يُعدّ الكشف المبكر عن سرطان الرئة خطوة حاسمة لإنقاذ الأرواح، إذ تشير الدراسات إلى أن معظم حالات الإصابة تُكتشف في مراحل متقدمة يصعب فيها العلاج، ومع ذلك فإن اكتشاف المرض مبكراً يمنح المريض فرصة أكبر للشفاء الكامل واستعادة نوعية حياته.
تُظهر الإحصائيات العالمية أن الكشف المبكر عن سرطان الرئة عبر الفحوص المنتظمة يمكن أن يخفض معدّل الوفيات بنحو 20%، مما يجعل الفحص الوقائي ضرورة طبية لا يمكن تجاهلها خاصة لدى الفئات الأكثر عرضة للإصابة.
لماذا يُعد الكشف المبكر عن سرطان الرئة ضرورياً؟
يُعد الكشف المبكر عن سرطان الرئة الوسيلة الأهم لاكتشاف الورم في مرحلة يمكن علاجها بنجاح قبل أن ينتشر إلى الأعضاء الأخر، فغالبية الحالات تُكتشف عادة بعد ظهور الأعراض حين يكون المرض قد وصل إلى مرحلة متقدمة يصعب فيها الشفاء الكامل.
يسمح الفحص المبكر للطبيب برصد أي تغيّرات دقيقة في نسيج الرئة قبل تحوّلها إلى سرطان متقدم، ما يمنح المريض فرصة أكبر للعلاج الجراحي أو الإشعاعي أو الدوائي بفعالية أعلى. كما تشير التجارب السريرية إلى أن برامج التحري المنتظمة تجعل غالبية الحالات المكتشفة في المراحل الأولى، وهو ما ينعكس بشكل واضح على معدّل البقاء على قيد الحياة وتحسين نتائج العلاج.
كيف يتم الكشف المبكر عن سرطان الرئة؟
يُعدّ فحص سرطان الرئة بالتصوير المقطعي منخفض الجرعة (LDCT) الطريقة الوحيدة الموصى بها عالمياً للكشف المبكر عن سرطان الرئة. يعتمد هذا الفحص على استخدام جرعة منخفضة من الأشعة السينية لالتقاط صور دقيقة للرئتين، مما يسمح باكتشاف الأورام الصغيرة قبل ظهور الأعراض. يتميز الفحص بأنه سريع وغير مؤلم، ويُجرى في غضون دقائق معدودة فقط.
فحص سرطان الرئة بالتصوير المقطعي منخفض الجرعة (LDCT)
خلال فحص الـLDCT، يستلقي المريض على طاولة متحركة تمر عبر جهاز الأشعة المقطعية الذي يلتقط سلسلة من الصور للرئتين بجرعة إشعاع منخفضة مقارنة بالفحوص التقليدية. يقوم الحاسوب بعد ذلك بتجميع الصور لتشكيل مشهد تفصيلي يمكّن الأطباء من اكتشاف أي عقد أو أورام صغيرة جداً.
أظهرت الدراسات الكبرى مثل التجربة الوطنية لفحص الرئة أنّ استخدام التصوير المقطعي منخفض الجرعة سنوياً يقلل من خطر الوفاة بسرطان الرئة بنسبة تتراوح بين 15% و 20% لدى المدخنين الحاليين أو السابقين. كما بينت الأبحاث أنّ هذا الفحص أكثر دقة من الأشعة السينية التقليدية في اكتشاف الأورام المبكرة، مما يزيد فرص نجاح العلاج.

