.floating_btn{ display:none !important; } .println-contact-form-button-element{ display:none !important; }
In recent years, foot fractures have become a significant portion of lower extremity injuries. Research indicates that the incidence of foot fractures was approximately 138.7 cases per 100,000 people annually in 2019. Furthermore, additional studies suggest that foot fractures may account for nearly one-third of all lower limb fractures in adults.
This growing prevalence is linked to multiple causes, including accidents, falls from height, and what are classified as low‑energy injuries. Evidence indicates that approximately 98.7% of foot fractures result from low‑energy trauma. These findings underscore the significant public health burden posed by foot fractures and emphasize the importance of accurate diagnosis, timely treatment, and effective screening strategies for patients.
What is a foot fracture?
Foot fractures are among the most frequent lower limb injuries, involving one of the 26 bones of the foot, including the heel, metatarsals, and toes. The severity of foot fractures varies from minor micro‑fractures in small bones to complete fractures requiring surgical stabilization. Clinicians note that fractures of the forefoot bones are the most common, followed by heel and ankle fractures, which in some cases may extend to the lower leg bones.
Research indicates that metatarsal and heel fractures are particularly common among athletes and workers who spend long hours standing. Foot fractures may also occur alongside other injuries, such as ankle or tibial fractures, in severe accidents. Accurate diagnosis and early follow‑up are crucial to prevent complications and to restore normal mobility and function.

Types of foot fractures
Foot fractures can vary in location and severity. Identifying the type of fracture relies on clinical examination and radiographic results. Understanding the type of fracture is essential for creating an effective treatment plan and estimating the recovery time. Below are the most common types of foot fractures encountered in clinical practice:
Heel fracture
It is one of the most serious fractures of the foot, often caused by a fall from a height or a traffic accident. This type of fracture may extend to the joint below the ankle, resulting in severe swelling, severe pain, and difficulty in moving the foot. It is considered a complex injury that may require careful surgical stabilization to prevent foot deformity or the development of arthritis later.
Metatarsal fracture
It is a prevalent fracture, especially in athletes and workers who stand for long periods of time, and may be a simple fracture resulting from repetitive stress or direct trauma. In simple cases, it is treated with immobilization or splinting, while multiple or displaced fractures may require surgical intervention. Neglecting treatment may lead to foot imbalance while walking or running.
Concomitant ankle fracture
This occurs when the fracture extends into the ankle joint or into adjacent bones, such as the tibia or fibula. It is more complicated because it affects joint stability and the function of the foot as a whole. Most of these cases require surgery to restore normal bone alignment and prevent premature joint stiffness.
Stress fracture
It is caused by repetitive stress on the bones and is most commonly seen in runners or military personnel. It appears gradually without an apparent prior injury, and is associated with chronic pain that increases with activity and decreases with rest. In this case, the patient needs prolonged rest and physical therapy to prevent the simple fracture from manifesting into a complete fracture.
Broken toes
It is a common, usually simple fracture, often caused by a direct blow or by a heavy object falling on the foot. Despite its simplicity, neglecting it can lead to joint stiffness or a permanent deviation of the affected finger. It is often treated with simple immobilization or strapping to the neighboring finger.
Causes of foot fractures
Foot fractures are caused by a variety of factors that affect the strength of the bones or expose them to direct injury or repeated stress. Medical statistics indicate that the most common causes are related to accidents, daily activities, and sports, in addition to diseases that weaken the bone structure and make it more prone to fracture. Among the most important of which are:
- Sudden falls or twisting: Falling or twisting your foot is one of the most common causes of foot fractures, especially in the elderly or during sports activities.
- Sports injuries: Sports that rely on running or jumping, such as soccer, basketball, or long-distance running, expose the foot to repetitive stress that leads to stress fractures.
- Traffic accidents or falls from a height: Injuries resulting from violent trauma cause complex fractures involving the heel, ankle, and neighboring bones, sometimes extending to the leg.
- Repetitive strain or overload: Overuse of the foot without adequate rest periods leads to frequent microfractures, especially in runners and military personnel.
- Osteoporosis: This is a common condition that weakens bones and makes them more prone to fractures, even under minor pressure or after falls.
- Inflammation of the joints: Chronic inflammation weakens the articular and bony structures in the foot, increasing the risk of spontaneous or traumatic fractures.
- Metabolic disorders and vitamin D deficiency: These conditions weaken bones, making them more fragile, especially the vertebrae, long bones, and feet.
- Diabetes and its complications: Poor blood perfusion and loss of nerve sensation in the foot in diabetic patients increase the likelihood of fractures occurring without the patient noticing them immediately.
Symptoms of foot fractures
Symptoms of foot fractures usually appear immediately after the injury, and their severity varies depending on the location and type of fracture. Some fractures are evident from the first moment, while minor or stress fractures may go unnoticed. Recognizing these symptoms is essential for obtaining early diagnosis and treatment to avoid long-term complications:
- Sudden, sharp pain in the foot: This is the most common symptom, as the patient feels severe pain that increases when trying to stand or walk, and may extend to the ankle or leg depending on the location of the fracture.
