Lung cancer is one of the most common cancers and presents a treatment challenge because lung tissue is sensitive and located close to vital organs in the chest. As modern treatment approaches continue to evolve, options for managing lung cancer now include more precise techniques designed to improve tumor control while reducing effects on surrounding healthy tissue.
Proton therapy for lung cancer is one of these advanced approaches. It uses highly targeted radiation directed at the tumor, and this method has gained growing attention for its ability to focus treatment more precisely. As a result, proton therapy for lung cancer may be considered for certain patients based on specific medical factors.
What is proton therapy for lung cancer?
Proton therapy is a type of radiation therapy that uses a beam of protons to direct high energy directly to tumor cells with the aim of damaging and destroying them. This type of treatment depends on the distinctive physical properties of protons, which allow the radiation to be directed more accurately based on the size and shape of the tumor, helping target cancer cells while preserving a larger percentage of surrounding healthy tissues.
Proton therapy is an advanced form of radiation therapy that uses positively charged particles instead of conventional X-rays. Its importance lies in the ability to control where the proton beam stops within the body at a specific depth, limiting exposure of healthy tissue before and after the tumor to radiation, and may contribute to reducing some of the side effects associated with radiation therapy.
How does proton therapy work in treating lung cancer?
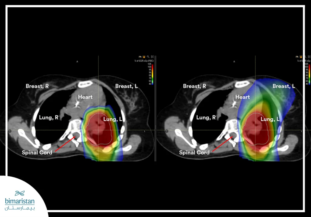
Proton therapy for lung cancer relies on directing a highly precise beam of protons toward the tumor, allowing most of the radiation energy to be deposited within the cancer cells themselves. This precise targeting helps shrink the tumor or destroy malignant cells while preserving the surrounding healthy tissues, an essential advantage given the proximity of lung tumors to vital organs within the chest.
Proton therapy is used as a primary treatment for patients with non‑small cell lung cancer, either alone or in combination with other treatments such as chemotherapy or surgery. It is also used in cases of localized small cell lung cancer, as well as in situations where the tumor is confined to the chest and has not spread to distant organs. Its precision enables radiation delivery to the tumor while minimizing damage to the lungs and adjacent organs.
This level of precision enables clinicians to deliver high radiation doses directly to the tumor while reducing exposure of healthy tissues. Specialized techniques are also employed to limit the impact of respiratory motion during treatment, helping improve targeting accuracy and reduce radiation exposure to the heart, the opposite lung, and other structures within the chest.

When is proton therapy used for lung cancer, and which patients are suitable for it?
Proton therapy is not considered an appropriate option for all patients with lung cancer. The decision depends on a thorough, individualized assessment, during which the medical team evaluates several factors to determine whether this treatment is suitable. The most important considerations include:
- The location of the tumor within the chest and its proximity to vital organs
- Disease stage and pattern of spread
- Tumor size and characteristics
- Patient’s general health status
- Previous treatments the patient has undergone
This comprehensive evaluation aims to identify patients who are most likely to benefit from proton therapy while minimizing unwanted effects on the healthy tissues surrounding the tumor.
Benefits of proton therapy for lung cancer
Proton therapy for lung cancer enables the delivery of high‑dose radiation precisely to the tumor while reducing exposure to surrounding healthy tissues, an important advantage given the proximity of lung tumors to critical structures in the chest. Its key benefits include:
- Minimize radiation exposure to healthy lungs, heart, esophagus, and spinal cord
- Lower rates of certain side effects, such as pneumonia and esophagitis
- Higher radiation doses can be delivered to the tumor with better accuracy
- Reduced risk of treatment-related respiratory or cardiac issues
- Improved quality of life for some patients
- Treatment is non-invasive, painless, and often provided without the need for hospitalization
Preparing for proton therapy for lung cancer
Proton therapy for lung cancer requires meticulous planning to ensure that the proton beam is delivered with high precision to the lung tumor, taking into account respiratory motion and the tumor’s proximity to vital chest organs. A multidisciplinary medical team participates in this phase, and preparation may take several weeks before treatment begins. The main steps include:
- Medical imaging: A CT scan or MRI is performed to determine the exact location and size of the lung tumor, as well as evaluate neighboring chest organs.
- Simulation and positioning: During lung tumor therapy, the most appropriate patient position is determined, with stabilizers used to maintain that position for each session, and markers may be placed on the skin to guide treatment.
