يُعدّ سرطان الرئة الغدي أكثر أشكال سرطان الرئة انتشاراً، وتمثل حالاته نسبة مرتفعة من مجموع الإصابات عالمياً وفق تقارير منظمة الصحة العالمية، يلاحظ تزايد هذا النوع من السرطان بين المدخنين وغير المدخنين معاً، كما أنّ تأخر ظهور الأعراض يجعله من أكثر الأنواع التي تُكتشف في مراحل متقدمة. يساهم التقدّم في تقنيات التشخيص والعلاج في تحسين معدلات البقاء وجودة الحياة لدى المصابين.
ما هو سرطان الرئة الغدي؟
يُعدّ سرطان الرئة الغدي أكثر أنواع سرطان الرئة شيوعاً، إذ يُشكّل ما يقارب 40٪ من مجموع الإصابات وفق الإحصاءات الأمريكية، ينتمي هذا النوع إلى فئة سرطانات الرئة غير صغيرة الخلايا (NSCLC)، وينشأ عادةً من الخلايا الغدية المبطِّنة للمجاري التنفسية الصغيرة والمسؤولة عن إفراز المخاط. تتوضع الأورام الغدية غالباً في الأجزاء الخارجية من الرئة، وقد تظهر أحياناً في مناطق التليّف أو الالتهاب المزمن داخل النسيج الرئوي.
على الرغم من ارتباطه الوثيق بالتدخين، يُلاحظ حدوث سرطان الرئة الغدي أيضاً لدى غير المدخنين، وخصوصاً بين النساء أو الفئات العمرية الأصغر. يتميّز هذا النوع من السرطان بنموّه البطيء نسبياً مقارنةً بالأنواع الأخرى، مما قد يؤدي إلى تأخر اكتشافه في كثير من الحالات. تُظهر الخلايا السرطانية تحت المجهر صفات غدية واضحة تميّزها عن الأنواع الأخرى من سرطانات الرئة، ولهذا يُصنّف ضمن الأورام ذات المنشأ الغدي، وتُعد هذه البنية المجهرية عاملاً أساسياً في تحديد الخطة العلاجية لاحقاً، ولا سيما عند اختيار العلاج الموجّه أو المناعي.

أسباب وعوامل خطر سرطان الرئة الغدي
تتشابه أسباب سرطان الرئة الغدي مع العوامل التي تؤدي إلى معظم سرطانات الرئة الأخرى، إلا أن لهذا النوع خصائص مميزة من حيث التأثير الوراثي وتوزّع الإصابة بين الفئات المختلفة.
1. التدخين
يُعدّ التدخين العامل الرئيسي للإصابة بسرطان الرئة بمختلف أنواعه، إذ يُعزى إليه ما يقارب 80٪ من وفيات هذا السرطان بحسب الجمعية الأمريكية للسرطان. تحتوي السجائر على آلاف المواد الكيميائية المسرطنة التي تُحدث طفرات في خلايا الرئة وتزيد خطر التحوّل الخبيث مع ازدياد مدة وكثافة التدخين، ورغم هذا الارتباط القوي يُعتبر سرطان الرئة الغدي أكثر الأنواع شيوعاً لدى غير المدخنين، وهو ما يميّزه عن بقية سرطانات الرئة، كما يمكن أن ينجم عن التعرّض المزمن لدخان التبغ الصادر من الآخرين (التدخين السلبي).
2. العوامل البيئية والمهنية
التعرّض المستمر لمواد ملوِّثة أو كيميائية مثل غاز الرادون، الأسبستوس، الكروم، النيكل، القطران، السخام، والديزل يرفع خطر الإصابة بسرطان الرئة الغدي، كذلك يُعد تلوث الهواء وأبخرة عوادم المركبات من المصادر المهمة للمسرطنات الهوائية، وتشير دراسات إلى أنّ مياه الشرب الملوثة بالزرنيخ قد تساهم أيضاً في زيادة الخطورة.
