Pulmonary nodules are one of the most frequently observed sights in chest images, as they represent small changes in lung tissue that can result from multiple causes, including inflammatory or other causes, and are often found incidentally without causing obvious symptoms.
Studies show that nodules are seen in about a quarter of adult chest x-rays, but less than 5% of them are caused by malignant tumors, highlighting the importance of careful evaluation without excessive concern or hasty judgment.
What are pulmonary nodules?
Pulmonary nodules are defined as small, round or oval-shaped areas that appear within the lung tissue, usually seen on chest radiographs or CT scans as distinct white spots that differ from the surrounding normal lung tissue, sometimes called “lung nodules” or “pulmonary nodules.” Any formation less than three centimeters in diameter is considered a nodule, while anything larger is classified as a pulmonary mass.
These nodules are relatively common, detected in approximately one-third of adults who undergo a CT scan involving the lungs, and are often found incidentally during examinations for other reasons without causing obvious symptoms. Despite the concern that seeing them on an image may cause, the vast majority of lung nodules are benign and non-cancerous in nature, but early detection of lung cancer in at-risk groups is recommended to ensure diagnosis in its earliest stages.

Types of pulmonary nodules
Pulmonary nodules are divided into major groups based on their internal structure, radiographic appearance, and some special types seen in specific conditions. This categorization helps in understanding the nature of the nodules and assessing the need for follow-up or treatment.
I: Categorization by structure
This classification is based on the calcium content of the nodule and is used to estimate the likelihood of the nodule being benign or malignant, as the presence or absence of calcifications helps to understand the nature of the changes in the lung tissue.
Calcified nodules
They contain calcium deposits that make them denser and more visible on radiographs. They are often benign and noncancerous, as they form in many cases after previous lung infections such as tuberculosis or fungal infections, where calcium is deposited in the area of inflammation after healing. These calcifications are evidence of an old infection that has resolved, and usually do not require treatment unless they become large or cause symptoms.
Uncalcified nodules
It lacks calcium deposits and can arise from recent or chronic infections that have not left calcifications after healing, but it is not limited to inflammatory causes only, as it can also appear as a result of primary tumors or metastases, or due to immune diseases such as sarcoidosis and vasculitis. This type is more in need of careful evaluation and follow-up to rule out malignant causes.
II: Categorization by radiographic appearance
This classification focuses on the appearance of the nodule on the CT scan in terms of density and transparency, regardless of the presence of calcifications within it:
- Solid nodules: They appear opaque and obscure the anatomical details behind them.
- Vitreous nodules: They appear hazy, allowing pulmonary structures to be seen through them, and usually indicate inflammatory changes or early lesions.
- Mixed nodules: Combines solid and hyaline areas and needs careful follow-up as it may be associated with malignant lesions in some cases.
Third: Special types of nodules
In addition to the two previous classifications, there are some special types of nodules that are seen in specific cases and differ from the classic pulmonary nodules in terms of cause or appearance. Among them are the most notable:
- Uveal nodules: Small (5-8 mm), poorly circumscribed, and may represent filling of a lobule with inflammatory elements.
- False nodules: Do not represent a true lung tissue lesion, but rather result from radiographic densities caused by the superimposition of neighboring structures or external structures such as calcification after a rib fracture or the presence of a medical device on the chest wall.
Causes of pulmonary nodules
Pulmonary nodules are caused by a wide range of pathological or environmental conditions that cause localized changes in the lung tissue. These causes are often not serious, but some may be associated with diseases that require careful evaluation by a medical professional.
Pulmonary infections
Infections are one of the most common causes of lung nodules, whether caused by germs, fungi, or viruses. These conditions include:
- Pulmonary tuberculosis or similar chronic infections
- Pneumonia or acute infections that leave limited scarring after healing
- Fungal infections that may affect the lungs after exposure to dust or soil contaminated with fungi, including conditions such as valley fever or fungal infections in river areas, are the most common infections that can leave small nodules after healing
These nodules often form as inflammatory granules that represent a cluster of immune cells at the site of an old infection.
