي، صدمة جهازية، أو فشل متعدد الأعضاء.
التوقعات والمتابعة بعد علاج انثقاب المريء
تُعتبر سرعة التشخيص والتدخل العلاجي العامل الأساسي في معرفة التوقعات المستقبلية لانثقاب المريء، عند إجراء الإصلاح الجراحي أو التنظيري خلال 24 ساعة الأولى، ترتفع نسب البقاء بشكل واضح وتصل إلى معدلات جيدة تتجاوز ثلاثة أرباع الحالات، بينما يسبب التأخر تدهور شديد في النتائج، إذ قد تصل الوفيات إلى أكثر من النصف بعد مرور يوم واحد، وتقترب من التسعين بالمئة عند تجاوز 48 ساعة. وعلى الرغم من ذلك يبقى الانثقاب حالة خطيرة حتى في أفضل الظروف مع معدل وفيات إجمالي يقارب 35% في المراكز المتقدمة.
بعد إتمام العلاج، تُعتبر المتابعة الدقيقة للمريض عنصراً مهماً لتقليل المضاعفات وتحسين فرص الشفاء التام، حيث تتضمن خطة المتابعة مراقبة سريرية مستمرة لعلامات العدوى أو التسرب، وإجراء فحوص تصويرية دورية مثل الأشعة المقطعية أو البلع بالمادة الظليلة للتأكد من سلامة المريء. كما يُعتمد على التغذية الوريدية أو عبر أنبوب معدي حتى يُثبت التئام المنطقة المصابة، ثم يُعاد إدخال الطعام الفموي تدريجياً. ويُوصى كذلك بمراقبة المضاعفات المتأخرة مثل التضيق أو الخراجات، لضمان استقرار المريض على المدى الطويل.
مزايا علاج انثقاب المريء في تركيا
أصبحت تركيا من الوجهات الطبية المتميزة لعلاج الحالات المعقدة مثل انثقاب المريء بفضل تطور بنيتها الصحية وتكامل خدماتها العلاجية، وأهم ما يميزها:
- خبرة جراحية متقدمة: تضم المستشفيات الجامعية والمراكز التخصصية جراحين ذوي خبرة عالية في جراحة الصدر والجهاز الهضمي، ما يرفع من نسب النجاح ويقلل المضاعفات.
- تقنيات تنظيرية حديثة: توفر المستشفيات أجهزة تنظير متطورة تسمح بإغلاق الانثقابات بدقة عالية، مما يقلل الحاجة إلى التدخل الجراحي الواسع.
- وحدات عناية مركزة متخصصة: يتمتع المرضى بمتابعة لصيقة بعد العملية ضمن أقسام مجهزة بأحدث وسائل المراقبة والدعم التنفسي والقلبي.
- تكاليف علاجية منافسة: تُقدّم تركيا خدمات طبية متطورة بجودة تضاهي الدول الأوروبية، لكن بتكاليف أقل، ما يجعلها خياراً مفضلاً لمرضى الدوليين.
- اعتماد دولي للمراكز الطبية: العديد من المستشفيات التركية حاصلة على اعتماد من منظمات صحية عالمية، مما يضمن التزامها بأعلى معايير الجودة والسلامة.
إن التعامل مع انثقاب المريء يتجاوز كونه مجرد إجراء علاجي، فهو اختبار حقيقي لمدى جاهزية الفريق الطبي وقدرته على اتخاذ القرار المناسب في الوقت المناسب. فالعلاج لا ينحصر في سد الثقب أو إصلاح الأنسجة فقط، بل يشمل حماية المريض من عدوى مهددة للحياة، وضمان استقرار أعضائه الحيوية، وتأمين تغذيته حتى استعادة المريء لوظيفته الطبيعية. هذه الجوانب مجتمعة تفسر لماذا يُعتبر التشخيص المبكر والتدخل السريع حجر الأساس في تحسين النتائج.
كما أنّ رحلة المريض لا تنتهي بالخروج من غرفة العمليات أو نجاح الإجراء التنظيري، بل تستمر مع متابعة دقيقة تهدف إلى رصد أي مضاعفات مبكرة أو متأخرة، ودعم المريض نفسياً وجسدياً حتى يعود إلى حياته الطبيعية. إنّ إدراك خطورة هذه الحالة، وتقدير قيمة الرعاية متعددة التخصصات، يعكسان حقيقة أن انثقاب المريء ليس مجرد طارئ جراحي، بل تجربة علاجية متكاملة تحتاج إلى خبرة، سرعة، وتنسيق دقيق بين مختلف فروع الطب لضمان أفضل فرص النجاة والشفاء الكامل.
المصادر:
- Kassem, M. M., & Wallen, J. M. (2025). Esophageal Perforation and Tears. In StatPearls . Treasure Island (FL): StatPearls Publishing.
- A.D.A.M., Inc. (2024, October 30). Esophageal perforation. In MedlinePlus Medical Encyclopedia. U.S. National Library of Medicine.