- Significant swelling and puffiness: This is caused by inflammation and blood pooling around the fracture site and is usually noticeable shortly after the injury.
- Bruising or discoloration of the skin: Indicates minor internal bleeding around the fractured bone, often appearing a few hours after the injury.
- Foot deformity or misalignment: In severe or displaced fractures, the shape of the foot or the angle of the joint may change significantly.
- Difficulty or inability to walk or carry weight: The patient has difficulty moving or standing on the foot due to pain or loss of structural stability.
- A crackling sensation or sound: A cracking sound can be heard or felt at the time of injury, which is evidence of a broken bone.
- Numbness or weakness in the fingers: May result from nerve irritation or pressure from swelling, indicating the need for immediate medical evaluation.
Diagnosing foot fractures
Diagnosis of foot fractures relies on combining meticulous clinical examination with medical imaging techniques to determine the location and severity of the fracture accurately. The physician aims to exclude concomitant injuries such as ligament tears or nerve damage and to ensure an appropriate treatment plan for each case. Diagnostic methods vary according to the type and severity of the injury. The following are the main approaches adopted in medical practice:
Clinical examination
The diagnosis of foot fractures usually begins with a physical examination, during which the physician assesses the shape and mobility of the foot, applying pressure to specific areas to identify the site of pain and swelling. Circulatory integrity and neurological sensation in the foot and toes are also evaluated. Clinical examination serves as an initial step to estimate the severity of the injury and to guide the decision regarding the need for radiographic imaging. In cases of minor or stress fractures, the physician may rely on this preliminary assessment with periodic follow‑up to monitor improvement.
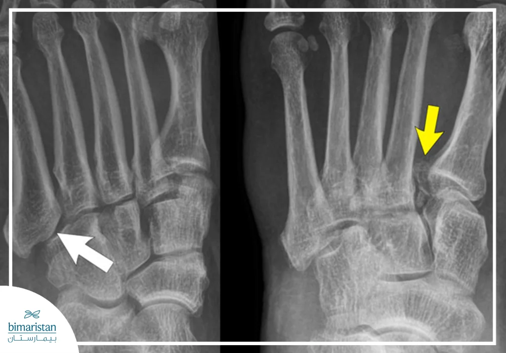
X-ray imaging
X‑ray imaging is considered the primary method for diagnosing most cases of foot fractures, as it provides precise visualization of the fracture site and helps determine whether the fracture is closed or open, simple or multiple. It is typically used as the first option following clinical examination and is essential for guiding the physician’s decision regarding immobilization or surgical intervention. In many cases, imaging is performed from multiple angles to obtain a comprehensive view of the bone structure.

Computed Tomography (CT)
This examination is used when X‑rays are insufficient to reveal bone details accurately, particularly in complex foot fractures such as calcaneal fractures or fractures of the subtalar joint. CT provides three‑dimensional images that allow the physician to assess the degree of bone fragmentation and the alignment of bone fragments. It is considered an essential tool before surgical planning or when a detailed evaluation of post‑fracture complications is required.
Magnetic Resonance Imaging (MRI)
MRI is employed to evaluate the soft tissues surrounding the bone, including ligaments, tendons, and cartilage. It is also an effective method for detecting stress foot fractures that may not appear on early X‑ray imaging. MRI is indicated when pain persists despite the absence of a clear fracture on conventional radiographs, or when there is suspicion of joint or ligament damage.

Additional examinations
A bone scan is used to detect minor foot fractures or to evaluate bone healing after treatment. Bone mineral density testing (DEXA) is performed when chronic osteoporosis is suspected, which increases the risk of fractures. These examinations are considered complementary and are used when conventional imaging is insufficient to determine the cause of symptoms or delayed healing.
How to treat foot fractures
The management of foot fractures depends on the severity of the injury, the type of fracture, and its location within the foot. The primary goals of treatment are to restore normal bone alignment, relieve pain, and prevent long‑term complications. Conservative methods are applied in simple, non‑displaced fractures, while complex or open fractures require surgical intervention to achieve proper healing and restore normal foot function. The main treatment approaches include:
Conservative (non-surgical) treatment
This method is typically used for simple or non‑displaced foot fractures, where there is no clear separation between bone fragments. It involves immobilization with a cast or orthopedic shoes to restrict movement, along with rest and elevation of the foot to reduce swelling and improve circulation. Patients are also advised to apply ice during the first few days to relieve pain. A gradual physiotherapy program follows to restore mobility and strength. This approach is effective when the fracture is stable and usually results in complete healing within 6 to 8 weeks without the need for surgery.
Pharmacological treatment
Medication is used to relieve symptoms and accelerate recovery, and it is suitable for all types of foot fractures. Analgesics are prescribed to reduce pain and inflammation, while antibiotics are indicated in open fractures to prevent infection. Calcium and vitamin D supplements are recommended to support bone healing, and bisphosphonates may be prescribed for osteoporosis that increases fracture risk.
Surgical treatment
This approach is used for displaced, complex, or open foot fractures, as well as in cases where conservative treatment methods have not been effective. The goal of surgical intervention is to restore the natural alignment of the bones and stabilize them with metallic fixation devices, ensuring proper healing and preventing deformities. The key steps in the procedure include:
- Anesthesia and surgical preparation: The patient undergoes general or spinal anesthesia depending on the location of the fracture, and then the foot area is thoroughly sterilized to reduce the risk of infection.
- Re-alignment: The surgeon returns the bone fragments to their normal positions, ensuring proper alignment to avoid future walking issues.
- Internal fixation: Screws, plates, or metal rods are used to stabilize the bone. The type of fixation is determined by the size and complexity of the fracture.
- Evaluating foot stability and circulation: Ensuring the joint is stable, and there is no pressure on nerves or blood vessels.
- Closing and bandaging the wound: The layers of skin are carefully closed, and a bandage and splint are applied to protect the foot.
- Post-operative follow-up and rehabilitation: The patient begins a gradual physical therapy program to enhance strength and flexibility, continuing for several weeks under the medical team’s supervision to ensure full recovery and normal foot function.
Complications of foot fracture surgery
Although surgical treatment for foot fractures is necessary in many complex cases, it may be accompanied by some complications that patients should anticipate and discuss with the medical team before the procedure. These complications include potential effects on the bones, joints, and nerves surrounding the foot. Some of the most important complications include:
- Infection at the surgical site: A superficial or deep infection can occur after surgery, sometimes requiring antibiotics or additional surgery to remove infected tissue.
- Excessive bleeding during or after surgery: May result in severe blood loss requiring a blood transfusion or additional procedures.
- Failure of bone healing: In some cases, the fracture may not heal completely, leading to abnormal bone movement and necessitating reoperation.
- Nerve injury or loss of sensation: During surgery, a nerve may be compressed or damaged, leading to numbness or weakness in the toes or the ankle.
- Persistent pain after surgery: Despite successful surgery, some patients may experience persistent pain due to inflammation or joint stiffness.
- Movement or breakage of fixation devices: Screws or plates may shift or fracture, requiring medical review and possibly re‑fixation of the bone.
- Wound healing problems and scarring: Delayed skin healing or the formation of large scars may occur, necessitating close medical monitoring to ensure proper recovery.
Advantages of treating foot fractures in Turkey
Turkey is a leading medical destination for treating foot fractures, combining advanced surgical expertise with modern technologies to provide comprehensive patient care. Turkish hospitals offer integrated services including accurate diagnosis, conservative or surgical treatment, and post-operative follow-up, ensuring successful outcomes and patient comfort. Among the most important advantages are:
- Highly qualified doctors and surgeons: Doctors in Turkey have extensive experience in performing foot fracture fixation surgeries, ensuring accurate realignment and minimizing complications.
- Modernly equipped hospitals: Turkish hospitals rely on the latest imaging equipment and surgical tools to perform procedures accurately and efficiently.
- Competitive costs compared to other countries: Turkey offers affordable prices for surgical treatment without compromising the quality of medical care.
- Comprehensive post-operative follow-up programs: These include rehabilitation and physical therapy to ensure bone healing and complete restoration of mobility.
- Customized services for international patients: This includes translation, accommodation, and transportation, making it easier for patients to pursue treatment without any complications.
- Incorporating the latest treatment techniques: Surgery can be combined with physical therapy and supportive therapies to achieve the best possible results and minimize complications.
In summary, surgical fixation of foot fractures is a fundamental step in restoring foot function and reducing potential complications associated with various bone injuries. The choice between conservative and surgical treatment depends on the type, severity, and location of the fracture, while also considering factors such as the patient’s age and overall health status. Surgical management effectively stabilizes bones, relieves pain, and facilitates faster recovery of mobility compared to conventional methods in complex fractures.
Medical data demonstrate that early intervention and close postoperative follow‑up increase healing success rates and reduce complications such as infection, non‑union, or nerve problems. Turkey offers an advanced medical environment for the treatment of foot fractures, combining physician expertise, state‑of‑the‑art surgical equipment, and affordable costs, making it an ideal option for patients seeking high‑quality medical care. Ultimately, early diagnosis, precise treatment, and continuous follow‑up are essential for achieving complete recovery and restoring normal foot function.
Sources:
- Lenz, C. G., Raith, C., Urbanschitz, L., Tondelli, T., Eid, K., Niehaus, R., & Hodel, S. (2022). The Metatarsal Cortical Index as an Indicator of Insufficiency Fracture of the Foot. Journal of Foot & Ankle Surgery, 61(3), 637-640
- Gissane W. “A dangerous type of fracture of the foot.” J Bone Joint Surg Br. 1951 Nov;33-B(4):535-538.
- Kay, R. M., & Tang, C. W. (2001). Pediatric foot fractures: evaluation and treatment. Journal of the American Academy of Orthopaedic Surgeons, 9(5), 308-319.
