تُعدّ العقيدات الرئوية من المشاهد التي يلاحظها الأطباء بشكل متكرر في صور الصدر، إذ تمثل تغيرات صغيرة في نسيج الرئة يمكن أن تنتج عن أسباب متعددة، منها الالتهابية أو غيرها، وغالباً ما تُكتشف صدفة دون أن تسبّب أعراضاً واضحة.
تشير الدراسات إلى أن العقيدات تُرى في نحو ربع الفحوص الشعاعية للصدر عند البالغين، لكن أقل من 5٪ منها تكون ناجمة عن أورام خبيثة، ما يبرز أهمية التقييم الدقيق دون مبالغة في القلق أو التسرّع في الحكم.
ما هي العقيدات الرئوية؟
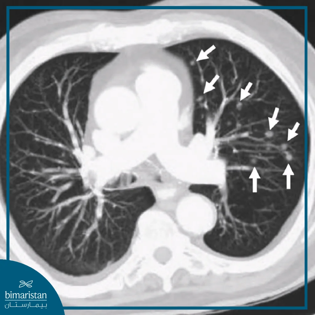
تُعرَّف العقيدات الرئوية بأنها مناطق صغيرة مستديرة أو بيضوية الشكل تظهر داخل نسيج الرئة، وتُشاهد عادة في صور الصدر الشعاعية أو في التصوير المقطعي المحوسب على شكل بقع بيضاء مميزة تختلف عن النسيج الرئوي الطبيعي المحيط بها، ويُطلق عليها أحياناً اسم “عقيدات الرئة” أو “النقاط الرئوية”، ويُعدّ أي تكوّن لا يتجاوز قطره ثلاثة سنتيمترات ضمن نطاق العقيدات، في حين يُصنَف ما هو أكبر من ذلك ككتلة رئوية.
تُعدّ هذه العقيدات شائعة نسبياً، إذ تُكشف لدى ما يقارب ثلث البالغين الذين يخضعون لتصوير مقطعي يتضمّن الرئتين، وغالباً ما تُكتشف صدفة أثناء فحوص أُجريت لأسباب أخرى دون أن تُسبّب أعراضاً واضحة، ورغم القلق الذي قد تُثيره رؤيتها في الصورة، فإن الغالبية العظمى من العقيدات الرئوية تكون ذات طبيعة حميدة وغير سرطانية، ومع ذلك يُنصح بإجراء الكشف المبكر عن سرطان الرئة لدى الفئات المعرضة للخطر لضمان التشخيص في مراحله الأولى.

أنواع العقيدات الرئوية
تُقسَّم العقيدات الرئوية إلى مجموعات رئيسية بناءً على تركيبها الداخلي ومظهرها الشعاعي وبعض الأنواع الخاصة التي تُشاهد في حالات محددة. يساعد هذا التصنيف على فهم طبيعة العقيدات وتقدير الحاجة إلى المتابعة أو العلاج.
أولاً: التصنيف بحسب التركيب
يعتمد هذا التصنيف على محتوى العقيدة من الكالسيوم، ويُستخدم لتقدير احتمال أن تكون العقيدة حميدة أو خبيثة، إذ يساعد وجود التكلسات أو غيابها على فهم طبيعة التبدلات في نسيج الرئة.
العقيدات المتكلسة
تحتوي على ترسّبات من الكالسيوم تجعلها أكثر كثافة ووضوحاً في الصور الشعاعية، وغالباً ما تكون حميدة وغير سرطانية، إذ تتشكّل في كثير من الحالات بعد التهابات أو عدوى رئوية سابقة مثل السل أو العدوى الفطرية، حيث يترسّب الكالسيوم في منطقة الالتهاب بعد الشفاء. تمثل هذه التكلسات دليلاً على إصابة قديمة منتهية، ولا تحتاج عادةً إلى علاج إلا إذا كبرت أو سبّبت أعراضاً.