Immune and inflammatory diseases
Pulmonary nodules can also form as a result of autoimmune diseases that cause chronic inflammation in the lung tissue. Sarcoidosis is one of the most prominent of these diseases, as it leads to the formation of non-infectious inflammatory granules within the lung, and nodules may appear in some people with rheumatoid arthritis, where tissue clusters known as rheumatoid nodules are formed and are part of the inflammatory changes associated with the disease.
Tumors
Pulmonary nodules can sometimes appear as a result of the formation of tumors in the lung tissue. Most of them are benign tumors discovered incidentally during radiological examinations, such as adenomas or lipomas, which are often slow-growing and do not cause obvious symptoms. On the other hand, some nodules may be caused by malignant tumors that originate within the lung itself, such as adenocarcinoma or squamous carcinoma, or metastasize from other organs such as the breast, colon, or bones, as the lung is one of the most vulnerable organs for the spread of cancer metastases.
In some rare cases, nodules can be associated with what’s known as atypical adenomatous hyperplasia, a condition that is an early stage before some types of lung cancer develop.
Fibrosis and scarring
Nodules may develop as a result of scarring or fibrosis of lung tissue after previous infections or injuries, or after chest surgeries. Prolonged exposure to respiratory irritants such as cigarette smoke, industrial dust, and chemicals can lead to the formation of fibrous foci that appear as small nodules on radiographs.
Environmental, genetic, and rare causes
In some rare cases, nodules may be due to congenital causes or blood vessel abnormalities, such as:
- Arteriovenous malformation
- Congenital emphysema that may be seen in children
- Pulmonary embolism, where part of the lung has an abnormal blood supply
Nodules can result from fluid-filled cysts or enlarged lymph nodes that look like nodules on a radiograph
Unknown causes
In a limited percentage of cases, a clear cause of the nodules cannot be identified despite the necessary tests, and these cases are followed up periodically to make sure they stabilize and do not increase in size over time.
Symptoms of pulmonary nodules
In most cases, pulmonary nodules do not cause any obvious symptoms and are discovered by chance during radiological examinations, but when they increase in size, compress the bronchi, or are malignant, a range of symptoms may appear, such as:
- Chronic or recurrent cough
- Hoarseness
- Blood with phlegm
- Chest pain or discomfort
- General fatigue or lack of energy
- Shortness of breath or wheezing
- Loss of appetite and unexplained weight loss
- Recurrent respiratory infections such as bronchitis or pneumonia
When any of these symptoms occur, or when nodules are accidentally detected on a chest x-ray, it becomes necessary to perform the appropriate tests to determine their exact nature and start diagnosing pulmonary nodules according to standard medical steps.
Pulmonary Nodule Diagnosis
Pulmonary nodules are often discovered incidentally during chest imaging for another purpose, such as routine radiography or low-dose computed tomography used in lung cancer early detection programs. Once discovered, the doctor will evaluate the size, shape, border, and density of the nodule to determine the need for additional testing.
Computed tomography (CT) is the most accurate means of diagnosing these nodules, as it shows fine details of the internal structure and allows comparison of their size with previous images to determine whether they are stable or growing. Small nodules with smooth edges are often considered to be less dangerous, so periodic monitoring through imaging is often sufficient without immediate intervention. Nodules that exhibit abnormal characteristics or change in size over time require additional investigation, including blood and sputum tests to check for chronic inflammation or infection, or advanced imaging to assess the activity of cells within the nodule and assess the likelihood of malignancy.
If doubt persists, a tissue biopsy of the nodule is taken with a fine needle or via bronchoscopy to analyze the sample microscopically, which is the only method capable of confirming or denying the presence of cancer cells. When follow-up shows that the size of the nodule is stable for two consecutive years, it is often considered non-cancerous and does not require additional treatment, while nodules that increase in size over time require a more in-depth evaluation and possibly resection for diagnosis and treatment at the same time.

When are pulmonary nodules dangerous?
Not all pulmonary nodules are cause for concern, most are benign and stable, but some characteristics may indicate an increased risk, such as continued growth in size over time, irregular shape, spiky edges, or uneven density within the nodule, and increased risk in people who smoke, are over the age of 65, have a family history of lung cancer, or long occupational exposure to harmful substances such as asbestos or radiation.
Although CT scanning provides important clues about the nature of the nodule, histologic examination (biopsy) remains the definitive means of confirming the diagnosis and determining whether the nodule is malignant or not.
Pulmonary nodule treatment
In most cases, the nodules are small and non-cancerous and do not require any direct treatment, but only follow-up through computed tomography every six to twelve months, and when the size of the nodule remains constant for two consecutive years, this is considered evidence of its benign nature, and no further action is required.
If the nodules are caused by bacterial or fungal infections, the cause is treated with antibiotics or antifungal medications until the infection clears, and in cases where the nodule causes difficulty breathing or recurrent infections, surgical removal may be considered, even if it is benign, to avoid future respiratory complications.
When the nodule is diagnosed as neoplastic or malignant, treatment is determined according to the stage of the disease and the patient’s general condition, in the early stages, surgical removal is usually used to remove the nodule before it spreads, while in advanced stages, chemotherapy or radiation is used, and immunotherapy or targeted therapies may be added depending on the type of cancer cells and their response.
Despite the anxiety that may accompany a diagnosis of pulmonary nodules, most of them are not cancerous and are often safely monitored with regular checkups and ongoing evaluation by a medical professional.
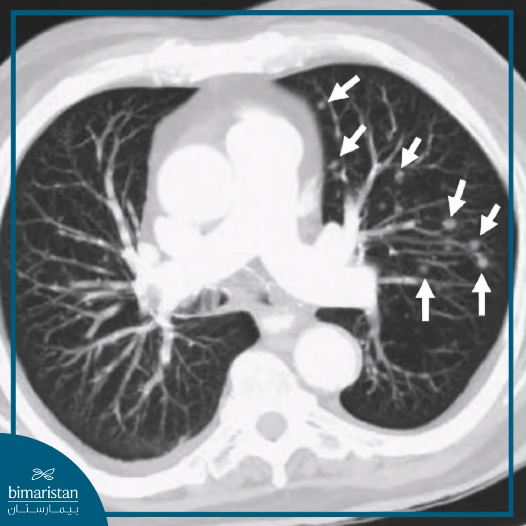
The difference between a single nodule and multiple nodules
The number of nodules that appear in the lungs is an important factor in assessing their cause and potential severity, as a single nodule is a single localized change in lung tissue, often caused by a specific cause such as an old infection or benign tumor, and the doctor in this case focuses on analyzing the shape, boundaries and temporal evolution of the nodule to determine whether it needs follow-up or biopsy.
Multiple nodules indicate the presence of more than one focus in the lungs, often reflecting a broader disease process such as diffuse inflammation, immunological diseases such as sarcoidosis, or, in some cases, cancerous spread from a tumor in another organ. These nodules are assessed by their distribution, size, and similarity between them, with a symmetrical and homogeneous distribution being more likely to be inflammatory or immunological causes, while nodules of varying shape and size raise the suspicion of metastasis.
This distinction between single and multiple nodules helps clinicians develop an appropriate follow-up and treatment plan, as the method of evaluation differs between a simple localized condition and one that indicates a systemic or metastatic disease.

Tips to minimize the risk of pulmonary nodules and prevent their development
Although the appearance of lung nodules does not necessarily mean the presence of a serious disease, following a healthy lifestyle helps reduce the risk of new nodules forming or existing ones turning into malignant tumors. Quitting smoking is the most important step of all, as cigarette smoke is the main cause of most lung cancers, and avoiding secondhand smoke is equally important.
It is also advisable to stay away from harmful environmental factors such as prolonged exposure to dust, industrial dust, or chemicals and asbestos-containing building materials, as well as making sure that workplaces and homes are well ventilated, and checking the radon level in homes when needed. Maintaining a balanced diet rich in fruits and vegetables can help support healthy lungs and promote resistance to inflammation.
It is important to adhere to regular follow-up when any pulmonary nodule is detected, because regular CT scanning helps detect any change in size or shape in its early stages, which increases the chances of complete treatment if the condition progresses.
In conclusion, most pulmonary nodules are minor and not a cause for concern, but regular medical follow-up is essential to detect any early change. Bimarestan Medical Center helps patients receive an accurate evaluation and comprehensive treatment under the supervision of Turkey’s leading chest physicians.
Sources:
- Northwestern Medicine. (n.d.). What are lung nodules?
- MD Anderson Cancer Center. (2023, August 28). Lung nodules: What you need to know.
