يُعد خراج الدماغ من الحالات العصبية الحرجة التي تتطلب تدخلاً عاجلاً، حيث تُظهر الإحصائيات أن 1-2% من التهابات الدماغ تتطور إلى خراجات، مع معدل وفيات يصل إلى 20% في الحالات المتأخرة. تلعب جراحة إزالة خراج الدماغ دوراً محورياً في إنقاذ المرضى، حيث تتراوح نسب النجاح بين 80-90% عند استخدام التقنيات الحديثة. وقد ساهمت التطورات في مجال الجراحة العصبية الدقيقة في خفض مضاعفات ما بعد العملية إلى أقل من 15%.
ما هو خراج الدماغ؟
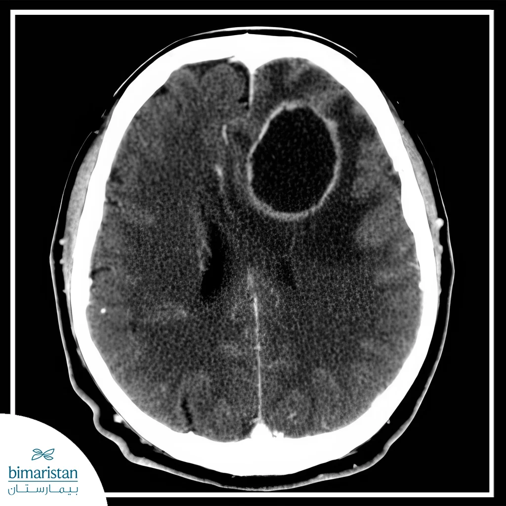
إن خراج الدماغ هو تجمع قيحي داخل أنسجة الدماغ ناتج عن عدوى بكتيرية أو فطرية أو طفيلية، وبالرغم من أنه يُعتبر من الحالات النادرة إلّا أنه حالة طارئة وإسعافية تتطلب التدخل الطبي الفوري لمنع المضاعفات التي قد تكون مهددة للحياة. تحدث هذه الحالة بسبب انتشار العدوى البكتيرية أو الطفيلية من مناطق قريبة من الدماغ كما في حالات التهاب الأذن أو التهاب الجيوب الأنفية، وقد ينتشر من مناطق بعيدة عبر مجرى الدم كما في حالات التهابات الرئة والتهاب الشغاف الجرثومي، وتكون أعراضها هي الحمى والصداع الشديد، والغثيان أو الإقياء، وأعراض عصبية مثل الضعف والتنميل في أحد أطراف الجسم حسب موقع الخراج في الدماغ.
إضافةً إلى ما سبق، فإن خراج الدماغ يمكن أن يكون سطحياً أو عميقاً، ولكل منهما أعراض تميزه، وتكون طريقة التعامل معه مختلفة، فالخراج السطحي يكون في المناطق القريبة من سطح الدماغ كالقشرة المخية، وأهم أعراضه هي الصداع الموضعي فوق منطقة الخراج، وأعراض التهيج السحائي إذا كان قريباً من السحايا، وقد تحدث نوبات صرعية في بعض الحالات، ويكون سهل التصريف لقربه من السطح. أما الخراج العميق فيوجد في المناطق العميقة من الدماغ مثل وجوده في النوى القاعدية وجذع الدماغ وغيرها، ويتميز بأعراض حسب منطقة تواجده، فيسبب وحركات لا إرادية وضعف عضلي عند إصابته للنوى القاعدية، وقد يسبب الإغماء عند وجوده في جذع الدماغ، وإن هذا الخراج صعب التصريف بسبب عمقه مما قد يسبب تلف الأنسجة السليمة عند محاولة استئصاله.

