.floating_btn{ display:none !important; } .println-contact-form-button-element{ display:none !important; }
تُعدّ صحة اللثة حجر الأساس لصحة الفم والأسنان، إلا أنّها غالبًا ما تُهمَل مقارنةً بالتركيز الشائع على تسوّس الأسنان. فالأمر لا يقتصر على ابتسامة جميلة، بل يمتد ليشمل الحفاظ على ثبات الأسنان ووظائفها الحيوية، بل وحتى التأثير في الصحة العامة للجسم. ويُعد ألم اللثة من أكثر المشكلات شيوعًا، إذ يمكن أن يظهر على شكل احمرار، تورّم، نزيف، أو إحساس بعدم الراحة، وهي علامات قد تبدو بسيطة لكنها قد تُخفي خلفها اضطرابات تتراوح بين التهيّج المؤقت والأمراض اللثوية المتقدمة.
تنشأ آلام اللثة نتيجة مجموعة واسعة من العوامل وتكمن خطورة هذه المشكلة في أنّها قد تتطور بصمت دون ألم واضح في مراحلها الأولى، مما يؤدي إلى تفاقم الحالة وحدوث مضاعفات قد تصل إلى فقدان الأسنان إذا لم يتم التدخل في الوقت المناسب. في هذا المقال، سيتم استعراض أبرز أسباب ألم اللثة والتهابها بشكل شامل، مع توضيح العوامل المؤثرة فيها، إضافةً إلى تقديم إرشادات عملية تساعد على الوقاية والحفاظ على لثة سليمة، بما يضمن صحة فموية متكاملة تدوم على المدى الطويل.
أسباب ألم اللثة
هناك أسباب مختلفة وعديدة لالتهاب اللثة وألمها، مهما كانت أسباب آلام اللثة فهناك خطوات يمكنك اتخاذها لتقليل تضرر اللثة وشعور عدم الراحة،
التهاب اللثة
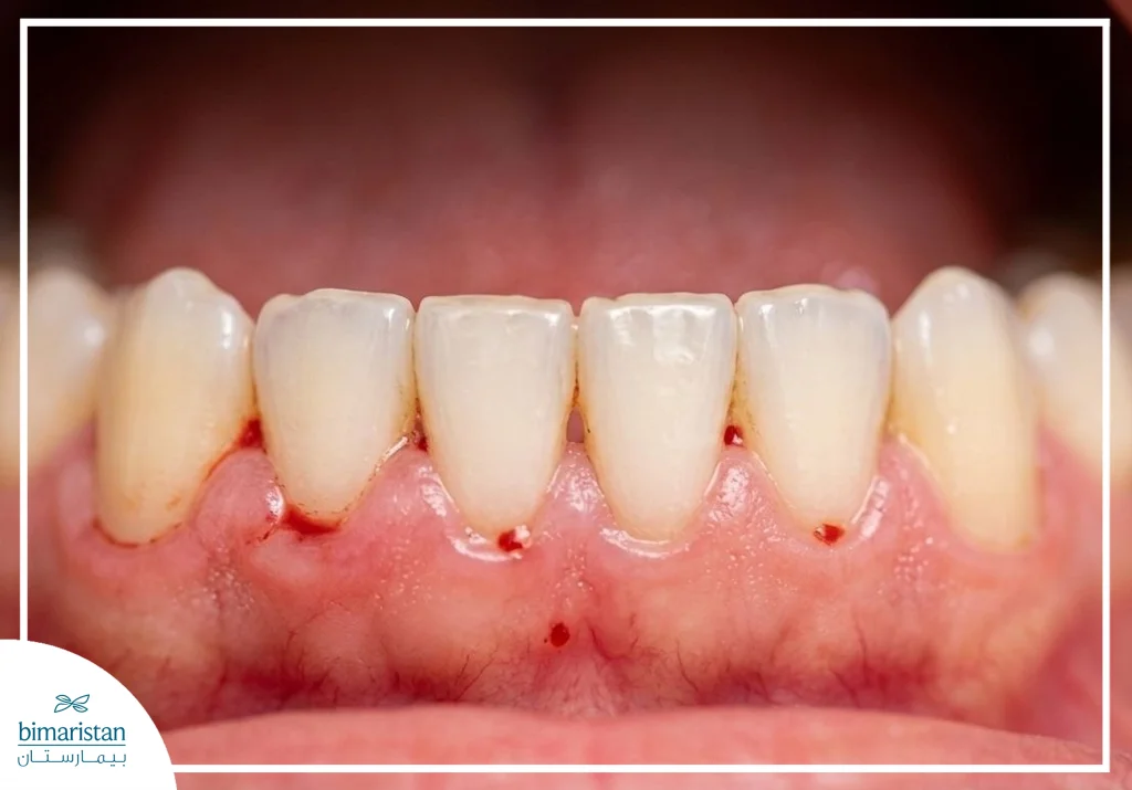
تسمى المرحلة الأولى من مرض اللثة باسم التهاب اللثة، وهو عدوى تصيب الأنسجة المحيطة بالأسنان وينتج في معظم الأحيان عن تراكم اللويحة السنية على سطوح الأسنان. من أسباب ألم اللثة والتهابها عندما لا يقوم الشخص بالعناية بنظافة أسنانه بطريقة صحيحة تتراكم في الفم طبقة اللويحة التي تحتوي على البكتيريا وتتراكم على سطوح الأسنان فتتسبب هذه البكتيريا الإصابة وحدوث التهابات اللثة مما يؤدي إلى نزيف أو احمرار اللثة وتورمها.
