يُعدّ سرطان الرئة الحرشفي من أكثر أنواع سرطانات الرئة شيوعاً، ويُعتبر مشكلة صحية عالمية تتزايد مع انتشار التدخين والعوامل البيئية الضارة. تختلف شدة المرض من شخص لآخر تبعاً لمرحلة الاكتشاف وسرعة التدخل العلاجي، ومع تطوّر وسائل الطب الحديث أصبحت فرص التشخيص والعلاج أكثر دقة وفعالية مما كانت عليه في السابق. تشير التقديرات إلى أنّ هذا النوع يُشكّل نحو 25% إلى 30% من حالات سرطان الرئة غير صغيرة الخلايا، ويُسجَّل بشكل أكبر لدى المدخنين الذكور.
ما هو سرطان الرئة الحرشفي؟
سرطان الرئة الحرشفي هو نوع من سرطانات الرئة غير صغيرة الخلايا، ينشأ من الخلايا الحرشفية التي تُبطّن الممرات الهوائية داخل الرئة. تتميّز هذه الخلايا بشكلها الرقيق والمسطّح الذي يشبه حراشف السمك تحت المجهر، وتعمل كطبقة واقية بين الهواء الداخل وأنسجة الرئة. عندما تتعرّض هذه الخلايا لتلف مستمر نتيجة التدخين أو الملوّثات الهوائية، تبدأ بالتحوّل إلى خلايا غير طبيعية تنمو بشكل غير منضبط لتشكّل الورم.
غالباً ما يظهر هذا النوع في الأجزاء المركزية من الرئة أو في الشعب الهوائية الرئيسية ولهذا قد تظهر أعراضه مبكراً، ويُعرف هذا النوع بارتباطه الوثيق بعادة التدخين مما يجعله من أكثر الأنواع شيوعاً بين المدخنين حول العالم.

أسباب وعوامل خطر الإصابة بسرطان الرئة الحرشفي
يُعتبر التدخين السبب الرئيسي في نشوء سرطان الرئة الحرشفي، إذ تُعزى إليه الغالبية العظمى من الحالات المسجّلة، يزيد خطر الإصابة بازدياد مدة التدخين وعدد السجائر يومياً، بينما ينخفض تدريجياً بعد الإقلاع عنه بمرور الوقت. نادراً ما يظهر هذا النوع لدى غير المدخنين، مما يبرز دوره المباشر في إحداث الضرر المزمن بخلايا الممرات الهوائية.
تشمل العوامل الأخرى التي قد تسهم في تطوّر المرض ما يلي:
- التعرض للتدخين السلبي لفترات طويلة
- الملوثات الصناعية مثل غاز الرادون أو ألياف الأسبستوس
- تاريخ عائلي للإصابة بسرطان الرئة أو أنواع أخرى من السرطان
- تلوّث الهواء الداخلي والخارجي الناتج عن عوادم المركبات وحرق الوقود
- الاستنشاق المتكرر للأبخرة الكيميائية أو دهانات الرش والمعادن الثقيلة كالكادميوم والنيكل والكروم
يُلاحظ أنّ معظم حالات الإصابة تحدث بعد سن الخمسين، ويُسجَّل المرض بنسبة أعلى بين الرجال المدخنين مقارنة بالنساء، ما يؤكد العلاقة القوية بين التدخين وتطور هذا النوع من السرطان.