من هم الأشخاص الذين يُنصح لهم بإجراء فحص سرطان الرئة؟
توصي الهيئة الأمريكية للوقاية بإجراء فحص سرطان الرئة سنوياً بالتصوير المقطعي منخفض الجرعة للأشخاص الذين تتوافر لديهم الشروط التالية:
- الأشخاص الذين يدخنون حالياً أو توقفوا عن التدخين خلال السنوات الخمسة عشر الماضية؛ لأن خطر الإصابة بسرطان الرئة يبقى مرتفعاً خلال هذه الفترة حتى بعد التوقف عن التدخين
- لديهم تاريخ طويل في التدخين لا يقل عن 20 عاماً بمعدل علبة سجائر واحدة يومياً أو ما يعادلها
- تتراوح أعمارهم بين 50 و 80 عاماً
ويُنصح كذلك بالنظر في إجراء الفحص للأشخاص الذين:
- لديهم تاريخ عائلي للإصابة بسرطان الرئة
- خضعوا سابقاً لعلاج من سرطان الرئة قبل أكثر من خمس سنوات
- لديهم تعرض مهني طويل للأسبستوس أو الملوثات الهوائية الصناعية
- يعانون من أمراض رئوية مزمنة مثل داء الانسداد الرئوي المزمن (COPD)
لا يُنصح بالفحص عادةً لمن لديهم أمراض خطيرة في القلب أو الرئتين تجعلهم غير مؤهلين للجراحة أو غير قادرين على تحمّل الإجراءات اللاحقة، مثل من يحتاجون إلى أوكسجين دائم أو يعانون من فقدان وزن شديد أو سعال دموي حديث.
كيفية الاستعداد لفحص سرطان الرئة بالتصوير المقطعي منخفض الجرعة
لا يتطلّب فحص سرطان الرئة بالتصوير المقطعي منخفض الجرعة (LDCT) أي تحضيرات معقدة، وهو من الفحوص السريعة والآمنة. فيما يلي أهم النقاط التي يُستحسن مراعاتها قبل الموعد:
- يمكن تناول الطعام والشراب كالمعتاد قبل الفحص، فلا حاجة للصيام
- يُستحسن إبلاغ الطبيب أو فني الأشعة في حال وجود حمل أو اشتباه بالحمل لتقييم الحاجة للفحص
- لا حاجة لاستخدام إبر أو مواد ظليلة (صبغات)، لأن الفحص يُجرى دون حقن أو تناول أي مواد
- يُستحسن أن يُحضِر المريض صور الأشعة السابقة للرئتين إن وُجدت، ليتمكن الطبيب من مقارنتها مع النتائج الجديدة
- يُفضَّل ارتداء ملابس مريحة خالية من الأزرار المعدنية أو السحّابات، وإزالة أي مجوهرات أو معادن من منطقة الصدر والرقبة
يُعد هذا الفحص آمناً لمعظم المرضى، وتقتصر مخاطره على جرعة إشعاع منخفضة جداً لا تتجاوز جزءاً بسيطاً من الجرعة المستخدمة في الفحوص المقطعية التقليدية.
ماذا يحدث أثناء فحص سرطان الرئة بالتصوير المقطعي منخفض الجرعة؟
عند وصول المريض إلى قسم الأشعة، يُطلب منه خلع أي مجوهرات أو أشياء معدنية وارتداء ثوب الفحص المخصص. بعد ذلك يُرافقه فني الأشعة إلى غرفة الجهاز، حيث يظهر أمامه جهاز كبير دائري الشكل يشبه الحلقة، وهو جهاز التصوير المقطعي منخفض الجرعة.
يُطلب من المريض الاستلقاء على طاولة مسطّحة تنزلق ببطء داخل الجهاز. وخلال التصوير، تتحرك الطاولة للأمام والخلف بينما تدور أنبوبة الأشعة حول الصدر لتُرسل حزماً دقيقة من الأشعة من زوايا مختلفة. يقوم الجهاز بالتقاط هذه الإشعاعات وتحويلها إلى صور مقطعية تفصيلية للرئتين تُظهر أصغر التغيرات أو العقد.
يُوجّه الفني المريض عبر مكبّر الصوت ويطلب منه حبس أنفاسه لبضع ثوانٍ حتى تكون الصور واضحة تماماً. لا يشعر المريض بأي ألم أو انزعاج أثناء الفحص، ويُسمع فقط صوت دوران خفيف للجهاز. تستغرق عملية التصوير أقل من خمس دقائق، بينما قد تمتد الزيارة الكاملة إلى نحو نصف ساعة مع التحضير والدخول والخروج.
