يُعد تشخيص مرض السل خطوة أساسية للسيطرة على العدوى والحدّ من انتشارها، إذ قد تتشابه أعراضه مع أمراض تنفسية أخرى مثل الالتهاب الرئوي، مما يجعل التشخيص الدقيق أمراً حيوياً لتحديد المصابين وبدء العلاج المناسب في الوقت المناسب. حيث يسهم الاكتشاف المبكر في منع المضاعفات وتحسين فرص الشفاء الكامل.
شهدت السنوات الأخيرة تطوراً ملحوظاً في وسائل تشخيص مرض السل، حيث انتقلت من الفحوص التقليدية إلى تقنيات حديثة أكثر دقة وسرعة تعتمد على التحليل الجزيئي. هذا التطور ساعد الأطباء على تحديد الإصابة بدقة أعلى ومتابعة الحالات بطريقة منهجية تضمن أفضل النتائج العلاجية.
ما هو مرض السل؟
يُعد مرض السل من الأمراض المعدية المزمنة التي تسببها بكتيريا تُعرف باسم المتفطرة السلَية، وتنتقل عادة عن طريق الرذاذ المتطاير من شخص مصاب عند السعال أو العطاس. يصيب السل في الغالب الرئتين، لكنه قد يمتد إلى أعضاء أخرى مثل العقد اللمفاوية أو العظام أو السحايا، وتختلف شدته من عدوى كامنة غير معدية إلى مرض نشط تظهر فيه الأعراض بوضوح. يُعتبر الكشف المبكر عن السل وعلاجه الكامل من أهم الخطوات للحد من انتشاره وحماية الصحة العامة.
أهداف تشخيص مرض السل
يهدف تشخيص مرض السل إلى التأكد من وجود العدوى البكتيرية وتحديد حالتها إن كانت نشطة أو كامنة، وذلك لمساعدة الأطباء في اختيار العلاج المناسب لكل مريض. كما يهدف إلى تقييم مدى انتشار المرض داخل الرئتين أو في أعضاء أخرى من الجسم، خاصة في حالات السل خارج الرئة. يساعد التشخيص أيضاً على معرفة ما إذا كانت البكتيريا مقاومة لبعض الأدوية، مما يوجه الطبيب لاستخدام نظام علاجي فعّال منذ البداية، وبذلك يشكل التشخيص الدقيق خطوة أساسية لضمان شفاء المريض ومنع انتقال العدوى إلى الآخرين.
خطوات تشخيص مرض السل
تبدأ خطوات تشخيص مرض السل بتقييم المريض سريرياً ثم إجراء الفحوص المناسبة لتأكيد وجود العدوى أو استبعادها، يعتمد الطبيب في البداية على الأعراض والعلامات السريرية لتوجيه الاشتباه، ثم يستخدم الفحوص المخبرية والتصويرية لتحديد نوع المرض وشدته ومكانه. بفضل التطور الطبي، أصبح بالإمكان كشف العدوى بسرعة ودقة عبر تقنيات حديثة تميز بين السل النشط والسل الكامن، مما يسهم في السيطرة على انتشار المرض ووضع خطة علاج فعّالة.
الفحص السريري والتاريخ المرضي
يُعد الفحص السريري الخطوة الأولى في تشخيص مرض السل، حيث يستمع الطبيب إلى تنفس المريض بواسطة السماعة الطبية، ويفحص العقد اللمفية بحثاً عن تورمات، كما يسأله عن الأعراض والعوامل التي قد تشير إلى العدوى مثل السعال المزمن، وفقدان الوزن، والتعرق الليلي، أو مخالطة أشخاص مصابين. تساعد هذه الخطوة على تحديد ما إذا كانت الأعراض تُرجّح إصابة رئوية أو خارج الرئة، وتوجّه الطبيب لاختيار الفحوص المناسبة لاحقاً.
الفحوص المخبرية الأساسية لتشخيص مرض السل
بعد جمع المعلومات السريرية وتقييم الأعراض، ينتقل الطبيب إلى إجراء الفحوص المخبرية التي تُعدّ الأساس في تشخيص مرض السل، إذ تساعد على كشف العدوى بدقة وتحديد نوعها إن كانت كامنة أم نشطة، مما يوجّه خطة العلاج المناسبة.
