يُعد تصبغ الأسنان الفلوري من المشاكل الجمالية الشائعة التي تصيب الأطفال والبالغين نتيجة التعرض المفرط للفلورايد خلال فترة نمو الأسنان، حيث تشير الدراسات إلى أن ما يقارب 20–30% من السكان في بعض المناطق حول العالم يعانون من هذه الحالة بدرجات متفاوتة، ويظهر التصبغ على شكل بقع بيضاء أو بنية غير متجانسة تؤثر على مظهر الأسنان وثقة المريض بنفسه. مع تطور تقنيات طب الأسنان، بات علاج تصبغ الأسنان الفلوري أكثر أماناً وفعالية.
ما هو تصبغ الأسنان الفلوري؟
تصبغ الأسنان الفلوري هو تغير في لون ميناء الأسنان والذي يحدث نتيجة التعرض المفرط لمادة الفلورايد أثناء مرحلة تشكل الأسنان في الطفولة، حيث يظهر عادةً على شكل خطوط أو بقع بيضاء أو صفراء أو بنية غير منتظمة على سطح الأسنان، وقد يكون خفيفاً بحيث لا يلاحظ إلا عند الفحص، أو شديداً يسبب تآكل المينا وتصبغاً واضحاً يؤثر على المظهر الجمالي للأسنان، وهذه الحالة ليست مرضاً معدياً، لكنها مشكلة جمالية ترتبط غالباً بمستوى الفلورايد في مياه الشرب أو الإفراط في استخدام معاجين وغسولات الأسنان المحتوية على الفلورايد عند الأطفال.
كيف يبدو تصبغ الأسنان الفلوري؟
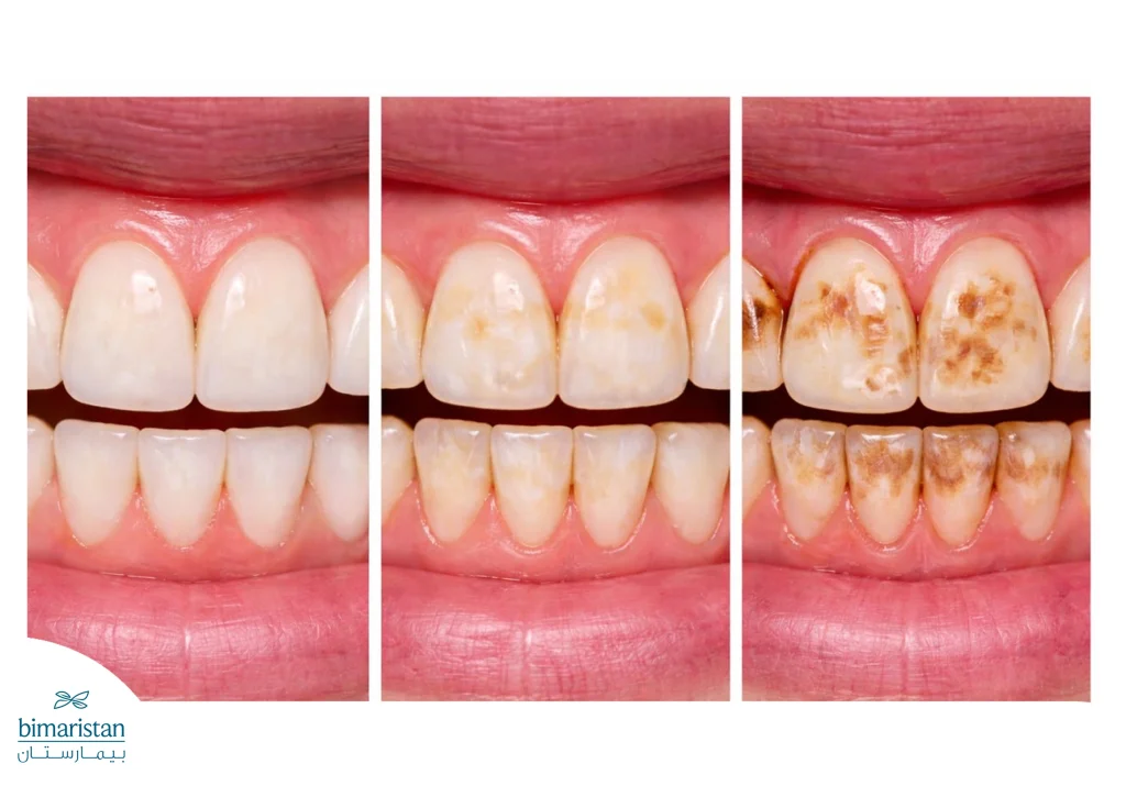
تصبغ الأسنان الفلوري والذي يعرف أيضا باسم تسمم الأسنان بالفلور dental fluorosis، يتراوح فيه مظهر التبقع بين تصبغات أسنان بيضاء باهتة غير ملحوظة إلى تصبغات باللون البني الداكن وخشونات وتشققات على الميناء تجعل من التنظيف بالفرشاة أمراً صعباً.