3. العمر والجنس
يُعتبر سرطان الرئة إجمالاً من الأمراض التي تظهر في الأعمار المتقدمة، إذ تُشخَّص معظم الحالات بعد سن ال 65، ومع ذلك يُلاحظ أنّ سرطان الرئة الغدي هو النوع الأكثر شيوعاً بين المرضى الأصغر سناً مقارنة بالأنواع الأخرى من سرطانات الرئة، كما يُلاحظ أنه أكثر شيوعاً بين النساء، حتى بين غير المدخنات، إذ تُظهر الإحصاءات أن أكثر من ثلثي غير المدخنين المصابين بسرطان الرئة هنّ نساء.
4. العوامل الوراثية والطفرات الجينية
تلعب الطفرات الوراثية دوراً محورياً في نشوء سرطان الرئة الغدي. من أهم هذه الطفرات:
- طفرة جين EGFR التي تؤدي إلى انقسام غير مضبوط للخلايا
- تغيرات في جين p53 التي تُعد الأكثر شيوعاً في أورام الرئة غير صغيرة الخلايا
- طفرة جين KRAS الموجودة في نحو 20–40٪ من الحالات، وترتبط عادة بتكهن أسوأ واستجابة محدودة للعلاج الكيماوي
قد تُورَّث بعض هذه الطفرات من أحد الوالدين، بينما تنشأ أخرى بشكل مكتسب نتيجة التعرّض للعوامل البيئية أو بشكل عشوائي دون سبب واضح.
5. عوامل أخرى
تشمل العوامل الإضافية التعرّض السابق للعلاج الإشعاعي في الصدر، أو وجود إصابة سابقة بسرطان الرئة، أو التاريخ العائلي للمرض، حيث تزداد الخطورة بنسبة تصل إلى 50٪ لدى من لديهم قريب من الدرجة الأولى مصاب بسرطان الرئة. كما تُشير بعض الدراسات إلى أن الإصابة بفيروس نقص المناعة (HIV) أو تناول مكمّلات بيتا كاروتين لدى المدخنين قد يزيد من احتمالية الإصابة.
أعراض سرطان الرئة الغدي
يتطوّر سرطان الرئة الغدي عادة في الأجزاء المحيطية من الرئة، وقد يبقى لفترة طويلة من دون أعراض واضحة، مما يؤدي إلى تأخر اكتشافه في كثير من الحالات. ومع تقدّم الورم وازدياد حجمه، تبدأ الأعراض بالظهور تدريجياً لتؤثر على الجهاز التنفسي وحالة المريض العامة. تشمل أبرز الأعراض ما يلي:
- سعال مزمن لا يتحسن مع العلاج وقد يترافق بخروج بلغم ممزوج بالدم
- ضيق في التنفس يظهر بشكل متزايد عند الجهد أو في أثناء الراحة مع تقدم الحالة
- ألم في الصدر أو الكتف أو الجزء العلوي من الظهر يزداد عند التنفس العميق أو السعال
- بحة في الصوت أو صفير أثناء التنفس نتيجة تأثر الممرات الهوائية
- إرهاق مستمر وضعف عام في النشاط اليومي
- فقدان الشهية ونقص وزن غير مبرر
- تورّم في الوجه أو أوردة العنق بسبب ضغط الورم على الأوعية الدموية الكبرى
قد تكون هذه العلامات خفيفة أو غير نوعية في المراحل الأولى، مما يجعل تشخيص المرض تحدياً يتطلب فحوصاً دقيقة وتصويراً شعاعياً للصدر لتأكيد وجود الورم.