أعراض سرطان الرئة الحرشفي
في المراحل الأولى من سرطان الرئة الحرشفي قد لا تظهر أي علامات واضحة، إذ يمكن أن ينمو الورم بصمت داخل الشعب الهوائية قبل أن يبدأ بالتأثير على الأنسجة المجاورة، وتبدأ الأعراض عادة بالظهور عندما يكبر الورم أو يغزو الأعضاء المحيطة، مما يجعل اكتشاف المرض في مراحله المبكرة أمراً صعباً، الأعراض الشائعة تشمل:
- سعال مزمن لا يتحسّن رغم العلاج
- خروج دم أو بلغم مدمّى
- بحة في الصوت
- تعب وإرهاق عام
- ضيق في التنفس أو صفير أثناء التنفس
- ألم في الصدر أو الكتف أو الذراع
- فقدان الشهية ونقص الوزن غير المبرّر
في بعض الحالات قد يؤدي الورم إلى ارتفاع مستويات الكالسيوم في الدم أو إلى تكرار الالتهابات الصدرية مثل التهاب القصبات أو ذات الرئة، وإذا انتشر السرطان إلى أعضاء أخرى يمكن أن تظهر آلام في العظام أو صداع واضطرابات عصبية نتيجة انتقاله إلى الدماغ. رغم أنّ هذه الأعراض قد تتشابه مع أمراض تنفسية شائعة، فإن استمرارها أو تكرارها يستدعي مراجعة الطبيب لإجراء الفحوص الدقيقة والكشف المبكر عن المرض.
تشخيص سرطان الرئة الحرشفي
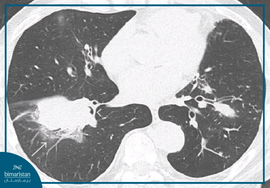
يُشخّص سرطان الرئة الحرشفي عادةً بعد الاشتباه بوجود كتلة في الرئة نتيجة ظهور أعراض تنفسية مستمرة أو خلال فحص تصويري أُجري لسبب آخر، في بعض الحالات يُكتشف الورم صدفة أثناء التصوير المقطعي المحوسب أو الأشعة الصدرية الروتينية. كما تُوصي الجهات الطبية بإجراء الكشف المبكر بالأشعة المقطعية منخفضة الجرعة للأشخاص بين سنّ ال 50 و 80 ممن لديهم تاريخ طويل في التدخين، إذ يساعد ذلك على اكتشاف المرض في مراحله المبكرة وتحسين فرص العلاج.
أولاً: الفحوص الشعاعية
تُعدّ الخطوة الأولى لتحديد وجود الورم وموقعه داخل الرئة، وتشمل:
- الأشعة السينية للصدر: للكشف عن أي ظل أو كتلة غير طبيعية.
- التصوير المقطعي المحوسب: لتقييم حجم الورم وامتداده بدقة.
- التصوير بالرنين المغناطيسي: لتحديد انتشار الورم إلى الأنسجة المجاورة.
- التصوير المقطعي بالإصدار البوزيتروني: لتحديد نشاط الخلايا السرطانية وانتشارها إلى العقد اللمفاوية أو الأعضاء الأخرى.

ثانياً: فحوص العينات النسيجية (الخزعة)
هي الطريقة الوحيدة لتأكيد التشخيص وتحديد نوع الخلايا بدقة، وتشمل:
- تنظير القصبات: إدخال أنبوب رفيع مزوّد بكاميرا لأخذ عيّنة من الورم داخل الممرات الهوائية.
- الخزعة بالإبرة الموجّهة بالتصوير المقطعي: تُستخدم عند وجود كتلة يصعب الوصول إليها بالمنظار.
- خزعة من العقد اللمفاوية أو جدار الصدر: لتحديد مدى انتشار الورم.
- جراحة الصدر بمساعدة الفيديو: إجراء جراحي طفيف التوغّل يُستخدم لأخذ عينات دقيقة من أنسجة الرئة عند تعذّر الحصول على عيّنة بطرق أخرى.
ثالثاً: تقييم مرحلة المرض
بعد تأكيد وجود السرطان من خلال الخزعة، يُجرى ما يُعرف بـ تحديد مرحلة المرض (Staging) لتقييم مدى انتشار الورم داخل الجسم وفق نظام TNM الذي يحدد حجم الورم وامتداده إلى العقد اللمفاوية ووجود النقائل البعيدة. تُقسم مراحل سرطان الرئة الحرشفي إلى خمس درجات رئيسة:
- المرحلة 0: يكون الورم في بطانة القصبات فقط ولم ينتشر إلى الأنسجة العميقة أو خارج الرئة.
- المرحلة الأولى (IA وIB): ورم صغير الحجم لم ينتشر إلى العقد اللمفاوية أو الأعضاء الأخرى.
- المرحلة الثانية (IIA وIIB): يكون الورم أكبر حجماً وقد يمتد إلى العقد اللمفاوية القريبة أو الأنسجة المجاورة.
- المرحلة الثالثة (IIIA وIIIB وIIIC): مراحل أكثر تقدّماً يصعب فيها الاستئصال الجراحي الكامل، وغالباً ما تمتد إلى العقد أو الأنسجة في منتصف الصدر.
- المرحلة الرابعة: تمثل المرحلة المنتشرة، حين ينتقل السرطان إلى أعضاء أخرى كالكبد أو العظام أو الدماغ.
يساعد تحديد المرحلة بدقة على اختيار النهج العلاجي الأمثل لكل مريض، سواء كان جراحياً أو دوائياً أو إشعاعياً، كما يتيح تقييم التوقعات المستقبلية وقياس فعالية العلاج.
علاج سرطان الرئة الحرشفي
يعتمد علاج سرطان الرئة الحرشفي على مرحلة المرض وصحة المريض العامة ووظيفة الرئتين. في المراحل المبكرة يمكن الشفاء غالباً بالجراحة وحدها، بينما تتطلّب الحالات المتقدمة مزيجاً من العلاجات الدوائية والإشعاعية وربما المناعية بهدف السيطرة على الورم وتحسين نوعية الحياة. يُحدّد الطبيب الخطة الأنسب بناءً على حالة كل مريض ونتائج الفحوص النسيجية والشعاعية.
أولاً: الجراحة
تُعدّ جراحة سرطان الرئة الخيار العلاجي الأفضل في المراحل المبكرة عندما يكون الورم محدوداً داخل الرئة ولم ينتشر. تشمل أنواع الجراحة:
- استئصال الفص الرئوي: إزالة الفص المصاب وهو الإجراء الأكثر شيوعاً وفعالية.
- الاستئصال الجزئي أو الوتدي: إزالة جزء صغير من الرئة عندما يكون الورم صغيراً أو المريض غير قادر على تحمل عملية واسعة.
- استئصال الرئة الكامل: إزالة الرئة المصابة كاملة في الحالات المتقدمة المحدودة.
- جراحة الصدر بمساعدة الفيديو: تقنية طفيفة التوغّل تُستخدم لإزالة الأورام الصغيرة عبر شقوق صغيرة في الصدر، مما يقلل من الألم وفترة النقاهة.

ثانياً: العلاج الإشعاعي
يُستخدم العلاج الإشعاعي لتدمير الخلايا السرطانية أو تقليص حجم الورم باستخدام موجات طاقة عالية، في المراحل المبكرة قد يكون علاجاً شافياً للمرضى غير المؤهلين للجراحة، بينما يُستخدم بعد الجراحة لتدمير أي خلايا متبقية ومنع عودة الورم. أما في المراحل المتقدمة فيُستفاد منه لتخفيف الأعراض مثل ألم العظام أو الصداع الناتج عن النقائل، مما يساهم في تحسين نوعية حياة المريض.
ثالثاً: العلاج الكيميائي
يُعدّ العلاج الكيميائي من أهم وسائل العلاج الدوائي التي تؤثر في الجسم بأكمله، إذ يعمل على قتل الخلايا السرطانية المنتشرة في الجسم، غالباً ما تُستخدم أدوية تعتمد على مركّبات البلاتين مثل السيسبلاتين أو الكاربوبلاتين مع دواء آخر مثل الجيمسيتابين. يمكن إعطاؤه قبل الجراحة لتقليص الورم أو بعدها للقضاء على الخلايا المتبقية، كما يُستخدم في المراحل المنتشرة بهدف السيطرة على المرض وتخفيف الأعراض.
رابعاً: العلاج الموجّه
يركّز العلاج الموجّه على التغيّرات الجزيئية داخل الخلايا السرطانية دون الإضرار بالخلايا السليمة، ورغم أن الطفرات الجينية أقل شيوعاً في السرطان الحرشفي مقارنة بالأنواع الأخرى، إلا أنّ بعض المرضى قد يستفيدون من أدوية خاصة مثل أفاتينيب بعد فشل العلاج الكيميائي. كما يمكن استخدام مثبطات تكوين الأوعية الدموية مثل راموسيروماب مع العلاج الكيميائي لإيقاف تغذية الورم بالأكسجين والمواد المغذية، مما يحدّ من نموه وانتشاره.
خامساً: العلاج المناعي
أحدث العلاج المناعي نقلة نوعية في علاج سرطانات الرئة، إذ يفعّل الجهاز المناعي ليتعرف على الخلايا السرطانية ويدمّرها، يُستخدم هذا العلاج في المراحل المتقدمة أو بعد فشل العلاجات التقليدية، وغالباً ما يُدمج مع العلاج الكيميائي لزيادة فعاليته. يعتمد على أدوية تُسمّى مثبطات نقاط التفتيش المناعية، التي تُعيد تنشيط الخلايا الدفاعية ضد الورم، وقد ساهمت في تحسين نسب البقاء على قيد الحياة لدى العديد من المرضى.
بعد إتمام العلاج، يخضع المرضى لمتابعة طبية دورية تشمل فحوصاً سريرية وتصويرية للتأكد من استقرار الحالة وكشف أي علامات مبكرة على عودة المرض، مما يزيد من فرص التدخل السريع والحفاظ على نتائج العلاج.
الوقاية من سرطان الرئة الحرشفي
تُعدّ الوقاية من سرطان الرئة الحرشفي الخطوة الأهم في الحدّ من انتشاره، إذ يمكن تجنّب معظم الحالات عبر تقليل التعرض للعوامل المسبّبة المعروفة، يُعتبر الإقلاع عن التدخين الإجراء الأكثر فعالية حيث ينخفض خطر الإصابة تدريجياً بعد التوقف عن التدخين ليقترب مع مرور الوقت من مستوى غير المدخنين. كما يُنصح بتجنّب أماكن التدخين المغلقة والابتعاد عن التدخين السلبي قدر الإمكان.
من العوامل الوقائية الأخرى الحدّ من التعرض للمواد المسرطنة في بيئة العمل مثل الأسبستوس والنيكل والكروم، وذلك باستخدام وسائل الحماية الشخصية واتباع تعليمات السلامة المهنية. كما يُستحسن فحص المنازل لاكتشاف وجود غاز الرادون، وهو غاز طبيعي مشعّ قد يتسرب من التربة إلى الأبنية المغلقة ويزيد خطر الإصابة بسرطان الرئة عند تراكمه.
إلى جانب هذه الإجراءات، يُسهم اتباع نمط حياة صحي يشمل التغذية المتوازنة، والنشاط البدني المنتظم، والحفاظ على وزن مناسب في دعم مناعة الجسم وتقليل احتمالية تطوّر الأمراض المزمنة والسرطانية على حدّ سواء.
في الختام، يُعدّ سرطان الرئة الحرشفي من أكثر أنواع سرطانات الرئة ارتباطاً بالتدخين، إلا أن الوقاية والإقلاع المبكر هما الوسيلة الأهم لتجنّبه. إنّ الكشف المبكر والعلاج المتكامل يُحسّنان فرص الشفاء وجودة الحياة بشكل ملحوظ، ويقدّم مركز بيمارستان الطبي في تركيا أحدث وسائل التشخيص والعلاج تحت إشراف نخبة من الأطباء المختصين، لضمان رعاية متكاملة تُواكب المعايير العالمية.
المصادر:
- LUNGevity Foundation. (2025). Squamous Cell Lung Cancer.
- Harvard Health Publishing. (2025). Squamous Cell Carcinoma of the Lung: A to Z.