- Dose planning: A radiation oncologist determines the amount of radiation needed to target a lung tumor, while planners determine the exact path and depth of penetration of the proton beam.
- Quality assurance: Physicists perform precise checks to ensure the proton therapy reaches the lung tumor at the correct dose and angles before each session begins.
Steps of proton therapy for lung cancer
Proton therapy for lung cancer is typically delivered as an outpatient treatment in a specialized center and often requires multiple sessions administered over several weeks. The sessions take place in a dedicated treatment room equipped with a device known as Gantry, a large mechanical arm that precisely directs the proton beam toward the lung tumor from different angles. A proton therapy session for lung cancer proceeds through the following steps:
- Position stabilization: The patient is placed on the treatment table in a predetermined position to ensure accurate targeting of the lung tumor, using stabilizers to maintain stability during the session.
- Pre-session imaging verification: Radiographs or other imaging tests are performed to ensure the lungs and chest are correctly positioned according to the treatment plan.
- Proton beam alignment: The gantry device is adjusted so that the proton beam precisely aligns with the pre-determined location of the lung tumor.
- Radiation dose delivery: The process of sending protons toward the tumor begins, and the beam may be directed from multiple angles depending on the treatment plan.
- Monitoring and beam adjustment during the Session: The treatment is continuously monitored, and the beam may be turned on and off or adjusted as needed, particularly to account for respiratory motion.
In some cases, advanced techniques such as Pencil Beam Scanning are used, in which a highly precise proton beam targets the lung tumor layer by layer, minimizing radiation exposure to healthy lung tissue.
Outcomes and follow-up after proton therapy for lung cancer
Available clinical data indicate that proton therapy for lung cancer can achieve good tumor control in selected patients while maintaining an acceptable safety profile. Studies have shown that the precision of proton delivery enables effective radiation doses to reach the tumor while limiting exposure to surrounding healthy tissues, thereby positively influencing overall treatment outcomes.
Several studies have also reported encouraging rates of local tumor control and progression‑free survival during follow‑up periods, with relatively low rates of severe radiation‑related toxicity. Patients generally tolerate treatment well, whether they receive proton therapy alone or in combination with other treatments. However, outcomes can vary depending on the stage of the disease and tumor characteristics.

Follow-up after proton therapy for lung cancer
After completing proton therapy sessions for lung cancer, patients undergo a regular follow‑up program aimed at assessing the treatment response and monitoring the condition over the medium and long term. Follow‑up typically includes:
- Periodic medical visits to assess the general condition and review the treatment plan
- Periodic imaging scans, such as CT scans, to monitor the location and size of the tumor
- Evaluate disease progression and make appropriate treatment decisions when needed
Regular follow‑up is considered an essential part of the treatment plan, as it helps document treatment outcomes and ensures continuity of medical care in an organized manner.
Possible side effects of proton therapy for lung cancer
Proton therapy for lung cancer is designed to minimize side effects as much as possible by precisely directing radiation to the tumor and limiting exposure to nearby healthy tissues. However, some side effects may still occur, as with any form of radiation therapy, and they often develop gradually during or after treatment. The most common side effects in lung cancer patients include:
- General fatigue or low energy level
- Esophagitis, which can cause discomfort while swallowing
- Skin irritation at the proton beam entry site, sometimes resembling mild sunburn
- Localized redness or tenderness in the treated area
- Localized hair loss in the irradiated region
The nature and severity of side effects depend on several factors, including the treatment site within the chest and the radiation dose used. Although proton therapy generally affects healthy tissues less than conventional radiation therapy, a portion of the radiation energy may still reach normal tissues near the tumor.
Proton therapy for lung cancer is an advanced treatment option that relies on highly precise radiation delivery to the tumor while minimizing exposure to surrounding healthy tissues. Studies have shown that this approach can yield encouraging outcomes in selected patient groups. Nevertheless, the decision to use proton therapy must be based on a comprehensive medical evaluation of each case by a specialized team to determine the most appropriate treatment option and achieve the best possible balance between therapeutic effectiveness and quality of life.
Sources:
- MD Anderson Cancer Center. (n.d.). Proton therapy for lung and thoracic cancer.
- Fred Hutchinson Cancer Center. (2025, December 19). Proton therapy for lung cancer. Fred Hutchinson Cancer Center.