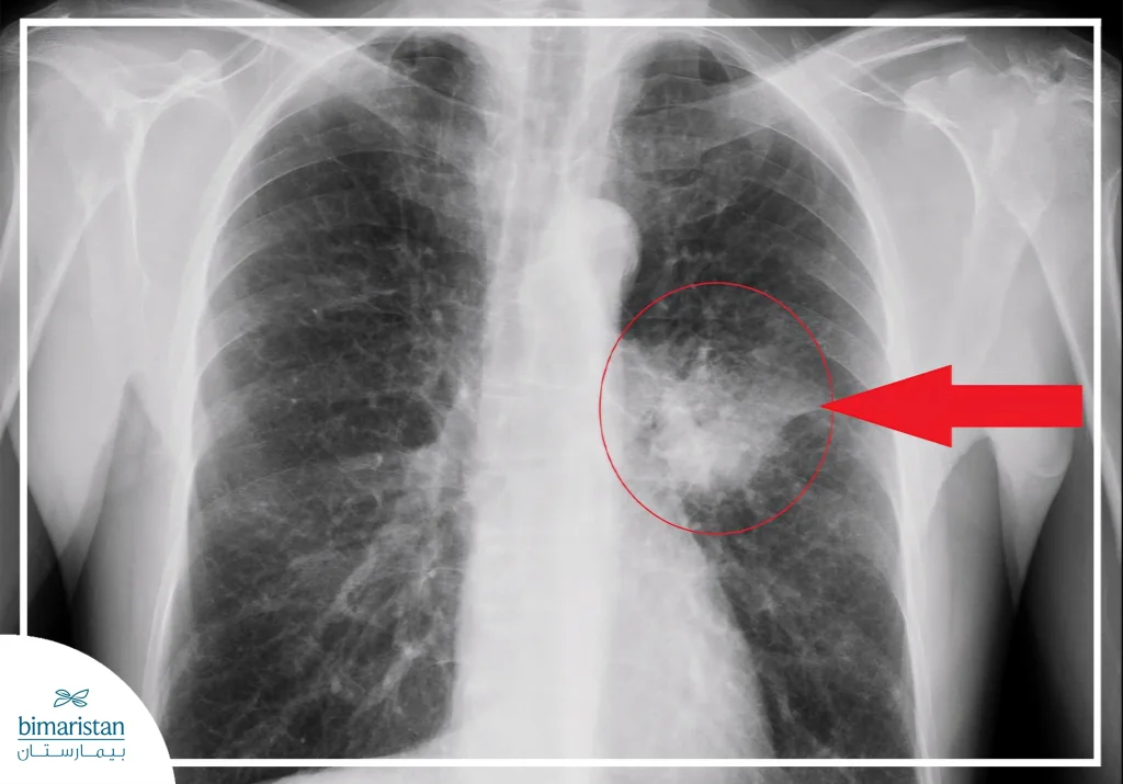
تشخيص سرطان الرئة الغدي
يُكتشف سرطان الرئة الغدي في كثير من الحالات صدفةً أثناء إجراء فحص شعاعي للصدر لأسباب غير مرتبطة بالسرطان، إذ قد يظهر على صورة الأشعة ظلّ غير واضح أو منطقة غير طبيعية في نسيج الرئة، ورغم أنّ التصوير الشعاعي يُعد وسيلة مبدئية مفيدة، إلا أنّ نحو ربع حالات سرطان الرئة قد لا تُكشف بالأشعة السينية وحدها، مما يستدعي إجراء فحوص أكثر دقة لتأكيد التشخيص.
الفحوص التصويرية
تُعدّ وسائل التصوير الخطوة الأولى في تقييم المرض المشتبه به، إذ تساعد على تحديد مكان الورم ومدى انتشاره داخل الرئة وخارجها. وتشمل أهم هذه الفحوص ما يلي:
- التصوير الطبقي المحوري: يُعد الوسيلة الأكثر استخداماً للكشف عن الأورام أو الكتل الصغيرة داخل الرئة بدقة عالية وتحديد خصائصها.
- التصوير بالرنين المغناطيسي: يُستخدم لتقييم امتداد الورم إلى الدماغ أو النخاع الشوكي أو الأنسجة المجاورة.
- التصوير المقطعي بالإصدار البوزيتروني: يوضّح النشاط الأيضي المرتفع في الخلايا السرطانية ويساعد في تحديد درجة انتشار المرض.
- الأشعة السينية للصدر: تُستخدم كاختبار مبدئي لكنها قد لا تُظهر الأورام الصغيرة أو الطرفية.

الفحوص المخبرية والخلوية
بعد الفحوص الشعاعية، تُجرى تحاليل مخبرية تُساعد على دعم التشخيص وتقييم الحالة العامة للمريض قبل العلاج، وتشمل:
- تحليل البلغم: يُستخدم للكشف عن وجود خلايا سرطانية في البلغم، لكن دقّته محدودة في هذا النوع من السرطان لكونه ينشأ عادة في مناطق بعيدة عن المسالك الهوائية الرئيسية.