في معظم الحالات لا يكون لتصبغ الأسنان الفلوري أي تأثير أو ضرر بل على العكس وذلك لدور الفلور الإيجابي في منع النخور وتقليل الحساسية لهذا ينصح كثير من الأطباء بإجراء علاجات جل ورنيش الفلورايد عند الأطفال والبالغين، ولكن عند من يتناولون الفلور في عمر الطفولة بدون مراقبة وضغط خلال مرحلة تشكل الأسنان فقد يحصل تسمم للأسنان بالفلور، وقد تبدأ ثقة الشخص بابتسامته بالتأثر خاصة لو توضعت التصبغات على الأسنان الأمامية بشكل واضح مما يدفعه للبحث عن طريقة لإخفائها.
في أغلب الأحيان يكون تصبغ الأسنان بالفلور خفيفاً لا تتم ملاحظته إلا من قبل طبيب الأسنان خلال الفحوصات، وكلما ارتفعت جرعة الفلور الزائدة كلما زادت شدة الحالة، وفي تصبغ الأسنان الشديد قد يظهر:
- خشونة سطح السن
- شقوق أسنان مرئية بشكل كبير
- تصبغ الأسنان باللون البني إلى الأصفر

ما هي أسباب تصبغ الأسنان الفلوري؟
أحد أهم الأسباب لتصبغ الأسنان الفلوري باللون الأبيض أو البني هو استهلاك المنتجات السنية الحاوية على الفلور مثل المضامض الفموية ومعاجين الأسنان الغنية بالفلور في مرحلة الطفولة أثناء تشكل الأسنان الدائمة، ففي كثير من الأحيان يعجب الطفل بطعم معجون الأسنان الحاوي على الفلور فيقوم ببلعه بدلاً من بصقه.
كما يصيب تصبغ الأسنان الفلوري الناس الذين يأخذون جرعات فلور أعلى من الموصوفة من قبل الطبيب خلال مرحلة الطفولة أو عند أخذها في المناطق التي تكون مياه الشرب عالية التفلور. في حال تناول الطفل جرعات زائدة من الفلور خلال فترة زمنية قصيرة قد يحدث التسمم بالفلور الذي يتظاهر بأعراض أخرى عدا تصبغ الأسنان الفلوري هي:
- إقياء
- غثيان
- إسهال
- ألم في البطن
علاج تصبغ الأسنان الفلوري في تركيا
إن لتبييض الأسنان دور في إزالة تلونها وجعلها بيضاء أكثر مما يجعل التصبغات غير واضحة وتندمج مع لون السن، وهناك خيارات عديدة لتبييض الأسنان مثل تبييض الأسنان بالليزر. غالباً ما يبحث الشخص عن طرق إزالة تصبغ الفلور لما له من تأثير على الناحية الجمالية للابتسامة. في حالات تصبغ الأسنان الفلوري الخفيف غير الملحوظة لا يكون هناك حاجة لأي إجراء، أما في التصبغ الشديد هناك خيارات عديدة للتعامل مع الحالة معظمها يعتمد على تغطية مكان التصبغ نذكر منها:
الكومبوزيت والمواد الرابطة
تستخدم مادة الكومبوزيت التجميلية التي يشاع تسميتها بالحشوة الضوئية من قبل طبيب الأسنان، حيث يكون لهذه المادة نفس لون السن وترتبط بالميناء مما يساعد على تغطية اللون المتأثر بالفلور.