متى تكون جراحة إزالة خراج الدماغ ضرورية؟
يتخلف حجم خراجات الدماغ حسب نوع العدوى فتتراوح من الصغيرة جداً وحتى الخراجات الكبيرة التي تتجاوز 3 سم، وإن الخراجات الكبيرة تستلزم التدخل الجراحي لتصريفها، حيث أنها تسبب ضغطاً على الدماغ وانزياحاً خطيراً قد يكون مهدداً للحياة، إضافةً إلى ذلك فإن الخراجات القريبة من البطينات تكون علامة إنذار اسعافية تتطلب التدخل الجراحي الطارئ، وذلك بسبب أنها يُمكن أن تتمزق وتسبب التهاب البطين، وهو حالة مميتة حتمية إذا لم تُعالج. قد تكون جراحة إزالة خراج الدماغ في حالات الخراجات المتعددة وخصوصاً إذا كانت كبيرة أو في مناطق حرجة.
كيفية إجراء جراحة إزالة خراج الدماغ؟
إن جراحة إزالة خراج الدماغ تمتلك طرق متعددة يُمكن أن تُجرى بها، حيث أنه لكل منها خصائصه وطرق الإجراء المختلفة التي تُميزها عن باقي الطرق، و أهم الطرق هم تصريف الخراج بالإبرة الوجهة بالتصوير، والجراحة المفتوحة، وإزالة الخراج بالمنظار الجراحي.
التصريف بالإبرة الموجه بالتصوير
تُعتبر هذه الطريقة هي الأكثر شيوعاً واستخداماً في جراحة إزالة خراج الدماغ، حيث تُظهر الدراسات الحديثة أن نجاح التصريف بالإبرة أعلى بمعدل 85% من الجراحة المفتوحة مع مضاعفات أقل، وذلك لأنها جراحة طفيفة التوغل، والاعتماد عليها يُقلل من خطر تلف الأنسجة السليمة. هذه العملية تُجرى تحت التخدير العام، ويتم بدايةً تثبيت إطار يسمى إطار ستيريوتاكسي لتحديد موقع الخراج بدقة، ومن ثم يتم إدخال إبرة رفيعة عبر فتحة صغيرة في الجمجمة، ويتم من خلالها شفط القيح وغسل التجويف الذي أنتجه القيح بمحاليل ملحية أو صادات حيوية لتنظيفها، وأخيراً يتم إرسال القيح المشفوط إلى الزرع الجرثومي للتحري عن نوعه ومصدره.
الجراحة المفتوحة
تُستخدم في الحالات التي يكون فيها الخراج الجراحي كبير (أكبر من 3 سم) وفي حالات الخراجات السطحية، أو عند وجود شظايا عظمية في الخراج، أو عندما يفشل التصريف باستخدام الإبرة، وتتم هذه الجراحة تحت التخدير العام، حيث بدايةً يتم فتح جزء من الجمجمة واستئصال الخراج بالكامل من قبل الجراح مع الكبسولة المحيطة به، ومن ثم غسل المنطقة بالصادات الحيوية، وأخيراً يتم إعادة العظم وإغلاق الجمجمة. إن هذه الجراحة تتميز بعدد من المضاعفات المحتملة كالنزيف الدماغي، أو التورم الدماغي، أو الإصابة بنوبات صرع.

المنظار الجراحي
تُعتبر من الجراحات طفيفة التوغل لعلاج خراجات الدماغ، وتُستخدم في حالات الخراجات القريبة من البطينات وفي خراجات قاعدة الجمجمة، أو في الخراجات الصغيرة العميقة التي يصعب الوصول إليها بالجراحة المفتوحة أو الإبرة، وتُجرى هذه الجراحة تحت التخدير العام، ويتم عمل فتحة صغيرة في الجمجمة قطرها 1-2 سم، ومن ثم يتم إدخال المنظار عبر الفتحة وشفط القيح مع غسل التجويف بمحلول ملحي أو صادر حيوي، وأخيراً يتم إرسال العينة للزرع الجرثومي لتحديد الصاد الحيوي الملائم لإعطائه، وللتحري عن نوع ومصدر هذا الخراج.
المخاطر والمضاعفات المحتملة بعد الجراحة
تمتلك جراحة إزالة خراج الدماغ طيف واسع من المضاعفات التي قد تُصيب المريض بعد جراحة، وتتمثل أهمها بـ:
- العدوى: قد تحدث بعض المضاعفات الناتجة عن العدوى مثل التهاب السحايا نتيجة انتشار العدوى إلى الأغشية المحيطة بالدماغ، أو قد تحدث الخراجات المتكررة عندما لا يتم إزالة الخراج بالكامل أو عندما لا تستجيب العدوى للصادات الحيوية.
