إنّ تضيق الإحليل من الحالات البولية الشائعة التي تؤثر سلباً على الحياة والوظيفة البولية وقد يؤدي إهماله إلى احتباس بولي أو التهابات متكررة، حيث تختلف شدة الأعراض ومسار الحالة من مريض لآخر، مما يستدعي تقييماً دقيقاً وخطة علاجية فردية، يعتبر علاج ضيق الإحليل أمراً مهماً في تحسين النتائج السريرية والوقاية من التكرار ولا سيما في حالة علاج ضيق الإحليل الجراحي التي تؤثر بشكل فعال، وأنّ اختيار التوقيت والأسلوب المناسب للتدخل ينعكس بشكل مباشر على فعالية العلاج واستقرار الحالة على المدى الطويل.
ما هو ضيق الإحليل؟
إنّ ضيق الإحليل هو حالة يحدث فيها تضيق في القناة البولية وذلك نتيجة تليّف أو ندبة ناتجة عن إصابة أو التهاب أو تدخل طبي سابق، هذا التضيق يعيق تدفق البول بشكل جزئي أو كامل مما يؤدي إلى أعراض بولية مزعجة ومضاعفات إذا تُرك دون علاج، تُعد الحالة شائعة لدى الذكور، وتتفاوت شدتها حسب موقع الضيق وطوله وسببه الأساسي.
أسباب ضيق الإحليل
تعد أسباب ضيق الإحليل عديدة ومن أهمها:
- الإصابات المباشرة: كالرضوض في العجان أو الحوض.
- الالتهابات المزمنة: خاصةً الناتجة عن العدوى المنقولة جنسياً مثل السيلان.
- الإجراءات الطبية: مثل القسطرة البولية طويلة الأمد أو تنظير المثانة.
- الجراحات البولية السابقة: بما في ذلك جراحات الإحليل أو البروستاتا.
- العيوب الخلقية: في حالات نادرة.
نظراً لتطور الجراحات التنظرية عبر الإحليل التي أصبحت شائعة، قد تترك لنا مضاعفات حيث قد يؤدي مثلا استئصال ورم المثانة عبر الإحليل إلى ضيق الإحليل أو تطوره إن كان موجود. يحدث ذلك خصوصاً عند تكرار الإجراءات التنظيرية عبره إذ قد يحدث احتكاك ميكانيكي بين الأدوات والإحليل أو إصابة الغشاء المخاطي للإحليل.
أعراض ضيق الإحليل
يتظاهر ضيق الإحليل بأعراض سريرية عديدة ومن أهمها:
- ضعف تدفق البول مع تباطؤ واضح في البداية مما يجعل جريان البول ضعيفاً أو متقطعاً
- الإحساس بعدم تفريغ المثانة بالكامل وهذا ما يؤدي إلى رغبة متكررة في التبول
- تقطيع أو تناثر البول والجهد أثناء التبول
- ألم أو حرقة خلال التبول بالإضافة إلى عدوى بولية متكررة
- في الحالات الشديدة قد يحدث احتباس بولي حاد وعودة البول إلى الكلى
تشخيص ضيق الإحليل: كيف يتم تقييم الحالة بدقة؟
يبدأ التقييم السريري بأخذ التاريخ المرضي بدقة مع التركيز على الأعراض البولية أو وجود التهابات متكررة أو إجراءات طبية سابقة مثل القسطرة أو الجراحة، حيث يتبع ذلك فحص سريري لمنطقة العجان وأسفل البطن لتقييم علامات احتباس البول أو الكتلة فوق العانة، ومن أهم الفحوصات المستخدمة للتشخيص:
اختبار Uroflowmetry
يعد أداة أولية بسيطة تقيس معدل تدفق البول إذ يُظهر بطء أو تقطع في التدفق وهو ما يدعم وجود تضيق، يستكمل هذا الفحص بقياس البول المتبقي بعد التبول (PVR) والذي يشير إلى كفاءة إفراغ المثانة ويفيد في تقييم شدة الانسداد.