بعد الانتهاء يمكن للمريض مغادرة المركز فوراً ومتابعة نشاطه اليومي بشكل طبيعي. يقوم اختصاصي الأشعة لاحقاً بتحليل الصور وإرسال تقرير مفصّل إلى الطبيب المعالج الذي يراجع النتيجة مع المريض ويحدّد خطة المتابعة المناسبة.

تفسير نتائج فحص سرطان الرئة بالتصوير المقطعي منخفض الجرعة
بعد إجراء فحص التصوير المقطعي منخفض الجرعة، يقوم اختصاصي الأشعة بتحليل الصور بدقة، وتُرسل النتيجة إلى الطبيب المعالج الذي يناقشها مع المريض لتحديد الخطوات التالية. تختلف نتائج الفحص باختلاف ما يظهر في صور الرئتين، ويمكن تلخيصها في الحالات التالية:
1. لا توجد شذوذات في الرئة
عندما لا يُكتشف أي تغيّر أو كتلة مشبوهة، تعتبر النتيجة طبيعية ولا تتطلّب أي تدخل إضافي. يوصى في هذه الحالة بإعادة الفحص سنوياً، طالما استمرّ المريض ضمن الفئة التي تُعدّ عالية الخطورة (مثل المدخنين أو من أقلعوا عن التدخين خلال 15 سنة). قد يُوقف الفحص الدوري لاحقاً إذا أصبح الخطر منخفضاً أو ظهرت أمراض أخرى تحدّ من الفائدة الطبية للفحص.
2. اكتشاف عُقيدات رئوية صغيرة
يُعدّ ظهور عقيدة رئوية صغيرة (Lung Nodule) من النتائج الشائعة جداً، وتُرصد لدى نحو نصف الأشخاص الذين يخضعون للفحص. غالبية هذه العقيدات غير سرطانية، وقد تمثل بقايا التهابات قديمة أو تليّفات بسيطة في نسيج الرئة. في هذه الحالة، لا يُتخذ إجراء فوري، بل يُوصى بإعادة الفحص بعد فترة تتراوح بين 3 إلى 12 شهراً لمراقبة حجم العقدة والتأكد من ثباتها.
إذا بقيت ثابتة الحجم، تُعتبر سليمة، أما إذا أظهرت زيادة تدريجية في الحجم، فقد يوصي الطبيب بإجراء فحوص إضافية مثل:
- تصوير مقطعي متقدم لتقييم النمو بدقة
- فحص PET-CT لتمييز النشاط الخلوي
- خزعة رئوية لأخذ عيّنة وتحليلها في المختبر عند الشك القوي بالسرطان
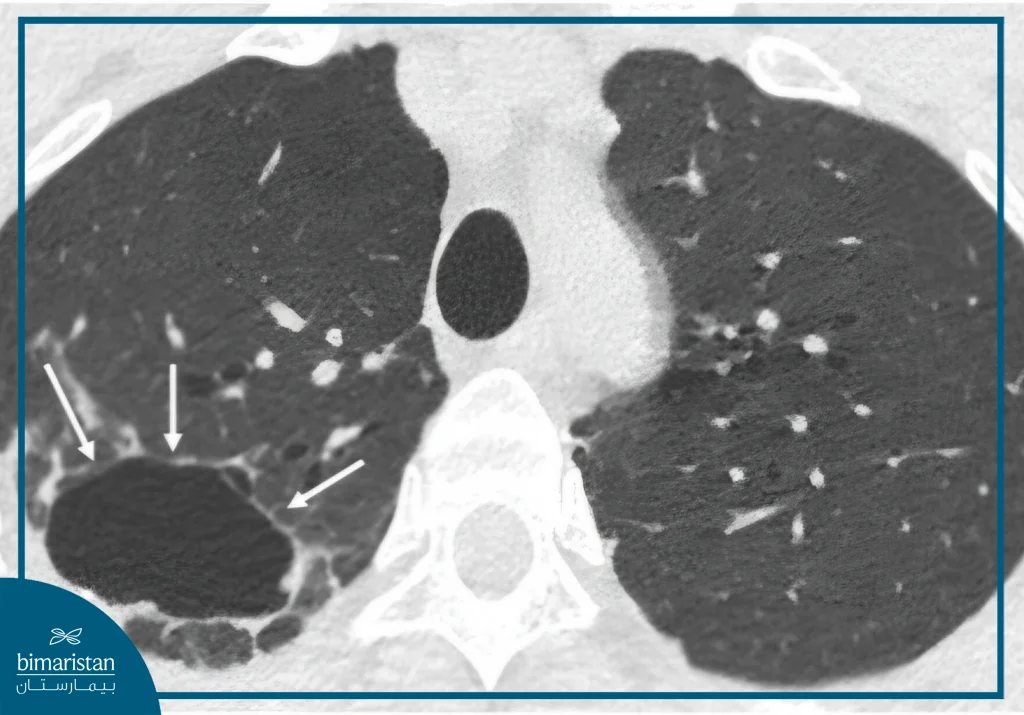
3. وجود عُقيدة رئوية كبيرة أو تغيرات مشبوهة
عندما تكشف الصور عن عُقيدة رئوية كبيرة أو كتلة ذات خصائص توحي بالسرطان (مثل عدم انتظام الحواف أو زيادة الكثافة)، يُحال المريض إلى اختصاصي أمراض الصدر أو الأورام لإجراء تقييم مفصل وخطة تشخيصية تشمل الخزعة أو الفحوص المتقدمة. كلما كان الاكتشاف في مرحلة مبكرة، زادت فرص نجاح العلاج واستئصال الورم بالكامل.