اختبار الجلد للسل (اختبار التوبركولين)
يُستخدم هذا الفحص للتحقق من استجابة الجهاز المناعي لوجود بكتيريا السل، حيث يُحقَن تحت الجلد مقدار صغير من مادة تُدعى التوبركولين، ثم يُفحص مكان الحقن بعد 48 إلى 72 ساعة لقياس حجم التورم. يشير التفاعل الإيجابي إلى احتمال وجود سل كامن أو نشط، بينما يُعدّ غياب التفاعل سلبياً لكنه لا يستبعد العدوى بشكل قطعي. يتميز هذا الاختبار بسهولته وانخفاض تكلفته، لكنه قد يعطي نتائج غير دقيقة لدى من تلقوا لقاح BCG أو يعانون من ضعف المناعة.
اختبار الدم للسل
يتم إرسال عيّنة دم إلى المختبر لقياس استجابة خلايا المناعة لبروتينات السل، يتميز هذا الفحص بدقته العالية وعدم تأثره بلقاح BCG، ويُستخدم للكشف عن العدوى سواء كانت كامنة أو نشطة، إلا أنّ دقته أعلى في اكتشاف السل الكامن مقارنةً بالنشط. تشير النتيجة الإيجابية إلى وجود إصابة بالسل، في حين تُعتبر النتيجة السلبية دليلاً مرجحاً على عدم وجود العدوى.
الفحوص الميكروبيولوجية لتشخيص مرض السل
بعد الفحوص السريرية والمخبرية المبدئية، تأتي الفحوص الميكروبيولوجية لتأكيد تشخيص مرض السل بدقة عالية، إذ تُعتبر الخطوة الحاسمة في إثبات وجود البكتيريا المسببة للمرض. تتيح هذه الفحوص للطبيب الكشف المباشر عن عصيات السل تحت المجهر أو عبر الزرع المخبري، كما تمكّنه من تحديد حساسية الجرثومة تجاه الأدوية المضادة، وهو أمر أساسي لاختيار العلاج الفعّال وتجنّب مقاومة الأدوية في المراحل اللاحقة.
فحص البلغم المباشر
يُستخدم للكشف عن السل الرئوي النشط، حيث يُفحص البلغم تحت المجهر للبحث عن عصيات مقاومة للحمض، غالباً ما تُؤخذ ثلاث عينات متتابعة لزيادة دقة النتائج. يساعد الفحص الإيجابي على تأكيد التشخيص بسرعة، بينما يُوصى بإجراء فحوص إضافية عند الشك في العدوى مع نتائج سلبية.

الزرع الجرثومي
يُعتبر أدق اختبار لتأكيد الإصابة ببكتيريا السل، إذ يُزرع البلغم أو العينة في وسط خاص لمراقبة نمو البكتيريا خلال فترة تتراوح بين أسبوعين إلى ثمانية أسابيع. يُستخدم هذا الاختبار أيضاً لتحديد حساسية الجرثومة تجاه الأدوية، ما يساعد على اختيار العلاج الأنسب، ويُعد مرجعاً أساسياً في المراكز المتخصصة.
اختبار GeneXpert / PCR
يُعد من أحدث تقنيات تشخيص مرض السل، إذ يعتمد على الكشف الجزيئي للحمض النووي للبكتيريا عبر تفاعل البوليميراز المتسلسل PCR. يتميز بسرعة النتائج التي تصدر خلال ساعات ودقته في تحديد مقاومة البكتيريا لدواء الريفامبيسين. حيث توصي منظمة الصحة العالمية باستخدامه كاختبار أولي في الحالات المشتبه بها أو المقاومة للأدوية.
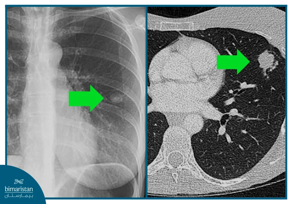
الفحوص الشعاعية والتصويرية لتشخيص مرض السل
تلعب الفحوص الشعاعية دوراً محورياً في تشخيص مرض السل، إذ تساعد على تقييم مدى تأثر الرئتين أو الأعضاء الأخرى وتحديد مرحلة الإصابة، وعلى الرغم من أن الفحص المخبري هو الذي يؤكد التشخيص نهائياً، إلا أنّ التصوير يُعدّ أداة مهمة لتوجيه الطبيب ومتابعة تطور الحالة. تشمل أبرز الفحوصات:
- الأشعة السينية للصدر: تُستخدم كفحص أولي لتقييم الرئتين، إذ قد تُظهر التجاويف، أو التليف، أو التكلسات المميزة لعدوى السل، لكنها لا تكفي وحدها لتأكيد التشخيص.
- الأشعة المقطعية: تُظهر تفاصيل أدق من الأشعة السينية وتساعد في اكتشاف الآفات الصغيرة أو التجاويف العميقة، وتفيد في تقييم مدى انتشار العدوى داخل الصدر.
