Early detection of lung cancer is a crucial step in saving lives, as studies show that most cases are detected at an advanced stage where treatment is difficult, but early detection gives the patient a greater chance at a full recovery and restoring their quality of life.
Global statistics show that early detection of lung cancer through regular screenings can reduce the mortality rate by about 20%, making preventive screening a medical necessity that cannot be ignored, especially in high-risk groups.
Why is early detection of lung cancer important?
Early detection of lung cancer is the most important means of detecting the tumor at a stage that can be successfully treated before it spreads to other organs, as most cases are usually detected after the onset of symptoms, when the disease has reached an advanced stage that is difficult to fully recover.
Early screening allows the doctor to detect subtle changes in lung tissue before they turn into advanced cancer, giving the patient a greater chance of more effective surgical, radiation, or drug treatment. Clinical trials indicate that regular screening programs catch the majority of cases in the early stages, which has a significant impact on survival and improved treatment outcomes.
How is early detection of lung cancer done?
Low-dose computed tomography (LDCT) lung cancer screening is the only globally recommended method for early detection of lung cancer. It uses low-dose X-rays to create precise images of the lungs, allowing small tumors to be detected before symptoms appear. The test is quick and painless, and is performed in just a few minutes.
Low-dose computed tomography (LDCT) lung cancer screening
During an LDCT scan, the patient lies on a moving table and passes through a CT scanner that takes a series of images of the lungs with a low radiation dose compared to traditional scans. A computer then stitches the images together to form a detailed view that enables doctors to detect any very small nodules or tumors.
Large studies such as the National Lung Screening Trial have shown that using a low-dose CT scan annually reduces the risk of dying from lung cancer by 15% to 20% in current or former smokers. Research has also shown that it is more accurate than traditional X-rays in detecting early tumors, increasing the chances of successful treatment.

Who is recommended for lung cancer screening?
The U.S. Preventive Services Task Force recommends annual low-dose CT lung cancer screening for people who meet the following conditions:
- People who currently smoke or have stopped smoking within the past 15 years, because the risk of lung cancer remains high during this period, even after smoking cessation
- Have a long smoking history of at least 20 years with an average of one pack of cigarettes per day or equivalent
- Between the ages of 50 and 80
It is also recommended to consider screening for people who:
- Have a family history of lung cancer
- Previously treated for lung cancer more than five years ago
- Have long occupational exposure to asbestos or industrial air pollutants
- Have a chronic lung disease such as chronic obstructive pulmonary disease (COPD)
Screening is usually not recommended for people who have serious heart or lung disease that makes them ineligible for surgery or unable to tolerate subsequent procedures, such as those who need constant oxygen or have severe weight loss or a recent bloody cough.
How to prepare for low-dose CT lung cancer screening
Low-dose computed tomography (LDCT) lung cancer screening doesn’t require any complicated preparations and is a quick and safe test. Here are the most important points to keep in mind before your appointment:
- You can eat and drink as usual before the test; there is no need to fast
- It is advisable to inform the doctor or radiologist in case of pregnancy or suspected pregnancy to assess the need for screening
- There is no need to use needles or dyes, as the test is performed without injecting or ingesting any substances
- It is advisable for the patient to bring previous scans of the lungs, if available, so that the doctor can compare them with the new results
- Wear comfortable clothing without metal buttons or zippers, and remove any jewelry or metal from the chest and neck area
This test is safe for most patients, and the risks are limited to a very low radiation dose that is only a fraction of the dose used in conventional CT scans.
What happens during a low-dose CT scan for lung cancer?
When the patient arrives at the radiology department, they are asked to remove any jewelry or metal objects and put on a customized examination gown. The radiologist then escorts them to the machine room, where a large, circular, ring-shaped device, a low-dose CT scanner, is placed in front of them.
The patient is asked to lie on a flat table that slowly slides into the machine. During the scan, the table moves back and forth as the radiation tube rotates around the chest, sending tiny beams of radiation from different angles. The machine captures these beams and converts them into detailed cross-sectional images of the lungs that show even the smallest changes or nodules.
The technician directs the patient through the loudspeaker and asks them to hold their breath for a few seconds so that the images are crystal clear. The patient does not feel any pain or discomfort during the scan, and only the gentle rotation of the machine is heard. The imaging process takes less than five minutes, while a full visit can take up to half an hour with preparation, entry, and exit.
After completion, the patient can leave the center immediately and resume normal daily activities. The radiologist will then analyze the images and send a detailed report to the treating physician, who will review the results with the patient and determine the appropriate follow-up plan.