4. اكتشاف مشكلات صحية أخرى
في بعض الأحيان، يكشف الفحص عن حالات أخرى غير سرطانية لكنها مهمة طبياً، مثل:
- النُفاخ الرئوي
- ندبات أو التهابات مزمنة في الرئة
- تكلسات أو تصلب في شرايين القلب
ينبغي في هذه الحالات مناقشة النتائج مع الطبيب لتحديد ما إذا كانت تستدعي تقييماً إضافياً أو علاجاً وقائياً.
المتابعة بعد الفحص
- إذا كانت النتيجة طبيعية، يُوصى بإعادة الفحص بعد سنة واحدة كجزء من المتابعة الدورية
- إذا وُجدت عقدة صغيرة، يُحدَّد موعد الفحص التالي حسب حجمها وخصائصها (عادة بعد 3 أو 6 أو 12 شهراً)
- في حال الاشتباه بورم أو تغير غير طبيعي، تُجرى الفحوص المتقدمة ويُحوَّل المريض إلى اختصاصي
يُعتبر هذا النظام من المتابعة الدقيقة أحد أهم أسباب انخفاض معدلات الوفيات بسرطان الرئة بين الأشخاص الذين يجرون فحص التصوير المقطعي منخفض الجرعة بانتظام.
المخاطر والتحديات المحتملة للكشف المبكر عن سرطان الرئة
رغم أن فحص سرطان الرئة بالتصوير المقطعي منخفض الجرعة أثبت فعاليته في تقليل الوفيات الناتجة عن سرطان الرئة، إلا أنه لا يخلو من بعض المخاطر التي يجب معرفتها قبل اتخاذ قرار إجراء الفحص.
1. التعرض للإشعاع
يُعرّض الفحص المريض إلى جرعة منخفضة جداً من الإشعاع، تعادل تقريباً نصف كمية الإشعاع الطبيعي التي يتعرض لها الإنسان من البيئة خلال عام واحد، ورغم أن الخطر الناتج عن هذه الجرعة ضئيل للغاية، إلا أن تكرار الفحص سنوياً قد يؤدي إلى تراكم بسيط للإشعاع، ولهذا يُوصى به فقط لمن لديهم احتمال مرتفع للإصابة بالسرطان بحيث تفوق فوائده أي مخاطر محتملة.
2. النتائج الإيجابية الكاذبة
قد تُظهر الصور وجود عُقيدة رئوية أو تغير غير طبيعي، بينما لا يكون هناك سرطان فعلي، تُعرف هذه الحالة باسم النتيجة الإيجابية الكاذبة وغالباً ما تتطلب فحوصاً إضافية (مثل خزعة أو فحص PET-CT)، ورغم أن هذه الإجراءات تساعد في التأكد من التشخيص إلا أنها قد تسبب قلقاً نفسياً أو مضاعفات بسيطة لدى بعض المرضى.