- التحاليل المخبرية الروتينية: مثل تعداد الدم الكامل واختبارات الكيمياء الحيوية، لتقييم كفاءة الأعضاء واستعداد الجسم للعلاج.
إجراءات أخذ الخزعات النسيجية
يُعتبر فحص النسيج الورمي الطريقة الوحيدة لتأكيد تشخيص سرطان الرئة الغدي بشكل قاطع، إذ يُحلَّل النسيج تحت المجهر لتحديد نوع الخلايا وخصائصها. يمكن الحصول على العينة بعدة طرق، منها:
- الشفط بالإبرة الدقيقة: تُسحب عينة صغيرة من المنطقة المشبوهة باستخدام إبرة رفيعة موجهة بالأشعة.
- تنظير القصبات: يُدخل أنبوب مزوّد بكاميرا عبر الأنف أو الفم لفحص الشعب الهوائية وأخذ عينات من الأنسجة غير الطبيعية.
- تنظير الصدر: يُجرى من خلال شق صغير بين الأضلاع لإدخال منظار مزوّد بكاميرا وأدوات دقيقة لأخذ عينات من الورم أو العقد اللمفاوية.
- إجراءات إضافية مثل تنظير المنصف أو بزل الصدر: تُستخدم لتقييم العقد اللمفاوية داخل الصدر أو لسحب سوائل من جوف الصدر وتحليلها.

الاختبارات الجزيئية
بعد تأكيد التشخيص المجهري، يُجرى تحليل جزيئي للنسيج للكشف عن الطفرات الجينية مثل EGFR وALK وKRAS، تُمكّن هذه التحاليل الأطباء من اختيار العلاج الموجّه أو المناعي الأنسب لكل مريض، وتُعد جزءاً أساسياً من التقييم التشخيصي الحديث لسرطان الرئة الغدي.
مراحل وتصنيف سرطان الرئة الغدي
بعد تأكيد التشخيص النسيجي، يُحدّد الأطباء مرحلة المرض لتقدير مدى انتشاره داخل الرئة وخارجها. يعتمد هذا التصنيف على حجم الورم ومكانه ووجود انتقال إلى العقد اللمفاوية أو الأعضاء البعيدة. يُقسَّم سرطان الرئة الغدي، وهو أحد سرطانات الرئة غير صغيرة الخلايا، إلى خمس مراحل رئيسية تبدأ من الشكل الموضّع جداً وتنتهي بالمرحلة المنتشرة.
المرحلة 0 (السرطان الغدي في موضعه – Adenocarcinoma In Situ)
تُعد هذه المرحلة أبكر أشكال سرطان الرئة الغدي، حيث تبقى الخلايا السرطانية محصورة داخل بطانة الحويصلات الهوائية دون أن تخترق نسيج الرئة العميق أو الأوعية الدموية، لا يتكوّن في هذه المرحلة ورم حقيقي بعد، بل طبقة سطحية من الخلايا غير الطبيعية يمكن استئصالها بسهولة قبل أن تصبح غازية.
يتضمن التصنيف أيضاً شكلًا قريباً يُعرف بـ السرطان الغدي الغازي المحدود (MIA)، وهو مرحلة انتقالية مبكرة جداً يُلاحظ فيها غزو مجهري بسيط لا يتجاوز بضعة مليمترات.
المرحلة الأولى (Stage I)
في هذه المرحلة تبدأ الخلايا السرطانية بغزو نسيج الرئة المحيط وتشكل كتلة صغيرة محصورة داخل الرئة، لكنها لا تمتد إلى العقد اللمفاوية أو الأنسجة المجاورة. يُعد هذا الشكل من المرض ما زال مبكراً، وفرص الشفاء منه مرتفعة جداً عند اكتشافه في هذا الطور.
المرحلة الثانية (Stage II)
يزداد حجم الورم أو يمتد نحو الأنسجة القريبة أو العقد اللمفاوية المجاورة، دون وجود انتشار بعيد إلى الأعضاء الأخرى. تنقسم المرحلة إلى IIA وIIB تبعاً لحجم الورم وعدد العقد المصابة.