تلبيس تاج الأسنان
يتم علاج تصبغ الأسنان البني والتصبغ الشديد عن طريق تغطيتها بالكامل بواسطة التيجان أو كما تعرف بالتلبيسات، وتحتاج هذه الطريقة لإزالة وتحضير أجزاء من السن حتى يستقر التاج مكانها.
عدسات الفينير
تشبه عدسات الفينير التيجان وهي عبارة عن وجوه رقيقة يتم صنعها بشكل مخصص عند طبيب الأسنان ولكنها تحتاج إزالة اقل من بنية السن وتغطي السطح الأمامي منه فقط.
سحل الميناء
في هذه الطريقة يقوم طبيب الأسنان ببرد القليل من الميناء لإزالة البقع.
معجون MI
هو معجون فوسفات الكالسيوم الذي يتميز بقدرته على علاج تلون الأسنان.

نصائح الوقاية من تصبغ الأسنان الفلوري
تتمثل أهم خطوة للوقاية من تصبغ الأسنان الفلوري في متابعة الأهل لما يستهلكه الطفل من مصادر الفلورايد، حيث يُنصح بالتأكد من نسبة الفلورايد في مياه الشرب من خلال الاستفسار من طبيب الأسنان أو من مزوّد المياه المحلي، أما في حال الاعتماد على مياه الآبار أو المياه المعبأة، فيمكن معرفة النسبة بدقة عبر تحليل عينة في مختبرات متخصصة.
بعد تحديد كمية الفلورايد التي يحصل عليها الطفل من الماء والغذاء، يمكن بالتعاون مع طبيب الأسنان تقرير ما إذا كان بحاجة لمصادر إضافية أو لا، كما يُفضَّل حفظ المنتجات السنية المحتوية على الفلورايد مثل معاجين الأسنان والمضامض بعيداً عن متناول الأطفال إلا تحت إشراف مباشر.
عند تنظيف الأسنان، يكفي استخدام كمية من معجون الأسنان بحجم حبة البازلاء، مع التأكد من أن الطفل يبصقها بعد الانتهاء ولا يبتلعها، ولتقليل احتمالية البلع، يُستحسن تجنب معاجين الأسنان المخصصة للأطفال ذات النكهات الحلوة التي قد تشجعهم على ابتلاعها.
في النهاية، يؤثر تصبغ الأسنان الفلوري بشكل مباشر على المظهر الخارجي للمريض وصحته النفسية، لذلك فإن التشخيص المبكر والخيارات العلاجية المناسبة يساعدان على تحسين جودة الحياة. بفضل تقدم طب الأسنان التجميلي أصبح بالإمكان استعادة اللون الطبيعي للأسنان من خلال إجراءات غير جراحية ونتائج طويلة الأمد. في تركيا، يقدم مركز بيمارستان الطبي للمرضى أحدث الحلول لعلاج تصبغ الأسنان الفلوري ضمن بيئة متكاملة تجمع بين الخبرة الطبية والتجهيزات المتطورة، وإن هذا يضمن حصول المريض على ابتسامة صحية وجذابة بثقة أكبر.
المصادر:
- Jin, Y., Paranhos, K. S., Salamone, A., Bongiorno, W., & Brizuela, M. (2024, May 7). Internal tooth whitening. In StatPearls. StatPearls Publishing.
- Wong, H. M., McGrath, C., Lo, E. C. M., & King, N. M. (2006). Association between developmental defects of enamel and different concentrations of fluoride in the public water supply.
