Squamous cell lung cancer is among the most common forms of lung cancer and represents a growing global health concern, largely driven by smoking and harmful environmental exposures. The severity of this disease varies among individuals, depending on the stage at diagnosis and the timeliness of therapeutic intervention. With advances in modern medicine, diagnostic accuracy and treatment effectiveness have significantly improved compared to the past. It is estimated that squamous cell lung cancer accounts for about 25% to 30% of non‑small cell lung cancer cases, with a higher prevalence among male smokers.
What is squamous cell lung cancer?
Squamous cell lung cancer is a type of non-small cell lung cancer that arises from the squamous cells that line the airways inside the lung. These cells are thin and flat, resembling fish scales under a microscope, and act as a protective layer between the incoming air and the lung tissue. When these cells are continuously damaged by smoking or air pollutants, they begin to turn into abnormal cells that grow uncontrollably to form a tumor.
This type often appears in the central parts of the lungs or in the main airways, so its symptoms may appear early, and this type is known to be closely related to the smoking habit, making it one of the most common types among smokers around the world.

Causes and risk factors for squamous cell lung cancer
Smoking is the leading cause of squamous cell lung cancer, accounting for the vast majority of cases. The risk increases with the duration of smoking and the number of cigarettes per day, while it gradually decreases after quitting over time. This type is rarely seen in non-smokers, highlighting its direct role in causing chronic damage to airway cells.
Other factors that may contribute to the development of the disease include:
- Exposure to secondhand smoke for long periods of time
- Industrial pollutants such as radon gas or asbestos fibers
- Family history of lung cancer or other types of cancer
- Indoor and outdoor air pollution from vehicle exhaust and fuel combustion
- Repeated inhalation of chemical vapors or spray paints and heavy metals such as cadmium, nickel, and chromium
Most cases occur after the age of 50, and the disease is more common in men who smoke than in women, emphasizing the strong link between smoking and the development of this type of cancer.
Symptoms of squamous cell lung cancer
In the early stages of squamous cell lung cancer, there may not be any obvious signs, as the tumor can grow silently within the airways before it begins to affect neighboring tissues, and symptoms usually begin to appear when the tumor grows or invades surrounding organs, making it difficult to detect the disease in its early stages. Common symptoms include:
- Chronic cough that doesn’t get better despite treatment
- Blood or bloody sputum
- Hoarseness
- General fatigue and exhaustion
- Shortness of breath or wheezing while breathing
- Chest, shoulder, or arm pain
- Unexplained loss of appetite and weight loss
In some cases, the tumor may lead to high levels of calcium in the blood or recurrent chest infections such as bronchitis or pneumonia, and if the cancer has spread to other organs, bone pain, headaches, and neurological disorders may appear as a result of its metastasis to the brain. Although these symptoms may be similar to those of common respiratory diseases, their persistence or recurrence warrants a visit to the doctor for a thorough examination and early detection.
Diagnosis of squamous cell lung cancer
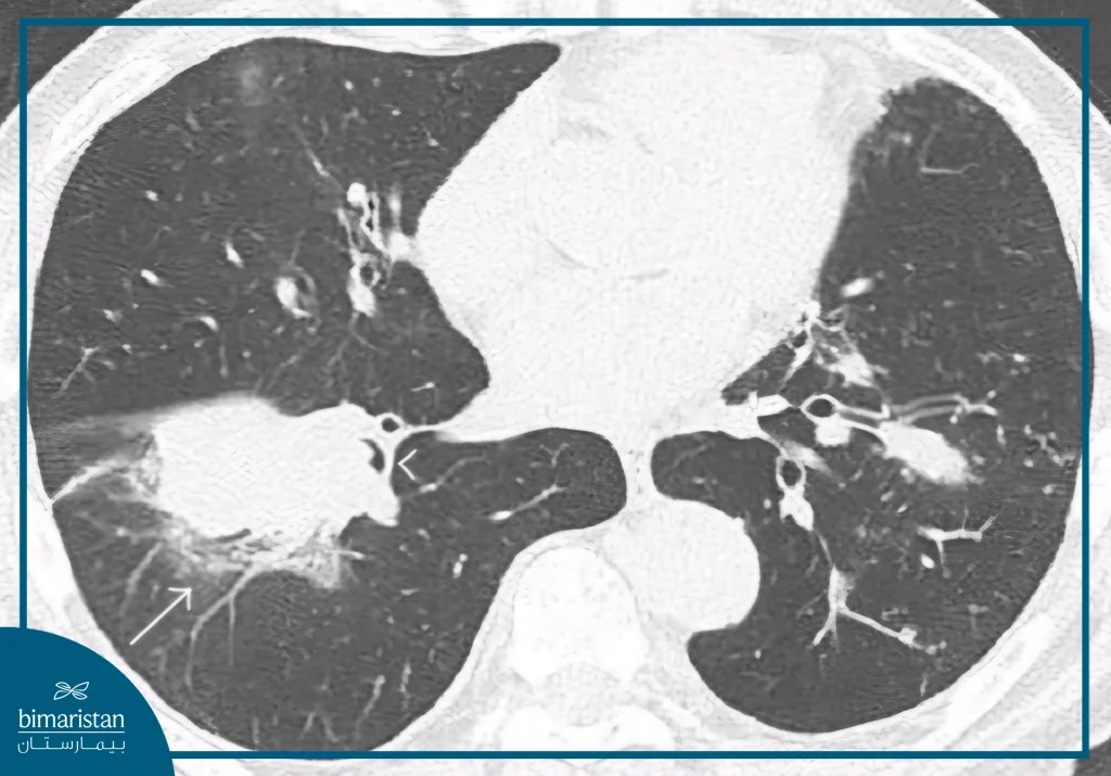
Squamous cell lung cancer is usually diagnosed after a lung mass is suspected as a result of persistent respiratory symptoms or during an imaging test conducted for another reason. In some cases, the tumor is discovered accidentally during a CT scan or a routine chest X-ray. Medical authorities also recommend early detection with low-dose CT scans for people between the ages of 50 and 80 with a long history of smoking, as this helps detect the disease in its early stages and improves the chances of treatment.
First: Radiographic examinations
The first step in determining the presence and location of a tumor within the lungs includes:
- Chest X-ray: To detect any shadow or abnormal mass.
- Computerized tomography (CT) scan: To accurately assess the size and extent of the tumor.
- Magnetic resonance imaging (MRI): To determine the spread of the tumor to nearby tissues.
- Positron emission tomography (PET) scan: To determine the activity of cancer cells and their spread to lymph nodes or other organs.

Second: Tissue biopsies
It is the only way to confirm the diagnosis and determine the exact type of cells, including:
- Bronchoscopy: A thin, flexible tube with a camera is inserted to obtain a sample of the tumor in the airways.
- CT-guided needle biopsy: It is used when a mass is difficult to reach with an endoscope.
- A biopsy of the lymph nodes or chest wall: To determine the extent of the tumor.
- Video-assisted thoracic surgery: A minimally invasive surgical procedure used to take precise samples of lung tissue when other methods fail to obtain a sample.
Third: Assessing the stage of the disease
After confirming the presence of cancer through a biopsy, staging is performed to assess the extent of tumor spread within the body using the TNM system, which classifies tumor size, lymph node involvement, and the presence of distant metastases. Squamous cell lung cancer is divided into five main stages:
- Stage 0: The tumor is limited to the bronchial lining and has not spread to deeper tissues or beyond the lung.
- Stage IA and IB: A small tumor that has not spread to lymph nodes or other organs.
- Stage IIA and IIB: The tumor is larger and may spread to nearby lymph nodes or tissues.
- Stage III (IIIA, IIIB, and IIIC): More advanced stages in which complete surgical resection is difficult, often extending to nodes or tissue in the center of the chest.
- Fourth stage: This is the metastatic stage, when the cancer has spread to other organs such as the liver, bones, or brain.
Accurate staging helps to choose the optimal treatment approach for each patient, whether surgical, pharmaceutical or radiation, and allows for assessing future prognosis and measuring the effectiveness of treatment.
Squamous cell lung cancer treatment
The treatment of squamous cell lung cancer depends on the stage of the disease, the patient’s overall health, and lung function. Early stages can often be cured with surgery alone. At the same time, advanced cases require a combination of drug, radiation, and possibly immunotherapy treatments to control the tumor and improve quality of life. The doctor determines the most appropriate plan based on each patient’s condition and the results of histologic and radiologic examinations.
First: Surgery
Lung cancer surgery is the best treatment option in the early stages when the tumor is confined to the lung and has not spread. Types of surgery include:
- Lobectomy: Removing the affected lobe is the most common and effective procedure.
- Wedge resection: Removing a small portion of the lung when the tumor is small or the patient is unable to tolerate a major surgery.
- Pneumonectomy: Removal of the entire affected lung in limited advanced cases.
- Video-assisted thoracic surgery: A minimally invasive technique used to remove small tumors through small incisions in the chest, reducing pain and recovery time.

II: Radiation therapy
Radiation therapy is a treatment that uses high-energy waves to destroy cancer cells or reduce the size of tumors. In the early stages of cancer, it can serve as a curative option for patients who are not candidates for surgery. After surgery, radiation therapy is often used to eliminate any remaining cancer cells and help prevent the recurrence of the tumor. In advanced stages, it is used to relieve symptoms such as bone pain or headaches caused by metastases, thereby improving the patient’s quality of life.
Third: Chemotherapy
Chemotherapy is a crucial method of drug treatment that targets cancer cells throughout the body. It primarily focuses on eliminating cancer cells that have spread. This treatment often utilizes drugs based on platinum compounds, such as cisplatin or carboplatin, in combination with other medications like gemcitabine. Chemotherapy can be administered before surgery to reduce the size of a tumor or after surgery to eliminate any remaining cancer cells. Additionally, it is used in advanced stages of cancer to control the disease and alleviate symptoms.
IV: Targeted Therapy
Although gene mutations are less common in squamous cell lung cancer than in other types, some patients may benefit from special drugs such as afatinib after chemotherapy has failed. Angiogenesis inhibitors such as ramucirumab can also be used in combination with chemotherapy to stop the tumor’s supply of oxygen and nutrients, limiting its growth and spread.
V: Immunotherapy
Immunotherapy has revolutionized the treatment of lung cancer by activating the immune system to recognize and destroy cancer cells. This treatment is used in advanced stages or after conventional treatments have failed, and is often combined with chemotherapy to increase its effectiveness. It relies on drugs called immune checkpoint inhibitors, which reactivate immune cells to attack the tumor and have improved survival rates in many patients.
After completing treatment, patients undergo regular medical follow-up, including clinical and imaging tests, to ensure the condition is stabilized and to detect early signs of recurrence, increasing the chances of rapid intervention and maintaining treatment outcomes.
Squamous cell lung cancer prevention
Prevention of squamous cell lung cancer is the most important step in limiting its spread, as most cases can be avoided by minimizing exposure to known causative factors. Smoking cessation is the most effective way, as the risk gradually decreases after stopping smoking to approach the level of non-smokers over time. It is also advisable to avoid enclosed smoking areas and stay away from secondhand smoke as much as possible.
Another protective factor is limiting exposure to carcinogens such as asbestos, nickel, and chromium in the workplace by using personal protective equipment and following occupational safety instructions. It is also advisable to check homes for radon, a naturally occurring radioactive gas that can seep from the soil into indoor spaces and increase the risk of lung cancer when it accumulates.
In addition to these measures, a healthy lifestyle that includes balanced nutrition, regular physical activity, and maintaining an appropriate weight can support the body’s immunity and reduce the likelihood of developing both chronic and cancerous diseases.
In conclusion, squamous cell lung cancer is the most prevalent smoking‑related type of lung cancer, and prevention through early cessation remains the most effective way to reduce its risk. Timely detection combined with comprehensive treatment greatly enhances recovery prospects and improves patients’ quality of life. At Bimaristan Medical Center in Turkey, advanced diagnostic technologies and modern therapeutic approaches are provided under the supervision of specialized physicians, ensuring holistic care that aligns with international standards.
Sources:
- LUNGevity Foundation. (2025). Squamous Cell Lung Cancer.
- Harvard Health Publishing. (2025). Squamous Cell Carcinoma of the Lung: A to Z.
What is the impact of lung surgery on breathing following lobectomy or pneumonectomy?
