Lung adenocarcinoma is the most prevalent type of lung cancer, accounting for a significant proportion of global cases as reported by the World Health Organization. It occurs in both smokers and non-smokers, and the late appearance of symptoms often leads to diagnosis at advanced stages. Recent advances in diagnostic methods and treatment approaches have improved survival outcomes and enhanced quality of life for patients.
What is lung adenocarcinoma?
Lung adenocarcinoma is the most common type of lung cancer, accounting for nearly 40% of all cases according to US statistics. It belongs to the category of non-small cell lung cancers (NSCLC) and usually arises from the glandular cells that line the small airways and are responsible for mucus secretion. Adenocarcinomas are often located in the outer parts of the lungs, but can sometimes occur in areas of fibrosis or chronic inflammation within the lung tissue.
Although closely associated with smoking, lung adenocarcinoma is also seen in non-smokers, especially among women or younger age groups. This type of cancer is characterized by its relatively slow growth compared to other types, which can lead to delayed detection in many cases. Under the microscope, the cancer cells show clear glandular characteristics that distinguish them from other lung cancers, which is why it is classified as a tumor of glandular origin. This microscopic structure is a key factor in determining the subsequent treatment plan, especially when choosing targeted or immunotherapy.

Causes and risk factors for lung adenocarcinoma
The causes of lung adenocarcinoma are similar to the factors that lead to most other lung cancers, but this type has distinct characteristics in terms of genetic influence and the distribution of incidence among different groups.
1. Smoking
Smoking is the leading cause of lung cancer, accounting for nearly 80% of lung cancer deaths, according to the American Cancer Society. Cigarettes contain thousands of carcinogenic chemicals that mutate lung cells and increase the risk of malignant transformation as the duration and intensity of smoking increase. Despite this strong association, lung adenocarcinoma is the most common type of lung cancer in non-smokers, which distinguishes it from other lung cancers, and can be caused by chronic exposure to tobacco smoke from others (secondhand smoke).
2. Environmental and occupational factors
Continued exposure to pollutants or chemicals such as radon, asbestos, chromium, nickel, tar, soot, and diesel increases the risk of lung adenocarcinoma. Air pollution and vehicle exhaust fumes are also important sources of airborne carcinogens, and studies suggest that arsenic-contaminated drinking water may also contribute to the risk.
3. Age and gender
Lung cancer is generally considered to be a disease of advanced age, with most cases diagnosed after the age of 65; however, lung adenocarcinoma is more common in younger patients than other types of lung cancers, and it is more common in women, even among non-smokers, as statistics show that more than two-thirds of non-smokers with lung cancer are women.
4. Genetic factors and gene mutations
Genetic mutations play a pivotal role in the development of lung adenocarcinoma. Some of the most important mutations are:
- EGFR gene mutation that leads to uncontrolled cell division
- Changes in the p53 gene that are most common in non-small cell lung tumors
- KRAS gene mutation is found in about 20-40% of cases, usually associated with a worse prognosis and limited response to chemotherapy
Some of these mutations may be inherited from a parent, while others are acquired as a result of exposure to environmental factors or randomly for no apparent reason.
5. Other factors
Additional factors include previous exposure to radiation therapy to the chest, previous lung cancer, or a family history of the disease, with the risk increasing by up to 50% in those who have a first-degree relative with lung cancer. Some studies suggest that having HIV or taking beta-carotene supplements in smokers may also increase the risk.
Symptoms of lung adenocarcinoma
Lung adenocarcinoma usually develops in the peripheral parts of the lungs and may remain asymptomatic for a long time, leading to delayed detection in many cases. As the tumor progresses and grows in size, symptoms gradually begin to appear, affecting the respiratory system and the patient’s general condition. Symptoms include the following:
- Chronic cough that doesn’t improve with treatment and may be accompanied by bloody sputum
- Shortness of breath that appears increasingly on exertion or at rest as the condition progresses
- Chest, shoulder, or upper back pain that increases with deep breathing or coughing
- Hoarseness or wheezing during breathing as a result of the airways being affected
- Persistent fatigue and general impairment in daily activity
- Loss of appetite and unexplained weight loss
- Swelling of the face or neck veins due to tumor pressure on large blood vessels
These signs may be mild or nonspecific in the early stages, making diagnosis a challenge that requires careful testing and a chest x-ray to confirm the presence of a tumor.