المرحلة الثالثة (Stage III)
في هذه المرحلة ينتشر الورم داخل الصدر إلى الأنسجة المجاورة مثل جدار الصدر أو الحجاب الحاجز، أو إلى العقد اللمفاوية في المنصف، ولكن الورم ما يزال محصوراً داخل الصدر ولم ينتقل بعد إلى أعضاء بعيدة، إلا أنه يُعد أكثر تقدّماً من المراحل السابقة من حيث الحجم والانتشار الموضعي.
تُقسم المرحلة إلى 3A و3B و3C بحسب مدى الانتشار داخل الصدر، وتُعد من المراحل المتقدمة موضعياً التي تتطلب تقييماً دقيقاً لتحديد الخطة العلاجية المناسبة.
المرحلة الرابعة (Stage IV)
تمثل المرحلة الأكثر تقدماً، حيث يمتد السرطان إلى الرئة الأخرى أو الأعضاء البعيدة كالكبد والعظام والدماغ، أو يؤدي إلى تجمّع سوائل سرطانية في غشاء الرئة أو حول القلب. تنقسم إلى 4A عندما يكون الانتشار محدوداً، و4B عندما يصيب أكثر من عضو أو منطقة.
يسمح تصنيف المراحل للأطباء بفهم سلوك الورم بدقة، وتقدير مدى انتشاره، ووضع خطة علاجية موجهة تناسب كل حالة، كما يُعدّ من أهم المؤشرات في تقدير الإنذار العام ونسب البقاء على قيد الحياة لدى المرضى.
علاج سرطان الرئة الغدي
تختلف طرق علاج سرطان الرئة الغدي بحسب مرحلة المرض، وحالة المريض العامة، ووجود طفرات جينية محددة في الخلايا السرطانية. في كثير من الأحيان تُستخدم عدة أنواع من العلاج معاً لتحقيق أفضل استجابة ممكنة.
العلاج الجراحي
تُعد الجراحة الخيار العلاجي الأساسي في المراحل المبكرة، وتهدف إلى إزالة الورم بالكامل مع جزء من النسيج السليم المحيط به. تُحدّد طريقة الجراحة وفق حجم الورم وموقعه ووظيفة الرئة، وتشمل:
- استئصال الفص: إزالة الفص المصاب كاملاً، ويُعد الخيار الأكثر شيوعاً.
- الاستئصال الجزئي أو القطعي: يُجرى للمرضى ذوي القدرة التنفسية المحدودة، ويُزال فيه الجزء الذي يحتوي الورم فقط.
- الاستئصال الوتدي: يُستأصل الورم مع هامش صغير من النسيج السليم المحيط به.
- استئصال الرئة الكامل: يُجرى عندما يكون الورم كبيراً أو قريباً من مركز الصدر.
- الاستئصال الكُمّي: تُزال فيه الكتلة مع جزء من القصبة الهوائية، ثم يُعاد وصل الطرفين للحفاظ على وظيفة الرئة.
بعد الجراحة تُفحص العقد اللمفاوية المجاورة تحت المجهر لتحديد مدى انتشار المرض وتأكيد المرحلة بدقة.
العلاج الإشعاعي
يستخدم الإشعاع أشعة عالية الطاقة لتدمير الخلايا السرطانية أو إيقاف نموها، ويمكن أن يُستخدم كبديل للجراحة لدى المرضى غير القادرين على الخضوع لعملية، أو بعد الجراحة لتقليل خطر عودة الورم. من أبرز أنواعه:
- الإشعاع الخارجي: تُوجَّه فيه الأشعة من جهاز خارج الجسم نحو الورم.
- الإشعاع التجسيمي: يركّز جرعات دقيقة على الورم لتقليل الضرر على الأنسجة السليمة.
- الإشعاع الداخلي: تُحقن فيه مادة مشعّة داخل الورم أو بالقرب منه عبر تنظير القصبات.
العلاج الكيماوي
يستخدم أدوية تعمل على قتل الخلايا السرطانية أو تثبيط انقسامها، ويُعطى وريدياً أو عن طريق الفم، يُستخدم في عدة مواقف، منها:
- قبل الجراحة لتقليص حجم الورم
- بعد الجراحة لتقليل احتمال عودة السرطان
- في المراحل المتقدمة للسيطرة على المرض والحد من نموه
قد يُسبب العلاج الكيماوي آثاراً جانبية مؤقتة مثل الغثيان وفقدان الشعر وضعف المناعة، لكنها غالباً ما تكون قابلة للعلاج وتتحسن بعد انتهاء الدورة العلاجية.
العلاج الموجّه
يرتكز على أدوية تستهدف طفرات جينية محددة في الخلايا السرطانية تجعلها تنمو بسرعة غير طبيعية، حيث تعمل هذه الأدوية على تعطيل البروتينات المسببة لنمو الورم دون التأثير الكبير على الخلايا السليمة، ولذلك تكون آثارها الجانبية أخف من العلاج الكيماوي، ويُعد تحليل الطفرات الجينية جزءاً أساسياً من التشخيص الحديث لاختيار الدواء الأنسب لكل مريض.
العلاج المناعي
يهدف إلى تحفيز جهاز المناعة ليتمكن من التعرّف على الخلايا السرطانية ومهاجمتها، تعتمد هذه الأدوية على تثبيط المستقبلات التي تستخدمها الخلايا الخبيثة لتفادي المناعة، وقد أثبتت فعاليتها في المراحل المتقدمة من المرض بتحسين نسب البقاء على قيد الحياة وتقليل احتمال النكس.
العلاج المشترك
في كثير من الحالات، يجمع الأطباء بين الجراحة والعلاج الكيماوي والإشعاعي أو العلاج الموجّه والمناعي ضمن خطة علاجية واحدة متكاملة، يُختار المزيج العلاجي الأنسب بناءً على مرحلة المرض وحالة المريض العامة ونتائج الفحوص الجزيئية.
الوقاية والكشف المبكر عن سرطان الرئة الغدي
رغم أن بعض حالات سرطان الرئة الغدي تنجم عن عوامل وراثية يصعب التحكم بها، إلا أنّ اتباع أسلوب حياة صحي وتجنّب المسببات المعروفة يمكن أن يقلل بشكل كبير من احتمال الإصابة. يُعدّ الإقلاع عن التدخين أهم خطوة وقائية، فالتبغ مسؤول عن معظم حالات سرطان الرئة، كما أن تجنب التدخين السلبي له تأثير وقائي واضح، ويُنصح كذلك بالحد من التعرّض للعوامل البيئية الخطرة مثل غاز الرادون، والأسبستوس، والمواد الكيميائية الصناعية التي تزيد من احتمالية حدوث الطفرات في خلايا الرئة.
يساهم الحفاظ على نمط غذائي متوازن غني بالخضروات والفواكه وممارسة النشاط البدني المنتظم في تعزيز المناعة وتقليل خطر الإصابة بالأورام عموماً. كما يُنصح الأشخاص المعرضون للخطر، ولا سيما المدخنين السابقين، بإجراء فحوص الكشف المبكر باستخدام التصوير المقطعي منخفض الجرعة، إذ يساعد ذلك على اكتشاف المرض في مراحله الأولى قبل أن تظهر الأعراض.
ختاماً، يُعدّ سرطان الرئة الغدي من أكثر أنواع سرطانات الرئة شيوعاً وتعقيداً من حيث الأسباب والأنماط الجينية والاستجابة للعلاج، ومع التطور الطبي الكبير خلال العقد الأخير تحسّنت فرص التشخيص المبكر والعلاج الموجّه والمناعي بشكل لافت، مما انعكس إيجاباً على معدلات البقاء وجودة الحياة لدى المرضى. إنّ تبني أسلوب حياة صحي، والالتزام ببرامج الكشف المبكر، والاستفادة من التقدّم المستمر في علم الأورام، هي عوامل جوهرية في تقليل عبء هذا المرض وتحسين نتائجه المستقبلية.
المصادر:
- Myers, D. J., & Wallen, J. M. (2023, June 12). Lung adenocarcinoma. In StatPearls. NCBI
- Lung Cancer Foundation of America. (n.d.). Adenocarcinoma of the lung.