Interpreting low-dose CT lung cancer screening results
After a low-dose CT scan, the radiologist thoroughly analyzes the images, and the results are sent to the treating physician, who discusses them with the patient to determine the next steps. The results of the scan vary depending on what appears on the images of the lungs, and can be summarized as follows:
1. No lung abnormalities
When no change or suspicious mass is detected, the result is considered normal and does not require any further intervention. In this case, annual re-screening is recommended, as long as the patient remains in a high-risk category (e.g., smokers or those who have quit smoking within 15 years). Periodic screening may be discontinued later if the risk becomes low or if other diseases arise that limit the medical benefit of screening.
2. Detection of small pulmonary nodules
A small lung nodule (Lung Nodule) is a very common finding, detected in about half of the people who are screened. The majority of these nodules are noncancerous and may represent the remnants of old infections or simple fibrosis of lung tissue. In this case, no immediate action is taken, but it is recommended to re-examine after 3 to 12 months to monitor the size of the nodule and make sure it is stable.
If they remain constant in size, they are considered healthy, but if they show a gradual increase in size, your doctor may recommend additional tests, such as:
- Advanced CT scans to accurately assess growth
- PET-CT scan to characterize cellular activity
- Lung biopsy for lab analysis when cancer is strongly suspected
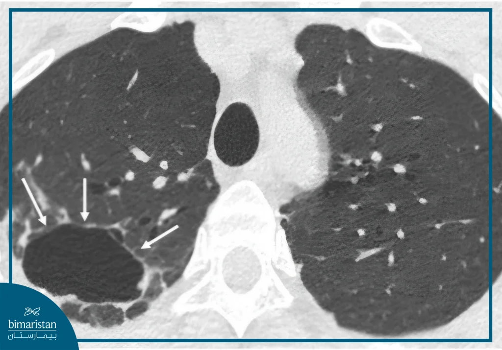
3. Large pulmonary nodules or suspicious changes
When images reveal a large pulmonary nodule or a mass with characteristics suggestive of cancer (such as irregular edges or increased density), the patient is referred to a chest pathologist or oncologist for a detailed evaluation and diagnostic plan that includes biopsy or advanced testing. The earlier the detection, the higher the chances of successful treatment and complete tumor removal.

4. Discovering other health issues
Sometimes, screening reveals other non-cancerous but medically important conditions, such as:
- Emphysema
- Chronic lung scarring or inflammation
- Calcification or hardening of the heart’s arteries
In these cases, the findings should be discussed with your doctor to determine if they warrant further evaluation or preventive treatment.
Follow-up after the test
- If the result is normal, it is recommended to repeat the test after one year as part of a regular follow-up
- If a small node is found, the next scan is scheduled depending on its size and characteristics (usually after 3, 6, or 12 months)
- If a tumor or abnormal change is suspected, advanced testing is performed, and the patient is referred to a specialist
This system of close follow-up is one of the most important reasons why lung cancer death rates are so low among people who have regular low-dose CT scans.
Risks and potential challenges of early detection of lung cancer
Although low-dose CT lung cancer screening has been shown to be effective in reducing lung cancer deaths, it is not without some risks that you should know about before deciding to get screened.
1. Radiation exposure
The test exposes the patient to a very low dose of radiation, about half the amount of natural radiation a person is exposed to from the environment during one year, and although the risk from this dose is very small, repeating the test annually may lead to a small accumulation of radiation, so it is only recommended for those with a high risk of cancer so that the benefits outweigh any potential risks.
2. False positives
This condition is known as a false positive result and often requires additional tests (such as a biopsy or PET-CT scan), and although these procedures help confirm the diagnosis, they may cause psychological anxiety or minor complications in some patients.
3. Overdiagnosis
Screening may detect very small or slow-growing tumors that will not cause symptoms or risk during the patient’s lifetime, but their detection may lead to unnecessary treatments, including surgery or radiation therapy. Therefore, the decision to undergo screening should be made as part of a full medical consultation to determine the benefit-risk balance for each individual case.
4. False negative results
In rare cases, a tumor may not appear on the images even though it is actually present, a condition known as a false negative result. This result may lead to delayed diagnosis and treatment if symptoms that were not taken seriously due to the previous scan later develop.
5. Psychological impact and guilt
Some patients, especially those with a long history of smoking, may feel guilty or self-blame when getting screened or waiting for the result. It is important to remember that lung cancer is not linked to smoking alone, and that getting screened is a courageous step that contributes to prevention and can save lives. During the screening, the doctor may also discuss smoking cessation plans with the patient and provide appropriate assistance.
When should you stop lung cancer screening?
The U.S. Preventive Services Task Force recommends stopping annual screening when:
- The patient is 81 years old
- Have been smoke-free for more than 15 years
- Has serious chronic illnesses that make surgery or treatment not feasible
Lung cancer early detection programs around the world
In recent years, many developed countries have adopted national programs for the early detection of lung cancer using low-dose CT scanning, after international studies such as the US National Lung Screening Trial demonstrated its ability to reduce mortality in people classified as high-risk groups. These programs are currently being implemented in countries such as the United States, Canada, Germany, Japan, and France under strict medical protocols that specify target groups, frequency of screening, and annual follow-up.
In Turkey, advanced centers provide advanced capabilities to conduct this type of examination with modern equipment, with high accuracy and low radiation, with medical teams specialized in chest diseases and oncology, and Bimaristan Medical Center helps patients to access these centers, and provides specialized consultations to assess the need for examination and follow up the results according to the latest international guidelines.
In conclusion, early detection of lung cancer reduces mortality rates by detecting tumors in their earliest stages when treatment is most effective. Low-dose CT is the most accurate and safest way to achieve this, as it allows detecting subtle changes in the lung before symptoms appear, making regular screening and regular medical follow-up an essential step to maintain health and increase the chances of recovery.
Sources:
- Centers for Disease Control and Prevention. (2025). Lung cancer screening. U.S. Department of Health & Human Services.
- National Health Service. (2024). Lung cancer screening. NHS.