العقيدات غير المتكلسة
تفتقر إلى ترسّبات الكالسيوم، ويمكن أن تنشأ عن التهابات حديثة أو مزمنة لم تترك تكلسات بعد الشفاء، لكنها لا تقتصر على الأسباب الالتهابية فقط، فقد تظهر أيضاً نتيجة أورام أولية أو نقائل، أو بسبب أمراض مناعية كالساركويد والتهاب الأوعية. يُعد هذا النوع أكثر حاجةً إلى تقييم ومتابعة دقيقة لاستبعاد الأسباب الخبيثة.
ثانياً: التصنيف بحسب المظهر الشعاعي
يركّز هذا التصنيف على مظهر العقيدة في التصوير المقطعي من حيث الكثافة والشفافية، بصرف النظر عن وجود تكلسات داخلها:
- العقيدات الصلبة: تظهر معتمة وتحجب التفاصيل التشريحية خلفها.
- العقيدات الزجاجية: تبدو ضبابية تسمح برؤية البنى الرئوية من خلالها، وتشير عادة إلى تغيّرات التهابية أو آفات مبكرة.
- العقيدات المختلطة: تجمع بين مناطق صلبة ومناطق زجاجية وتحتاج إلى متابعة دقيقة لأنها قد ترتبط بآفات خبيثة في بعض الحالات.
ثالثاً: الأنواع الخاصة من العقيدات
الإضافة إلى التصنيفين السابقين، توجد بعض الأنماط الخاصة من العقيدات التي تُشاهد في حالات محددة وتختلف عن العقيدات الرئوية التقليدية من حيث السبب أو المظهر. من أبرزها:
- العقيدات العُنيبية: صغيرة الحجم (5–8 ملم)، غير محددة الحواف تماماً، وقد تمثل امتلاء فصيص رئوي بالعناصر الالتهابية.
- العقيدات الكاذبة: لا تمثل آفة حقيقية في نسيج الرئة، بل تنتج عن كثافات شعاعية ناتجة عن تراكب بنى مجاورة أو تراكيب خارجية مثل تكلس بعد كسر ضلعي أو وجود جهاز طبي على جدار الصدر.
أسباب العقيدات الرئوية
تنتج العقيدات الرئوية عن مجموعة واسعة من الحالات المرضية أو البيئية التي تُحدث تغيّراً موضعياً في نسيج الرئة، وغالباً ما تكون هذه الأسباب غير خطيرة، إلا أن بعضها قد يرتبط بأمراض تستدعي تقييماً دقيقاً من الطبيب المختص.
الالتهابات الرئوية
تُعد الالتهابات من أكثر الأسباب شيوعاً لظهور العقيدات في الرئة، سواء كانت ناجمة عن الجراثيم أو الفطريات أو الفيروسات. تشمل هذه الحالات:
- السل الرئوي أو العدوى المزمنة المشابهة له
- ذات الرئة أو الالتهابات الحادة التي تترك تندباً محدوداً بعد الشفاء
- الالتهابات الفطرية التي قد تصيب الرئتين بعد التعرض للغبار أو التربة الملوّثة بالفطريات، وتشمل حالات مثل حمّى الوادي أو العدوى الفطرية المنتشرة في مناطق الأنهار، وهي من أكثر أنواع العدوى التي يمكن أن تترك عقيدات صغيرة بعد الشفاء
غالباً ما تتكوّن هذه العقيدات على شكل حُبيبات التهابية تمثل تجمعاً لخلايا مناعية في موقع العدوى القديمة.
الأمراض المناعية والالتهابية
يمكن أن تتكوّن العقيدات الرئوية أيضاً نتيجة أمراض مناعية ذاتية تُسبّب التهابات مزمنة في نسيج الرئة، ويُعدّ الساركويد أحد أبرز هذه الأمراض، إذ يؤدي إلى تشكّل حُبيبات التهابية غير إنتانية داخل الرئة، كما قد تظهر العقيدات لدى بعض المصابين بالتهاب المفاصل الروماتويدي، حيث تتكوّن تجمعات نسيجية تُعرف بالعقيدات الروماتويدية، وتمثل جزءاً من التبدلات الالتهابية المرافقة للمرض.