- النزيف: قد يحدث نزيف الدماغ أثناء أو بعد الجراحة، وخاصةً عند المرضى الذين يعانون من اضطرابات تخثر الدم، وقد تحدث حالة من التجمع الدموي والتي قد تتطلب تدخلاً جراحياً إضافياً لإزالتها.
- التورم الدماغي: من المضاعفات التي تحدث بسبب تهيج نسيج الدماغ أثناء الجراحة والتي قد تؤدي إلى زيادة الضغط داخل الجمجمة، وانزياح الدماغ في بعض الحالات مما يهدد الحياة بشكل مباشر.
- النوبات الصرعية: يزداد احتمال الإصابة بالنوبات الصرعية عند إجراء جراحة إزالة خراج الدماغ قرب القشرة المخية، وقد تكون مؤقتة أو تتطور إلى صرع مزمن.
نسبة نجاح جراحة إزالة خراج الدماغ
إن نسبة نجاح جراحة إزالة خراج الدماغ تعتمد على نوع الجراحة ومكان وجود الخراج (الخراجات في جذع الدماغ تكون ذا خطورة أعلى ونسبة نجاح أخفض)، وفيما إذا كان خراج سطحي أو عميق، وكذلك على الحالة الصحية للمريض، وتتراوح وسطياً نسبة النجاح بين 75-90%، ويحتل التصريف باستخدام الإبرة الموجهة بالتصوير المرتبة الأولى كأكثر طريقة آمنة وأعلاها نسبةً للنجاح، وقد تنخفض النسبة كثيراً عند تأخير التشخيص والعلاج، ولذلك على المريض عند الإحساس ببعض الأعراض المذكورة سابقاً أن يراجع الطبيب المختص للتأكد من حالته.
التعافي والرعاية بعد العملية
إن الشفاء والتعافي التام بعد جراحة إزالة خراج الدماغ هي عملية تدريجية وتتطلب الرعاية الطبية الدقيقة والمتابعة المستمرة، حيث يبقى المريض في المشفى لمدة 3-10 أيام بعد العملية، ويقضي نصف هذه المدة في العناية المركزة حتى تستقر حالته، ومن ثم يُنقل إلى منزله، ويُتابعه الطبيب إما بالزيارات الدورية وإما بالاتصال والمحادثة، وتستمر هذه الفترة لعدة أشهر، ويتعافى المريض بشكل كامل بعد 3-6 أشهر من العملية.
هناك بعض علامات الإنذار التي قد تظهر على المريض وتستدعي نقله الفوري إلى المشفى، مثل حدوث الحمى الحادة، أو الصداع الشديد الذي لا يستجيب للمسكنات، أو تغيرات مفاجئة في الوعي، أو ضعف مفاجئ في الأطراف وصعوبة في الكلام، أو ظهور نوبات صرعية جديدة، وعند ظهور أحد هذه الأعراض أو أكثر فيجب على المريض الذهاب إلى المشفى بشكل إسعافي لإجراء الفحوصات والتحقق من حالته.
جراحة إزالة خراج الدماغ تُعد خطوة حاسمة لإنقاذ الحياة واستعادة الوظائف العصبية، خاصةً مع التطور الكبير في التقنيات طفيفة التوغل. الالتزام بالإرشادات الوقائية والمتابعة الدقيقة يضمن أفضل النتائج ويقلل من خطر الانتكاس. في مركز بيمارستان الطبي، نقدم رعاية متكاملة من التشخيص الدقيق إلى التأهيل العصبي، بفريقٍ جراحي متخصص وحداتٍ مجهزة بأحدث التقنيات لضمان تعافٍ آمن وسريع.
المصادر:
- National Institute of Neurological Disorders and Stroke. (2022). Brain abscess information page.
- American Association of Neurological Surgeons. (2021). Brain abscess surgical treatment options.