Diagnosis of lung adenocarcinoma
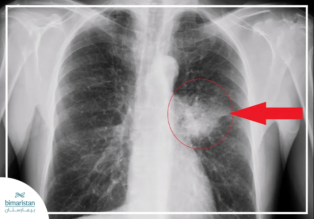
In many cases, lung adenocarcinoma is discovered accidentally during a chest X-ray for reasons unrelated to cancer. The X-ray image may show an indistinct shadow or an abnormal area of lung tissue. Although radiography is a useful initial tool, about a quarter of lung cancer cases may not be detected by X-ray alone, requiring more accurate tests to confirm the diagnosis.
Imaging examinations
Imaging is the first step in evaluating a suspected disease, helping to determine where the tumor is located and how far it has spread into and out of the lungs. The most important tests include the following:
- CT scan: This is the most commonly used method for detecting and characterizing small tumors or masses within the lungs with high accuracy.
- Magnetic Resonance Imaging (MRI): Used to evaluate the extension of the tumor to the brain, spinal cord, or nearby tissues.
- Positron emission tomography: Shows elevated metabolic activity in tumor cells and helps determine the extent of disease spread.
- Chest X-ray: Used as an initial test, but may not show small or peripheral tumors.

Laboratory and cellular tests
After radiological examinations, laboratory tests help support the diagnosis and assess the patient’s general condition prior to treatment, including:
- Sputum analysis: It is used to detect cancer cells in sputum, but its accuracy is limited in this type of cancer because it often originates in areas far from the main airways.
- Routine lab tests: A complete blood count and biochemical tests are performed to assess organ function and the body’s readiness for treatment.
Tissue biopsy procedures
The only way to definitively confirm a diagnosis of lung adenocarcinoma is to examine the tumor tissue, which is analyzed under a microscope to determine its type and characteristics. The sample can be obtained in several ways, including:
- Fine-needle aspiration: A small sample is obtained from the suspicious area using a thin, radiation-guided needle.
- Bronchoscopy: A tube with a camera is inserted through the nose or mouth to examine the airways and take samples of abnormal tissue.
- Thoracoscopy: A small incision is made between the ribs to insert a scope with a camera and precision instruments to take samples from the tumor or lymph nodes.
- Additional procedures such as mediastinoscopy or thoracentesis: These are used to evaluate chest lymph nodes or to obtain fluid from the chest cavity for analysis.

Molecular tests
After confirming the microscopic diagnosis, molecular analysis of the tissue is performed to detect gene mutations in EGFR, ALK, and KRAS. These analyses enable doctors to choose either targeted or immunotherapy for each patient and are an essential part of the modern diagnostic evaluation of lung adenocarcinoma.
Stages and classification of lung adenocarcinoma
After confirming the histologic diagnosis, doctors stage the disease to assess how far it has spread into and out of the lungs. This classification is based on tumor size and location, and on the presence of metastasis to lymph nodes or distant organs. Lung adenocarcinoma, a non-small cell lung cancer, is divided into five main stages, from highly localized to metastatic.
Stage 0 (Adenocarcinoma In Situ)
This stage is the earliest form of lung adenocarcinoma, where cancer cells remain confined within the lining of the alveoli without penetrating the deep lung tissue or blood vessels. At this stage, an actual tumor has not yet formed; rather, a superficial layer of abnormal cells can be easily removed before it becomes invasive.
The classification also includes a related form known as minimally invasive adenocarcinoma (MIA), which is a very early transitional stage in which microscopic invasion is observed as little as a few millimeters.
Stage I
At this stage, the cancer cells begin to invade the surrounding lung tissue and form a small mass confined to the lung, but not spreading to the lymph nodes or neighboring tissues. This form of the disease is considered early, and the chances of recovery are very high when detected at this stage.
Stage II
The tumor increases in size or spreads to nearby tissues or lymph nodes, but not to distant organs. The stage is divided into IIA and IIB based on tumor size and the number of affected nodes.
Stage III
In this stage, the intrathoracic tumor has spread to adjacent tissues such as the chest wall or diaphragm, or to the lymph nodes in the mediastinum, but the cancer is still confined to the chest and has not yet spread to distant organs. This stage is more advanced than the previous ones in terms of size and local spread.
The stage is divided into 3A, 3B, and 3C according to the extent of intrathoracic spread and is considered locally advanced, requiring careful evaluation to determine the appropriate treatment plan.
Stage IV
This is the most advanced stage, in which the cancer spreads to the other lung or to distant organs such as the liver, bones, and brain, or leads to the accumulation of cancerous fluid in the lung membrane or around the heart. It is divided into 4A when the spread is limited, and 4B when it affects more than one organ or area.
Staging allows doctors to accurately understand the behavior of the tumor, estimate the extent of its spread, develop a personalized treatment plan, and is one of the most important indicators in estimating the overall prognosis and survival rates of patients.
Lung adenocarcinoma treatment
Lung adenocarcinoma treatment methods vary depending on the stage of the disease, the patient’s general condition, and the presence of specific genetic mutations in the tumor cells. Often, several types of treatment are used together to achieve the best possible response.
Surgical treatment
Surgery is the primary treatment option in the early stages and aims to remove the entire tumor along with a portion of the surrounding healthy tissue. The method of surgery is determined by the size and location of the tumor and lung function, and includes:
- Lobectomy: Removing the entire affected lobe is the most common option.
- Segmentectomy (or partial resection): For patients with limited respiratory capacity, only the part containing the tumor is removed.
- Wedge resection: The tumor is removed with a small margin of surrounding healthy tissue.
- Pneumonectomy: Performed when the tumor is large or close to the center of the chest.
- Sleeve resection: The mass is removed along with part of the trachea, and then the two ends are reattached to preserve lung function.
After surgery, neighboring lymph nodes are examined under a microscope to determine the extent of the disease and confirm the exact stage.
Radiation therapy
Radiation uses high-energy beams to destroy cancer cells or stop their growth. It can be used as an alternative to surgery in patients who are unable to undergo an operation, or after surgery to reduce the risk of tumor recurrence. Some of the most common types are:
- External radiation: Radiation from a machine outside the body is directed toward the tumor.
- Stereotactic body radiotherapy (SBRT): This method delivers precise doses to the tumor while minimizing damage to healthy tissue.
- Internal radiation: A radioactive material is injected into or near the tumor through bronchoscopy.
Chemotherapy
It uses drugs that work to kill cancer cells or inhibit their division, given intravenously or orally, and is used in several situations, including:
- Before surgery to shrink the tumor
- After surgery to reduce the likelihood of cancer recurrence
- In advanced stages, to control the disease and limit its growth
Chemotherapy may cause temporary side effects such as nausea, hair loss, and weakened immunity, but these side effects often improve after the course of treatment.
Targeted therapy
It is based on drugs that target specific genetic mutations in cancer cells that drive abnormal growth, as these drugs work by disrupting the proteins that drive tumor growth without significantly affecting healthy cells, so their side effects are milder than those of chemotherapy. Genetic mutation analysis is an essential part of modern diagnosis, helping select the most appropriate drug for each patient.
Immunotherapy
Aimed at stimulating the immune system to recognize and attack cancer cells, these drugs rely on inhibiting receptors that malignant cells use to evade the immune system and have proven effective in advanced stages of the disease, improving survival rates and reducing the likelihood of relapse.
Combined treatment
In many cases, doctors combine surgery, chemotherapy, radiation, targeted therapy, and immunotherapy into a single integrated treatment plan, selecting the most appropriate combination based on the stage of the disease, the patient’s general condition, and molecular test results.
Prevention and early detection of lung adenocarcinoma
Although some cases of lung adenocarcinoma are caused by genetic factors that are difficult to control, leading a healthy lifestyle and avoiding known triggers can significantly reduce the likelihood of developing the disease. Quitting smoking is the most important preventive step, as tobacco is responsible for most cases of lung cancer. Avoiding secondhand smoke has a clear protective effect, and it is also recommended to limit exposure to hazardous environmental factors, such as radon gas, asbestos, and industrial chemicals, which increase the likelihood of mutations in lung cells.
Maintaining a balanced diet rich in vegetables and fruits, along with regular physical activity, can help boost immunity and reduce the overall risk of tumors. People at risk, especially former smokers, are also advised to undergo early detection screenings using low-dose computed tomography (CT), as this helps to detect the disease in its early stages before symptoms appear.
In conclusion, lung adenocarcinoma remains one of the most common and complex forms of lung cancer, characterized by diverse causes, genetic variations, and variable treatment responses. Over the past decade, advances in medical science have significantly expanded opportunities for early detection, targeted therapy, and immunotherapy, leading to improved survival rates and enhanced quality of life for patients. Maintaining a healthy lifestyle, participating in early screening programs, and benefiting from ongoing innovations in oncology are essential strategies to reduce the burden of this disease and achieve better future outcomes.
Sources:
- Myers, D. J., & Wallen, J. M. (2023, June 12). Lung adenocarcinoma. In StatPearls. NCBI
- Lung Cancer Foundation of America. (n.d.). Adenocarcinoma of the lung.