الأورام
قد تظهر العقيدات الرئوية أحياناً نتيجة تكوّن أورام في نسيج الرئة، ويُعدّ معظمها أوراماً حميدة تُكتشف صدفة أثناء الفحوص الشعاعية، مثل الأورام الغدية أو الشحمية، وهي غالباً بطيئة النمو ولا تُسبب أعراضاً واضحة. في المقابل، قد تكون بعض العقيدات ناجمة عن أورام خبيثة تنشأ داخل الرئة نفسها، مثل السرطانة الغدية أو الحرشفية، أو تنتقل إليها من أعضاء أخرى كالثدي أو القولون أو العظام، إذ تُعد الرئة من أكثر الأعضاء عرضة لانتشار النقائل السرطانية.
في بعض الحالات النادرة، يمكن أن ترتبط العقيدات بما يُعرف بفرط التنسّج الغدي غير النمطي، وهي حالة تعتبر مرحلة مبكرة تسبق تطور بعض أنواع سرطان الرئة.
التليّف والندبات
قد تنشأ العقيدات نتيجة تندّب أو تليّف في نسيج الرئة بعد التهابات أو إصابات سابقة، أو بعد عمليات جراحية في الصدر. كما أن التعرّض الطويل للمهيجات التنفسية كدخان السجائر والغبار الصناعي والمواد الكيميائية قد يؤدي إلى تشكّل بؤر ليفية تظهر على شكل عقيدات صغيرة في الصور الشعاعية.
الأسباب البيئية والوراثية والنادرة
في بعض الحالات النادرة، قد تعود العقيدات إلى أسباب خلقية أو تشوهات في الأوعية الدموية مثل:
- التشوّه الشرياني الوريدي
- النفاخ الرئوي الخلقي الذي قد يُشاهد لدى الأطفال
- الانفصال الرئوي، حيث يمتلك جزء من الرئة تغذية دموية غير طبيعية
يمكن أن تنتج العقيدات عن أكياس مملوءة بسائل أو عن غدد لمفاوية متضخمة تبدو في الصورة الشعاعية شبيهة بالعقيدات
أسباب غير معروفة
في نسبة محدودة من الحالات، لا يُمكن تحديد سبب واضح لظهور العقيدات رغم إجراء الفحوص اللازمة، وتُتابَع هذه الحالات دورياً للتأكد من استقرارها وعدم زيادة حجمها مع الزمن.
أعراض العقيدات الرئوية
في أغلب الحالات لا تُسبّب العقيدات الرئوية أي أعراض واضحة وتُكتشف بالصدفة أثناء الفحوص الشعاعية، أمّا عندما يزداد حجمها أو تضغط على القصبات الهوائية أو تكون من النوع الخبيث، فقد تظهر مجموعة من الأعراض مثل:
- سعال مزمن أو متكرر
- بحة في الصوت
- خروج دم مع البلغم
- ألم أو انزعاج في الصدر
- تعب عام أو ضعف في النشاط
- ضيق في التنفّس أو صفير أثناء التنفس
- فقدان الشهية ونقص غير مبرر في الوزن
- تكرار الالتهابات التنفسية مثل التهاب القصبات أو ذات الرئة
عند ظهور أيٍّ من هذه الأعراض، أو عند اكتشاف عقيدات صدفة في صورة الصدر، يصبح من الضروري إجراء الفحوص المناسبة لتحديد طبيعتها بدقة وبدء تشخيص العقيدات الرئوية وفق الخطوات الطبية المعيارية.
تشخيص العقيدات الرئوية
غالباً ما تُكتشف العقيدات الرئوية بالصدفة أثناء إجراء تصوير للصدر بهدف آخر، كالفحص الشعاعي الروتيني أو التصوير المقطعي منخفض الجرعة المستخدم في برامج الكشف المبكر عن سرطان الرئة، وبعد اكتشافها يبدأ الطبيب بتقييم خصائصها من حيث الحجم والشكل وحدود العقيدة وكثافتها لتحديد مدى الحاجة إلى فحوص إضافية.
