Brain abscess is a serious neurological condition that demands immediate medical attention, with studies indicating that 1–2% of brain infections progress to the point of an abscess, and mortality can reach up to 20% in severe cases. Brain abscess surgery is a crucial, life-saving procedure, achieving 80–90% success rates through modern surgical advancements.
Continued innovations in neurosurgical microsurgery have further lowered post-operative complications to below 15%.
What is a brain abscess?
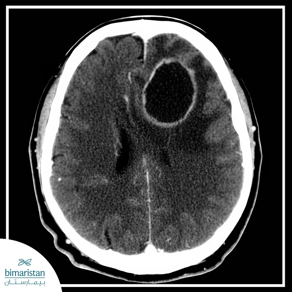
A brain abscess is a purulent collection of pus within the brain tissue, resulting from a bacterial, fungal, or parasitic infection. Although it is considered a rare condition, it is an emergency that requires immediate medical intervention to prevent complications that may be life-threatening.
This condition occurs due to the spread of a bacterial or parasitic infection from areas close to the brain, as in cases of ear infections or sinusitis. It may spread from distant areas through the bloodstream, as in cases of lung infections and bacterial endocarditis.
Its symptoms are fever, severe headache, nausea or vomiting, and neurological symptoms such as weakness and numbness in one side of the body, depending on the location of the abscess in the brain.
In addition to the above, a brain abscess can be superficial or deep, and each of them has symptoms that characterize it, and the method of dealing with it is different, as the superficial abscess is in areas close to the surface of the brain such as the cerebral cortex, and its most important symptoms are localized headaches over the area of the abscess, symptoms of meningeal irritation if it is close to the meninges, and epileptic seizures may occur in some cases, and it is easily drained due to its proximity to the surface.
As for the deep abscess, it is found in the deep areas of the brain, such as in the basal nuclei, brain stem, and others, and is characterized by symptoms depending on the area of its presence, causing involuntary movements and muscle weakness when it affects the basal nuclei, and may cause fainting when found in the brain stem. This abscess is difficult to drain due to its depth, which may cause damage to healthy tissues when attempting to remove it.

When is brain abscess surgery necessary?
The size of brain abscesses varies according to the type of infection, ranging from very small to large abscesses that exceed 3 cm. Large abscesses require surgical intervention to drain them, as they cause pressure on the brain and serious displacement that may be life-threatening.
In addition to that, abscesses near the ventricles are an emergency warning sign that requires emergency surgical intervention, because they can rupture and cause ventriculitis, an inevitably fatal condition if not treated. Brain abscess surgery may be necessary in cases of multiple abscesses, especially if they are large or in critical areas.
How is brain abscess surgery performed?
Brain abscess surgery has multiple methods that can be performed, each with its own characteristics and distinct procedures that distinguish it from the others. The most important methods include imaging-guided needle abscess drainage, open surgery, and endoscopic abscess removal.
Imaging-guided needle drainage
This method is the most common and widely used in brain abscess surgery, as recent studies show that the success of needle drainage is 85% higher than open surgery with fewer complications, because it is a minimally invasive surgery, and relying on it reduces the risk of damage to healthy tissue.
This procedure is performed under general anesthesia, and first a frame called a stereotaxic frame is installed to determine the exact location of the abscess, then a thin needle is inserted through a small opening in the skull, through which the pus is aspirated. The cavity that produced the pus is washed with saline solutions or antibiotics to clean it. Finally, the aspirated pus is sent to bacterial culture to investigate its type and source.
Open surgery
It is used in cases where the surgical abscess is large (greater than 3 cm) and in cases of superficial abscesses, or when there are bone fragments in the abscess, or when drainage with a needle fails, and this surgery is done under general anesthesia, where first a part of the skull is opened and the abscess is completely removed by the surgeon with the surrounding capsule, then the area is washed with antibiotics, and finally the bone is restored and the skull is closed.
This surgery is characterized by a number of possible complications, such as cerebral hemorrhage, brain swelling, or seizures.

Surgical endoscope
It is considered a minimally invasive surgery to treat brain abscesses. It is used in cases of periventricular and skull base abscesses, or in small deep abscesses that are difficult to reach with open or needle surgery. This surgery is performed under general anesthesia,. A small opening is made in the skull with a diameter of 1 – 2 cm. The endoscope is inserted through the opening and the pus is aspirated with washing the cavity with a saline solution or a biosorbent. Finally, the sample is sent for bacterial culture to determine the appropriate antibiotic to administer, and to investigate the type and source of this abscess.
Risks and possible complications after brain abscess surgery
Brain abscess surgery has a wide range of postoperative complications, the most important of which are
- Infection: Some complications resulting from infection, such as meningitis, may occur when the infection spreads to the membranes surrounding the brain. Alternatively, recurrent abscesses may develop if the abscess is not completely removed or if the infection does not respond to antibiotics.
- Bleeding: Brain bleeding may occur during or after surgery, especially in patients with blood-clotting disorders, and blood clots may occur, which may require additional surgical intervention to remove them.
- Brain swelling: A complication that occurs due to irritation of the brain tissue during surgery that may lead to increased intracranial pressure and, in some cases, displacement of the brain, which is directly life-threatening.
- Epileptic seizures: Epileptic seizures are more likely with surgery to remove a brain abscess near the cerebral cortex, and may be temporary or develop into chronic epilepsy.
Success rate of brain abscess surgery
The success rate of surgery to remove a brain abscess depends on the type of surgery, the location of the abscess (abscesses in the brain stem have a higher risk and a lower success rate), whether it is a superficial or deep abscess, as well as the patient’s health status. The average success rate ranges between 75-90%, and drainage using an image-guided needle ranks first as the safest method and the highest success rate, and the rate may decrease significantly when diagnosis and treatment are delayed, so the patient should see a specialist doctor when feeling some symptoms mentioned above to confirm their condition.
Recovery and post-op care
Recovery and full recovery after brain abscess surgery is a gradual process and requires careful medical care and continuous follow-up, as the patient remains in the hospital for 3-10 days after the operation, and spends half of this period in intensive care until his condition stabilizes, then he is transferred to his home, and the doctor follows him either by periodic visits or by calling and talking, and this period lasts for several months, and the patient fully recovers 3-6 months after the operation.
Some warning signs may appear on the patient and require immediate transfer to the hospital, such as the occurrence of high fever, severe headaches that do not respond to painkillers, sudden changes in consciousness, sudden weakness in the limbs and difficulty speaking, or the appearance of new epileptic seizures. When one or more of these symptoms appear, the patient must go to the hospital by ambulance to perform tests and check their condition.
Brain abscess surgery is a vital procedure for saving lives and restoring neurological function, especially with the advancement of minimally invasive surgical techniques. Adhering to preventive protocols and maintaining diligent post-operative monitoring ensures optimal outcomes and minimizes the risk of recurrence. At Bimarestan Medical Center, our expert surgical team provides comprehensive patient care from accurate diagnosis to neurological rehabilitation supported by advanced medical technology, ensuring a safe and speedy recovery.
Sources:
- National Institute of Neurological Disorders and Stroke. (2022). Brain abscess information page.
- American Association of Neurological Surgeons. (2021). Brain abscess surgical treatment options.