3. التشخيص الزائد (Overdiagnosis)
قد يكتشف الفحص أوراماً صغيرة جداً أو بطيئة النمو لن تُسبب أعراضاً أو خطراً خلال حياة المريض، إلا أن اكتشافها قد يؤدي إلى علاجات غير ضرورية تتضمن جراحة أو علاجاً إشعاعياً. لذلك من الضروري أن يتم اتخاذ القرار بإجراء الفحص ضمن استشارة طبية متكاملة لتحديد مدى الفائدة مقابل المخاطر لكل حالة على حدة.
4. النتائج السلبية الكاذبة
في حالات نادرة، قد لا يظهر الورم في الصور رغم وجوده فعلاً، وتُعرف هذه الحالة بـ النتيجة السلبية الكاذبة. قد تؤدي هذه النتيجة إلى تأخر التشخيص والعلاج إذا ظهرت لاحقاً أعراض لم يُؤخذ بها بجدية بسبب الفحص السابق.
5. الأثر النفسي والشعور بالذنب
قد يشعر بعض المرضى، خصوصاً من لديهم تاريخ طويل مع التدخين، بالذنب أو اللوم الذاتي عند إجراء الفحص أو انتظار النتيجة، فمن المهم التذكير بأن سرطان الرئة لا يرتبط بالتدخين وحده، وأن إجراء الفحص خطوة شجاعة تساهم في الوقاية وإنقاذ الحياة. خلال الفحص، قد يناقش الطبيب مع المريض أيضاً خطط الإقلاع عن التدخين ويقدّم المساعدة المناسبة.
متى يجب إيقاف فحص سرطان الرئة؟
توصي الهيئة الأمريكية للوقاية بإيقاف الفحص السنوي عندما:
- يبلغ المريض 81 عاماً
- يكون قد توقف عن التدخين منذ أكثر من 15 سنة
- تظهر لديه أمراض مزمنة خطيرة تجعل الجراحة أو العلاج غير ممكنين
برامج الكشف المبكر عن سرطان الرئة حول العالم
اعتمدت العديد من الدول المتقدمة خلال السنوات الأخيرة برامج وطنية للكشف المبكر عن سرطان الرئة باستخدام فحص التصوير المقطعي منخفض الجرعة ، بعد أن أثبتت الدراسات العالمية مثل تجربة National Lung Screening Trial الأمريكية قدرته على تقليل الوفيات لدى الأشخاص الذين يُصنَّفون ضمن الفئات عالية الخطورة. تُنفَّذ هذه البرامج حالياً في دول مثل الولايات المتحدة، وكندا وألمانيا واليابان وفرنسا ضمن بروتوكولات طبية دقيقة تحدد الفئات المستهدفة ووتيرة الفحص والمتابعة السنوية.
في تركيا، توفّر المراكز المتقدمة إمكانات متطورة لإجراء هذا النوع من الفحوص بأجهزة حديثة ذات دقة عالية وإشعاع منخفض، مع فرق طبية مختصة في الأمراض الصدرية والأورام، كما يُساعد مركز بيمارستان الطبي المرضى على الوصول إلى هذه المراكز، ويقدّم استشارات متخصصة لتقييم الحاجة إلى الفحص ومتابعة النتائج وفق أحدث الإرشادات العالمية.
في الختام، يُسهم الكشف المبكر عن سرطان الرئة في تقليل معدلات الوفيات عبر اكتشاف الأورام في مراحلها الأولى عندما يكون العلاج أكثر فاعلية، ويُعدّ التصوير المقطعي منخفض الجرعة الوسيلة الأدق والأكثر أماناً لتحقيق ذلك، إذ يتيح رصد التغيرات الدقيقة في الرئة قبل ظهور الأعراض، مما يجعل الالتزام بالفحص المنتظم والمتابعة الطبية الدورية خطوة أساسية للحفاظ على الصحة وزيادة فرص الشفاء.
المصادر:
- Centers for Disease Control and Prevention. (2025). Lung cancer screening. U.S. Department of Health & Human Services.
- National Health Service. (2024). Lung cancer screening. NHS.