يُعتبر التصوير المقطعي المحوسب الوسيلة الأدق في تشخيص هذه العقيدات، إذ يُظهر تفاصيل دقيقة للبنية الداخلية ويسمح بمقارنة حجمها مع صور سابقة لتحديد ما إذا كانت مستقرة أو متزايدة. غالباً ما تُعدّ العقيدات الصغيرة ذات الحواف الملساء أقل خطورة، لذلك يُكتفى بمراقبتها دورياً عبر التصوير دون تدخل فوري. أما العقيدات التي تُظهر صفات غير طبيعية أو تغيّراً في حجمها بمرور الوقت، فتحتاج إلى استقصاءات إضافية تشمل فحوص الدم والبلغم للتحري عن الالتهابات أو العدوى المزمنة، أو إجراء تصوير متقدم لتقييم نشاط الخلايا داخلها وتقدير احتمال الخباثة.
في حال استمرار الشك، تُؤخذ خزعة نسيجية من العقيدة بواسطة إبرة دقيقة أو عبر تنظير القصبات لتحليل العينة مجهرياً، وهي الطريقة الوحيدة القادرة على تأكيد أو نفي وجود خلايا سرطانية، وعندما تُظهر المتابعة استقرار حجم العقيدة لمدة سنتين متتاليتين، تُعتبر في الغالب غير سرطانية ولا تتطلب علاجاً إضافياً، بينما تستدعي العقيدات التي يزداد حجمها مع الزمن تقييماً أكثر عمقاً وربما استئصالها للتشخيص والعلاج في آنٍ واحد.

متى تكون العقيدات الرئوية خطيرة؟
ليست كل العقيدات الرئوية سبباً للقلق، فمعظمها حميد ومستقر، لكن بعض الصفات قد تُشير إلى زيادة احتمال الخطورة، مثل النمو المستمر في الحجم بمرور الوقت أو امتلاك شكل غير منتظم وحواف مشوكة أو تفاوت في الكثافة داخل العقيدة، كما تزداد الخطورة لدى الأشخاص المدخنين أو من تجاوزوا سن ال 65 أو عند وجود سوابق عائلية للإصابة بسرطان الرئة أو تعرّض مهني طويل لمواد ضارة كالأسبستوس أو الإشعاع.
ورغم أن التصوير المقطعي يوفّر مؤشرات مهمة حول طبيعة العقيدة، يبقى الفحص النسيجي (الخزعة) هو الوسيلة الحاسمة لتأكيد التشخيص وتحديد ما إذا كانت العقيدة خبيثة أم لا.
علاج العقيدات الرئوية
يعتمد علاج العقيدات الرئوية على سبب ظهورها وحجمها وطبيعتها في الفحوص الشعاعية، ففي أغلب الحالات تكون العقيدات صغيرة وغير سرطانية ولا تحتاج إلى أي علاج مباشر بل يُكتفى بمتابعتها عبر التصوير المقطعي كل ستة إلى اثني عشر شهراً، وعندما يبقى حجم العقيدة ثابتاً لمدة عامين متتاليين يُعتبر ذلك دليلاً على طبيعتها الحميدة، ولا يُلزم باتخاذ إجراءات إضافية.
أما إذا كانت العقيدات ناجمة عن التهابات جرثومية أو فطرية، فيُعالج السبب باستخدام مضادات حيوية أو أدوية مضادة للفطريات حتى زوال العدوى، وفي الحالات التي تسبب فيها العقيدة صعوبة في التنفس أو التهابات متكررة يمكن التفكير بإزالتها جراحياً حتى لو كانت حميدة لتجنّب المضاعفات التنفسية المستقبلية.
عند تشخيص العقيدة على أنها ورمية أو خبيثة، يحدَّد العلاج وفق مرحلة المرض وحالة المريض العامة، في المراحل المبكرة يُلجأ عادة إلى الاستئصال الجراحي لإزالة العقيدة قبل أن تنتشر، أما في المراحل المتقدمة فيُستخدم العلاج الكيماوي أو الإشعاعي، وقد تُضاف العلاجات المناعية أو الموجَّهة بحسب نوع الخلايا السرطانية واستجابتها.