الإصابة بالتهاب اللثة يمكن الشفاء منه في مراحله المبكرة من خلال المحافظة على نظافة فم مناسبة ولكن إذا تُرك الالتهاب دون علاج يمكن أن يتفاقم ويكون السبب في فقدان الأسنان في النهاية. قد تكون التهابات اللثة عند معظم الأشخاص المصابين غير مترافقة مع الشعور بالألم وهنا تكمن أهمية المهم تحديد موعد لفحوصات الأسنان المنتظمة عند طبيب الأسنان. يجب مراجعة طبيبي الأسنان حتى في حال عدم وجود شكوى عند ظهور الأعراض التالية:
- تغير في طريقة انطباق الأسنان معاً عند العض أو في انطباقها مع أطقم الأسنان الجزئية
- تشكل جيوب عميقة بين الأسنان واللثة
- انتفاخ اللثة في الفك العلوي مع أو بدون ألم
- اللثة التي تنزف أثناء وبعد تنظيف الأسنان بالفرشاة
- أسنان متقلقلة أو منزاحة
- رائحة فم كريهة المستمرة أو الطعم السيئ في الفم
- انحسار وتراجع اللثة
- الألم اللثوي حول الضرس
- لثة حمراءأو مؤلمة
عندما يتطور التهاب اللثة يتحول إلى التهاب دواعم السن الذي يُعد سببًا شائعًا لألم وأذية اللثة والعظام المثبتة للأسنان في مكانها. تفرز البكتيريا الموجودة على الأسنان مواد سامة تضر باللثة وتتسبب في إصابتها بالعدوى، يمكن للعدوى والالتهابات التي تحدث عندما يهاجم الجسم البكتيريا أن تؤدي إلى تدهور اللثة الملتهبة وعظام الفك بشكل أكبر، في هذه الحالة قد يوصي طبيب الأسنان بإجراء عملية جراحية لإصلاح فقدان العظام أو اللثة الذي تسببت فيه الحالة.
لذايجب الحذر في حال كانت اللثة منتفخة ومؤلمة ونازفة بالشكل المزمن لأنه في حال إهمال الحالة وعدم علاجها قد تؤدي إلى فقدان الأسنان وتحتاج لتعويض هذه الأسنان المفقودة بالزرع لاستعادة الوظائف الفيزيولوجية مجدداً.

طرق تنظيف الأسنان بالفرشاة
قد يكون من أسباب ألم اللثة والتهابها تنظيف الأسنان بقوة كبيرة في محاولة للحفاظ على الأسنان نظيفة، ولكن تنظيف الأسنان بالفرشاة بطريقة خاطئة قد يحدث تلف بالأنسجة الدقيقة المشكلة للثة. سواء فرشاة أسنان يدوية أو كهربائية، يجب اختيار فرشاة بشعيرات نايلون ناعمة ذات نهايات غير حادة والحذر من استعمال الفرش ذات الشعيرات المتوسطة أو القاسية فهي تتلف ميناء الأسنان أو تسبب احمراراً وتورماً في اللثة. عند تنظيف الأسنان بالفرشاة يجب التأكد من استخدام حركات دائرية لطيفة لتدليك الأسنان واللثة وتنظيفها. رغم أن العديد من الأشخاص يفضلون استخدام حركة أمام وخلف، إلا أن هذه الحركة قد أن تهيج اللثة وتؤذيها مما يجعلها مؤلمة وأكثر عرضة للنزيف وتراجع وانحسار اللثة.
استخدام الخيط السني
يعد استخدام الخيط السني مهمًا بشكل يومي للمساعدة في إزالة اللويحة السنية وبقايا الطعام من الأماكن التي لا تملك فرشاة الأسنان القدرة على الوصول إليها. للتأكد من أن العادات الصحية ليست من أسباب ألم اللثة وتورمها أو نزيفها يجب معاملة الأسنان بلطف عند استخدام الخيط، بدلاً من وضع الخيط بين الأسنان ودفعه بقوة حركه بلطف لأعلى ولأسفل متبعاً منحنى كل سن.