- التصوير بالرنين المغناطيسي: يُستخدم بشكل خاص عند الاشتباه بإصابة في الدماغ، أو العمود الفقري، أو المفاصل، ويُعد الأفضل لتشخيص السل السحائي أو العظمي المفصلي.
- الموجات فوق الصوتية: تُفيد في الكشف عن السل خارج الرئة مثل الكبد أو العقد اللمفاوية في البطن، كما تُستخدم لتوجيه الخزعة عند الحاجة إلى أخذ عينة من نسيج مصاب.

تشخيص السل خارج الرئة
في حال الاشتباه بإصابة خارج الجهاز التنفسي، يعتمد التشخيص على فحوص خاصة مثل أخذ خزعة من النسيج المصاب أو تحليل سوائل الجسم (كالنخاع الشوكي في حالات السل السحائي)، تساعد هذه الفحوص في تأكيد الإصابة وتحديد مكان العدوى بدقة.
متى يُنصح بإجراء فحوص تشخيص مرض السل؟
يُنصح بإجراء فحوص تشخيص مرض السل في الحالات التي يزداد فيها احتمال الإصابة أو انتقال العدوى، ومن أبرزها:
- السعال المستمر لأكثر من ثلاثة أسابيع
- فقدان الوزن أو التعرّق الليلي
- مخالطة شخص مصاب بالسل النشط
- ضعف المناعة أو استخدام أدوية مثبطة لها
تُعتبر هذه العلامات إشارات تحذيرية تستدعي مراجعة الطبيب لإجراء الفحوص المناسبة. كما يُنصح بإجراء الفحص الوقائي للأشخاص الأكثر عرضة مثل مرضى السكري ونقص المناعة وكبار السن والعاملين في القطاع الصحي، إذ يساعد الكشف المبكر على اكتشاف العدوى الكامنة قبل تحولها إلى سل نشط، مما يسهم في السيطرة على المرض ومنع انتقاله إلى الآخرين.
تأكيد التشخيص وتقييم شدة المرض
يتم تأكيد التشخيص بدمج نتائج الفحوص السريرية والمخبرية والتصويرية معاً لتحديد نوع العدوى (نشطة أو كامنة) ومدى شدتها. كما تُجرى اختبارات الحساسية الدوائية عند الشك في مقاومة البكتيريا، لضمان بدء العلاج المناسب دون تأخير.
تشخيص مرض السل في تركيا
شهدت تركيا تطوراً كبيراً في برامج مكافحة السل وتشخيصه، حيث تعتمد وزارة الصحة نظاماً إلكترونياً موحداً لمتابعة الحالات وتوثيق نتائج الفحوص بدقة. تتوافر في معظم المستشفيات الحكومية والجامعية أجهزة GeneXpert وPCR التي تمكّن من تشخيص المرض خلال ساعات قليلة وتحديد مقاومة البكتيريا للأدوية الأساسية.
تُقدَّم فحوص تشخيص مرض السل مجاناً ضمن إطار البرنامج الوطني لمكافحة السل، الذي يشمل أيضاً تتبّع المرضى وضمان الالتزام بالعلاج. كما تُجري المختبرات المتخصصة اختبارات الزرع والحساسية الدوائية وفق المعايير الدولية، ما يضمن دقة التشخيص وسرعة بدء العلاج المناسب.
في مركز بيمارستان الطبي، نساعد المرضى القادمين من الخارج على الوصول إلى المستشفيات والمختبرات المعتمدة لإجراء الفحوص الدقيقة في أقصر وقت ممكن، بإشراف أطباء مختصين في الأمراض الصدرية والعدوى، لضمان تشخيص موثوق ووضع خطة علاج فعّالة.
في الختام، يُعد تشخيص مرض السل خطوة محورية في السيطرة على المرض ومنع انتقاله إلى الآخرين، إذ يتيح الاكتشاف المبكر بدء العلاج في الوقت المناسب وتقليل المضاعفات. مع تطور التقنيات الحديثة، أصبح التشخيص أكثر دقة وسرعة من أي وقت مضى. إن الجمع بين التقييم السريري والتحاليل المخبرية والفحوص التصويرية يوفّر صورة متكاملة لحالة المريض، مما يساعد الأطباء على تحديد نوع العدوى ووضع خطة العلاج المناسبة لتحقيق الشفاء الكامل والحد من انتشار المرض في المجتمع.
المصادر:
- Centers for Disease Control and Prevention. (n.d.). Clinical and laboratory diagnosis for tuberculosis.
- National Health Service. (n.d.). Tuberculosis (TB).