رغم القلق الذي قد يرافق تشخيص العقيدات الرئوية، فإن معظمها ليس سرطانياً، وغالباً ما تتم متابعتها بأمان من خلال الفحوص الدورية والتقييم المستمر من قبل الطبيب المختص.
الفرق بين العقيدة المفردة والعقيدات المتعددة
يُشكّل عدد العقيدات التي تظهر في الرئة عاملاً مهماً في تقييم سببها واحتمال خطورتها، فالعقيدة المفردة هي تغيّر موضعي واحد في نسيج الرئة، وغالباً ما تكون ناجمة عن سبب محدد كالتهاب قديم أو ورم حميد، ويُركّز الطبيب في هذه الحالة على تحليل شكل العقيدة وحدودها وتطورها الزمني لتحديد ما إذا كانت تحتاج إلى متابعة أو خزعة.
أما العقيدات المتعددة، فهي تشير إلى وجود أكثر من بؤرة في الرئتين، وغالباً ما تُعبّر عن عملية مرضية أوسع نطاقاً مثل التهابات منتشرة، أو أمراض مناعية كالساركويد، أو في بعض الحالات عن انتشار سرطاني من ورم في عضو آخر، وتُقيَم هذه العقيدات من حيث توزيعها وحجمها وتشابهها فيما بينها، إذ يُعدّ التوزيع المتناظر والمتجانس أكثر ميلاً إلى الأسباب الالتهابية أو المناعية، في حين يُثير وجود عقيدات متفاوتة الشكل والحجم الشكّ بوجود نقائل سرطانية.
يساعد هذا التمييز بين العقيدة المفردة والعقيدات المتعددة الأطباء على وضع خطة المتابعة والعلاج المناسبة، إذ تختلف طريقة التقييم بين حالة موضعية بسيطة وأخرى تشير إلى مرض جهازي أو انتشاري.

نصائح لتقليل خطر العقيدات الرئوية ومنع تطورها
رغم أن ظهور العقيدات الرئوية لا يعني بالضرورة وجود مرض خطير، فإن اتباع نمط حياة صحي يساهم في تقليل خطر تشكّل العقيدات الجديدة أو تحوّل الموجود منها إلى أورام خبيثة، ويُعد الإقلاع عن التدخين الخطوة الأهم على الإطلاق، إذ يُعتبر دخان السجائر السبب الرئيس لأغلب سرطانات الرئة، كما أن تجنّب التدخين السلبي لا يقل أهمية عن ذلك.
يُنصح أيضاً بالابتعاد عن العوامل البيئية الضارة مثل التعرض الطويل للأتربة والغبار الصناعي أو المواد الكيميائية ومواد البناء التي تحتوي على الأسبستوس، إضافة إلى التأكد من تهوية أماكن العمل والمنزل جيداً، وفحص مستوى غاز الرادون في المنازل عند الحاجة. كما يُسهم الحفاظ على نظام غذائي متوازن غنيّ بالخضروات والفواكه في دعم صحة الرئتين وتعزيز مقاومة الالتهابات.
من المهم الالتزام بالمتابعة الدورية عند اكتشاف أي عقيدة رئوية، لأن الفحص المنتظم بالتصوير المقطعي يساعد على كشف أي تغيّر في الحجم أو الشكل في مراحله المبكرة، وهو ما يزيد من فرص العلاج الكامل في حال تطور الحالة.
في الختام، إن معظم العقيدات الرئوية تكون بسيطة ولا تستدعي القلق، لكن المتابعة الطبية المنتظمة ضرورية لاكتشاف أي تغيّر مبكر. يساعد مركز بيمارستان الطبي المرضى على الحصول على تقييم دقيق وعلاج متكامل بإشراف نخبة من أطباء الصدر في تركيا.
المصادر:
- Northwestern Medicine. (n.d.). What are lung nodules?
- MD Anderson Cancer Center. (2023, August 28). Lung nodules: What you need to know.