الحروق
من أسباب ألم اللثة الحروق سواء بالأطعمة الساخنة أو المشروبات الساخنة ونسيان التفاصيل الحاصلة ومن ثم الشعور بالآلام في وقت لاحق في المنطقة المحروقة. إذا لم يتم الاستمرار في تهييج الحرق بالأطعمة الساخنة أو التنظيف المكثف العنيف بالفرشاة فعادة ما تلتئم أنسجة اللثة في غضون 10 أيام إلى أسبوعين.
قرحات الفم
من أسباب ألم اللثة الشائعة هي تقرحات الفم، يمكن أن تتطور هذه القروح المؤلمة في أي مكان داخل الفم بما في ذلك اللثة وغالباً ما يكون مركزها أبيض اللون مع حواف حمراء. هذه المناطق المتقرحة ليست معدية وغالباً ما يتكرر حدوثها بمرور الوقت، قد تظهر قرحة واحدة في منطقة واحدة فقط من اللثة أو قد تظهر تقرحات متعددة في نفس الوقت في جميع أنحاء الفم. لايزال سبب ظهور القروح مجهولاً إلا أنه في بعض الأحيان قد يكون هناك تورط بكتيري أو فيروسي، كما أن الأشخاص المصابين ببعض أمراض المناعة الذاتية يكونون أكثر عرضة للإصابة بمشاكل في اللثة ناجمة عن قروح الفم.
العلاج الكيميائي
يمكن أن يكون للعلاج الكيميائي أحد أسباب ألم اللثة نتيجة عدد من الآثار الجانبية غير السارة بما في ذلك الإحساس باللثة النازفة وانتفاخها، حيث يعاني الكثير من الأشخاص الذين يخضعون للعلاج الكيميائي للسرطان من التهاب الأغشية المخاطية اللثوية مما يتسبب في تكوّن تقرحات مؤلمة على اللثة وفي جميع أنحاء الفم.
منتجات التبغ
يمكن أن يكون استخدام السجائر ومنتجات التبغ الأخرى ضاراً للغاية باللثة ومن أهم أسباب ألم اللثة فالأشخاص الأكثرعرضة للإصابة بأمراض اللثة هم الأشخاص المدخنين. عادة التدخين تسبب عدداً من مشاكل اللثة من اللثة الحساسة النازفة إلى القروح المؤلمة.
التهاب الجيوب الأنفية
يمكن أن تسبب العدوى البكتيرية أو الفيروسية في الجيوب الأنفية تورماً في تجويف الجيوب الأنفية فيعاني بعض الأشخاص المصابين به من آلام اللثة والأسنان.
التغيرات الهرمونية
تعد التغيرات الهرمونية لدى النساء من أسباب ألم اللثة وتورمها في عديد من الحالات.
البلوغ
يمكن أن يؤدي ارتفاع الهرمونات خلال فترة البلوغ إلى زيادة تدفق الدم إلى اللثة مما يجعلها حمراء ومتورمة وحساسة.
الحيض
بالنسبة للنساء المصابات بالتهاب اللثة خلال فترة الحيض تصبح اللثة حمراء ومتورمة وأكثر عرضة للنزيف قبل فترة وجيزة من كل دورة شهرية وعادة ما تهدأ هذه المشاكل بعد بدء الدورة.
الحمل
يبدأ التهاب اللثة أثناء الحمل عادةً في الشهر الثاني أو الثالث من الحمل ويستمر حتى الشهر الثامن مما يتسبب في التهاب اللثة وتورمها ونزيفها.
كما قد يسبب استخدام منتجات موانع الحمل الفموية في حدوث مشكلات مماثلة في اللثة.
انقطاع الطمث
على الرغم من أنه أمر غير شائع، قد تجد بعض النساء اللواتي يعانين من انقطاع الطمث أيضاً أن لثتهن أصبحت جافة للغاية وبالتالي مؤلمة وتنزف بسهولة.
خراج الأسنان
تشكل العدوى بجوار جذر السن خراجاً يمكن أن يؤدي إلى التهاب وتورم اللثة فيكون من أسباب ألم اللثة. إذا قام طبيب الأسنان بتشخيص وجود خراج الأسنان فسيكون عليه البدء بعلاجه فوراً غالباً ما يستلزم إجراء معالجة قناة جذر السن.