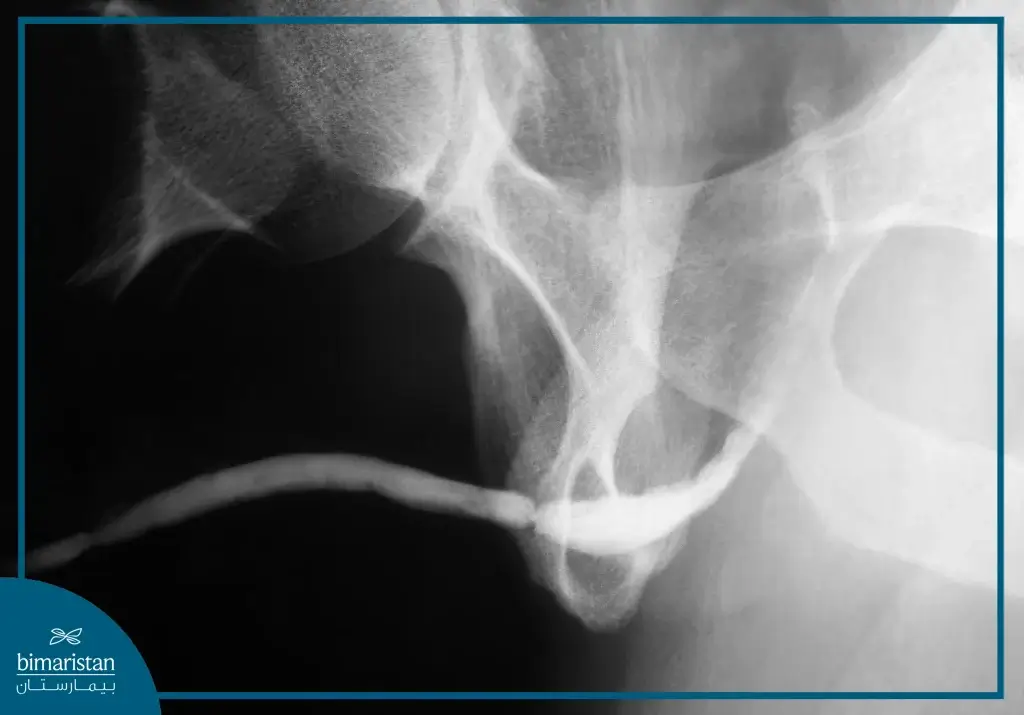
التصوير الشعاعي
يُستخدم التصوير الراجع للإحليل (RUG) كوسيلة أساسية لتحديد موقع وامتداد التضيق بدقة، وعند الحاجة قد يُجرى أيضاً تصوير المثانة أثناء التبول (VCUG) لتقييم التضيقات في الإحليل الخلفي كما في حالات ما بعد إصابات الحوض.

التنظير الداخلي
يوفر تنظير المثانة والإحليل رؤية مباشرة للتضيق وتقييم بنيته الداخلية حيث يفيد بشكل خاص قبل اتخاذ القرار العلاجي.
وسائل التصوير الإضافية
في بعض الحالات قد يستخدم التصوير بالموجات فوق الصوتية للإحليل (Sonourethrography) لتحديد سماكة جدار الإحليل وامتداد التليف، أما في الإصابات المعقدة فتلجأ بعض المراكز إلى استخدام CT أو MRI للحصول على تقييم تشريحي دقيق.
متى يُصبح التدخل الجراحي هو الخيار الأفضل؟
يعتبر التدخل الجراحي، مثل رأب الإحليل (Urethroplasty)، الخيار الأفضل لعلاج ضيق الإحليل الجراحي، خصوصاً بعد فشل الوسائل غير الجراحية، ويوصي الإرشادات السريرية باتباع نهج يبدأ بالخيار الأبسط ويتدرج نحو التدخلات المعقدة اعتماداً على طبيعة التضيق.
الخيارات غير جراحية
في التضيق القصير (<2 سم) غير المتكرر، يتم التوصية أولًا بالتوسيع (Dilation) حيث يتم استخدام موسّع تدريجي لفتح مجرى البول. في في حال عدم فعاليته أو إذا تكرر التضيق، يُستخدم DVIU (Direct Visual Internal Urethrotomy) وهو قطع داخلي تحت الرؤية المباشرة بواسطة منظار، هذه العلاجات تعد محدودة المدى في فعاليتها وخاصةً مع التضيق المتكرر، حيث أظهرت الدراسات أن نسبة النجاح بعد DVIU أو التوسيع تتناقص مع التكرار لتصل إلى أقل من 20% بعد المحاولة الثانية أو الثالثة.
متى يُفضّل التحول للجراحة؟
- عند فشل التوسيع أو DVIU بعد محاولة واحدة أو أكثر
- في وجود تضيق طويل (>2 سم) أو تضيق متكرر رغم العلاج
- إذا كان التضيق معقداً أو متعدداً أو مترافقاً مع تليّف نسيجي
عوامل اختيار التقنية الجراحية
تُحدد طريقة الجراحة تبعاً لعدة أمور ومن أهمها:
- موقع التضيق (أمامي أو خلفي)
- الطول وعدد مرات التكرار
- نوع التليّف والأنسجة المحيطة
- وجود جراحات سابقة
في هذه الحالات تمنح الجراحة المفتوحة نسب نجاح تتجاوز 85–90% مقارنة بالعلاجات المؤقتة السابقة.
الجراحة المفتوحة (open urethroplasty) لعلاج ضيق الإحليل
تعتبر الجراحة المفتوحة (رأب الإحليل) الخط العلاجي الأكثر فعالية للحالات المتقدمة من ضيق الإحليل، خاصةً بعد فشل التوسيع أو القطع الداخلي. تهدف إلى إزالة التضيق واستعادة مرور البول بشكل طبيعي مع تحقيق نسب نجاح مرتفعة.
أنواع الجراحة المفتوحة
من أهم الأساليب المتبعة في رأب الإحليل:
رأب الإحليل النهائي–النهائي (End-to-End Anastomosis)
يُستخدم هذا النوع في حالات التضيق القصير (عادة أقل من 2 سم) في الإحليل الغشائي أو البصلي، حيث يتم استئصال الجزء المتضيّق بالكامل ثم يُعاد توصيل الطرفين السليمين من الإحليل بخياطة دقيقة دون شد. تتصل نسبة النجاح في هذا الإجراء إلى أكثر من 90–95% على المدى الطويل مع مضاعفات محدودة.
رأب الإحليل باستخدام رقعة من الفم (Buccal Mucosal Graft)
تُستخدم هذه التقنية في حالات التضيق الطويل أو المتكرر خاصةً في الإحليل البصلي أو القضيبـي، حيث يُستأصل جزء صغير من الغشاء المخاطي للفم (عادة من باطن الخد) ويُحضّر كرقعة ثم تُزرع الرقعة على الجدار الظهري أو البطني للإحليل حسب تفضيل الجراح وخصائص الحالة، هذه الطريقة تُحقق معدلات نجاح تتراوح بين 85% و95% وتعتبر الخيار الأفضل عندما لا يمكن إجراء استئصال مباشر.
تقنية السديلة الجلدية (Skin Flap Repair)
تُطبّق هذه الطريقة في حالات التلف الواسع لبطانة الإحليل أو وجود تندب معقّد، يتم استخدام سدائل جلدية مدعّمة من جلد القضيب أو العجان حيث يُحافظ على التروية الدموية، وتُشكل مجازاً بولياً بديلاً. غالباً ما تُستخدم هذه التقنية عندما تفشل تقنيات الترقيع أو في حالات الإحليل البولي المعقد الناتج عن التهابات شديدة أو جراحة سابقة. رغم تعقيدها تُظهر النتائج نجاحاً جيداً يتراوح بين 70% و90%.
خطوات العلاج الجراحي
- تقييم ما قبل الجراحة: يتم تحديد موقع وطول التضيق باستخدام التصوير الراجع للإحليل (RUG) وتنظير المثانة لتحديد خطة الجراحة المناسبة.
- تحضير المريض وتخديره: تُجرى العملية تحت تخدير عام أو نخاعي ويتم وضع المريض في وضعية ليثوتومي (Lithotomy).
- شق جراحي دقيق: يُفتح الجلد في منطقة العجان للوصول إلى الجزء المتضيّق.
- تحرير الإحليل من الأنسجة المحيطة: يتم كشف الإحليل وتحريره من الأنسجة المتليفة ثم تقييم مدى التضيق بدقة.
- تنفيذ التقنية المناسبة:
- في رأب الإحليل النهائي–النهائي: يُزال التضيق تماماً ثم يعاد توصيل نهايتي الإحليل السليمتين بدقة
- في رأب الإحليل بالرقعة (BMG): تُؤخذ رقعة من الخد الداخلي وتُثبت على الجدار البطني أو الظهري للإحليل وذلك بحسب حالة التضيق التي يقيمها الطبيب.
- في السديلة الجلدية: يتم تجهيز سديلة جلدية من المنطقة المجاورة وتُطوى على الجزء المتضرر من الإحليل لتوسيع القناة.
- تثبيت قسطرة بولية: تُوضع قسطرة سيليكون بحجم 16–18 French وتبقى لمدة 10–14 يوماً لضمان التئام القناة البولية.
- رعاية ما بعد الجراحة: تشمل المضادات الحيوية مسكنات الألم وتوصيات بالراحة والامتناع عن المجهود الجسدي.، كما يجرى فحص إشعاعي للتأكد من التئام القناة قبل إزالة القسطرة.
المتابعة بعد الجراحة والوقاية من تكرار التضيق
بعد إجراء رأب الإحليل لا ينتهي العلاج عند الجراحة فقط بل تبدأ مرحلة المتابعة لضمان نجاح طويل الأمد حيث تهدف هذه المرحلة إلى التعافي التام وكشف أي مؤشرات للانتكاس والوقاية من تكرار التضيّق.
بروتوكولات المتابعة بعد رأب الإحليل
بعد إجراء الجراحة المفتوحة لعلاج تضيّق الإحليل تبدأ المتابعة الطبية مباشرة بعد إزالة القسطرة البولية والتي يتم تأكيد توقيت إزالتها بناءً على نتيجة الصورة الشعاعية للإحليل للتأكد من شفاء المنطقة وعدم وجود تسرب بولي. يتم يتم إجراء زيارات دورية تبدأ بعد شهر من الجراحة ثم بعد 3 إلى 6 أشهر وتتواصل بشكل سنوي عند الاستقرار. تشمل هذه الزيارات تقييم سريري واختبار تدفق البول (Uroflowmetry) وتحليل البول للكشف عن أي التهاب أو بيلة دموية، كما قد تُجرى صورة شعاعية إضافية أو تنظير مثانة في حال وجود أعراض.
مؤشرات نجاح العملية وعلامات التكرار
يعتبر التدفق البولي الجيد وغياب الأعراض البولية وثبات نتائج الفحوص من أهم مؤشرات نجاح العملية، أما بالنسبة لعلامات تكرار التضيّق فتتضمن ضعف تدفق البول والشعور بعدم تفريغ المثانة بالكامل أو تكرار العدوى البولية. .
استراتيجيات حديثة للوقاية من التكرار
تتجه الأبحاث الحديثة نحو تطبيق أساليب بيولوجية متقدمة لتعزيز شفاء الإحليل وتقليل التندب مثل استخدام الصفائح الدموية الغنية بالبلازما (PRP) والخلايا الجذعية المستخلصة من الأنسجة الدهنية، كما تُستخدم في بعض الحالات موسعات إحليل مغطاة بمركبات دوائية للمساعدة في تقليل التليّف بعد الجراحة، هذه الأساليب لا تزال قيد الدراسة لكنها تُظهر نتائج واعدة في تقليل نسب التكرار على المدى الطويل.
يمثل علاج ضيق الإحليل الجراحي الأساس في استعادة الوظيفة البولية الطبيعية وخاصةً عند فشل الوسائل غير الجراحية مثل التوسيع و DVIU. تُعدتعتبر الجراحة المفتوحة بكل أنواعها الخيار الأكثر فعالية في معظم الحالات، مع نسب نجاح عالية واستقرار طويل الأمد، كما تعتمد نتائج علاج ضيق الإحليل الجراحي على دقة التشخيص واختيار التقنية المناسبة والمتابعة المنتظمة بعد الجراحة. مع تطور الأساليب الحديثة مثل استخدام PRP والخلايا الجذعية تزداد فرص الوقاية من التكرار وتحسين جودة حياة المريض على المدى البعيد.
المصادر:
- Martins, F. E., McAninch, J. W., & Zinman, L. N. (2020). Urethral Strictures. In StatPearls. StatPearls Publishing.
- MedlinePlus. (2022). Urethral stricture. U.S. National Library of Medicine.