أطقم الأسنان الكاملة والجزئية
أطقم الأسنان بأنواعها الكاملة والجزئية التي لا تتلاءم بشكل صحيح من أسباب ألم اللثة وتهيجها، يمكن أن يؤدي هذا التهيج المستمر إلى تلف الأنسجة وأمراض اللثة. يجب التواصل مع طبيب الأسنان لإعادة ضبط ملاءمة أطقم الأسنان والتخلص من آلام اللثة.
نقص الفيتامينات
تدعم التغذية السليمة صحة الفم الجيدة والتي تشمل الحصول على ما يكفي من فيتامين ب وفيتامين سي. يمكن أن يعد نقص الفيتامينات مثل الاسقربوط من أسباب ألم اللثة فيلاعدد من الحالات نتيجة تورم اللثة والتهابها إلى جانب أعراض أخرى. يمكن أن يعالج نقص الفيتامينات بالحفاظ على نظام غذائي صحي ومتوازن يلبي المتطلبات اليومية الموصى بها من الفيتامينات والمعادن.
متى يجب زيارة طبيب الأسنان؟
توجد علامات وأعراض تشير إلى ضرورة مراجعة طبيب الأسنان في الوقت المناسب لتجنب تفاقم مشاكل اللثة والحفاظ على صحة الفم، فيما يلي أهم العلامات والأعراض:
- عند ملاحظة نزيف اللثة أثناء أو بعد تنظيف الأسنان.
- في حال استمرار تورم اللثة أو احمرارها لفترة طويلة.
- عند الشعور بألم مستمر في اللثة أو حول أحد الأسنان.
- إذا ظهرت رائحة فم كريهة أو طعم غير مستحب بشكل دائم.
- عند ملاحظة تراجع أو انحسار اللثة عن الأسنان.
- في حال وجود حركة أو تخلخل في الأسنان.
- عند تشكّل جيوب عميقة بين اللثة والأسنان.
- إذا تغيّر انطباق الأسنان أو طريقة الإطباق عند العض.
- عند ظهور تقرحات في الفم لا تلتئم خلال فترة قصيرة.
- في حال الاشتباه بوجود خراج أو تورم مؤلم في اللثة.
نصائح لمنع ألم اللثة وتورمها ونزيفها
- تنظيف الأسنان بالفرشاة مرتين كل يوم على الأقل، مع اتباع أسلوب التنظيف المناسب واللطيف.
- استعمال الخيط مرة يومياً، لا يستغرق الأمر أكثر من بضع دقائق ولكن التنظيف بالخيط قد يكون أهم شيء يمكنك القيام به للوقاية من مشاكل اللثة الآن وفي المستقبل.
- استعمال غسول الفم يومياً، فغسول الفم المطهر يقتل البكتيريا التي تسبب أمراض اللثة.
- تناول نظام غذائي متوازن، قد يقلل النظام الغذائي المتوازن بما في ذلك الكثير من فيتامين C والكالسيوم من احتمالية الإصابة بمشاكل في اللثة.
- شرب الكثير من الماء، يمكن أن يساعد شرب الماء خاصة بعد الأكل في تنظيف الأسنان من الطعام وتقليل احتمالية تكوين البكتيريا لويحات ضارة باللثة.
- لا للتبغ، محاولة الإقلاع عن تدخين السجائر أو استخدم منتجات التبغ الأخرى.
- الحذر بشأن الأطعمة والمشروبات شديدة السخونة أو البرودة، عندما تكون هناك مشاكل في اللثة يتم الشعور براحة أكبر في تناول الأطعمة والمشروبات الفاترة.
- الاسترخاء، يزيد الإجهاد من مستويات هرمون التوتر الكورتيزول مما يزيد من احتمالية حدوث الالتهابات في جميع أنحاء الجسم بما في ذلك اللثة.
- الحرص على المحافظة على الزيارات الدورية لعيادة الأسنان فقد يكون جوف الفم بحاجة لإجراء تنظيف عميق للثة لتجنب حدوث التهاب اللثة بشكل دوري.
في الختام، يُعد ألم اللثة إشارة لا ينبغي تجاهلها، إذ قد يعكس مشكلات بسيطة أو حالات أكثر تعقيدًا تتطلب تدخلاً مبكرًا. إن العناية اليومية الصحيحة بالفم، إلى جانب المتابعة الدورية مع طبيب الأسنان، تُسهم بشكل كبير في الوقاية والحفاظ على صحة اللثة والأسنان. ومع التطور المستمر في طب الأسنان، برزت تركيا كوجهة متقدمة في تقديم علاجات حديثة وفعّالة. ومع ذلك، تبقى الوقاية والاهتمام المستمر هما الأساس لضمان صحة فموية تدوم طويلًا.
المصادر:
